验证数据展示
经过测试的应用
| Positive WB detected in | mouse retina tissue |
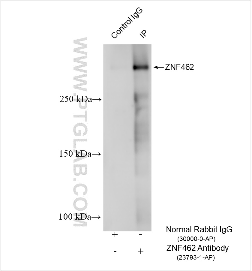
| Positive IP detected in | mouse eye tissue |
推荐稀释比
| 应用 | 推荐稀释比 |
|---|---|
| Western Blot (WB) | WB : 1:500-1:1000 |
| Immunoprecipitation (IP) | IP : 0.5-4.0 ug for 1.0-3.0 mg of total protein lysate |
| It is recommended that this reagent should be titrated in each testing system to obtain optimal results. | |
| Sample-dependent, Check data in validation data gallery. | |
产品信息
23793-1-AP targets ZNF462 in WB, IP, ELISA applications and shows reactivity with human, mouse samples.
| 经测试应用 | WB, IP, ELISA Application Description |
| 经测试反应性 | human, mouse |
| 免疫原 |
CatNo: Ag20699 Product name: Recombinant human ZNF462 protein Source: e coli.-derived, PGEX-4T Tag: GST Domain: 2157-2506 aa of BC036884 Sequence: NHYQSAALARNNSRVSPVPLSGAAAGTEQKTEAVLHCEFCEFSSGYIQSIRRHYRDKHGGKKLFKCKDCSFYTGFKSAFTMHVEAGHSAVPEEGPKDLRCPLCLYHTKYKRNMIDHIVLHREERVVPIEVCRSKLSKYLQGVVFRCDKCTFTCSSDESLQQHIEKHNELKPYKCQLCYYETKHTEELDSHLRDEHKVSRNFELVGRVNLDQLEQMKEKMESSSSDDEDKEEEMNSKAEDRELMRFSDHGAALNTEKRFPCEFCGRAFSQGSEWERHVLRHGMALNDTKQVSREEIHPKEIMENSVKMPSIEEKEDDEAIGIDFSLKNETVAICVVTADKSLLENAEAKKE 种属同源性预测 |
| 宿主/亚型 | Rabbit / IgG |
| 抗体类别 | Polyclonal |
| 产品类型 | Antibody |
| 全称 | zinc finger protein 462 |
| 别名 | Zfp462, ZFPIP, Zinc finger PBX1-interacting protein |
| 计算分子量 | 2506 aa, 285 kDa |
| 观测分子量 | 285 kDa |
| GenBank蛋白编号 | BC036884 |
| 基因名称 | ZNF462 |
| Gene ID (NCBI) | 58499 |
| RRID | AB_3742090 |
| 偶联类型 | Unconjugated |
| 形式 | Liquid |
| 纯化方式 | Antigen Affinity purified |
| UNIPROT ID | Q96JM2 |
| 储存缓冲液 | PBS with 0.02% sodium azide and 50% glycerol, pH 7.3. |
| 储存条件 | Store at -20°C. Stable for one year after shipment. Aliquoting is unnecessary for -20oC storage. |
背景介绍
ZNF462 (Zinc Finger Protein 462) is a C2H2 type zinc finger transcription factor of unknown function . Although the specific function of this molecule is unknown, animal studies have shown that it plays a vital role in embryonic development.(PMID: 31361404, PMID: 39069253)
实验方案
| Product Specific Protocols | |
|---|---|
| IP protocol for ZNF462 antibody 23793-1-AP | Download protocol |
| WB protocol for ZNF462 antibody 23793-1-AP | Download protocol |
| Standard Protocols | |
|---|---|
| Click here to view our Standard Protocols |

