验证数据展示
经过测试的应用
| Positive WB detected in | K-562 cells |
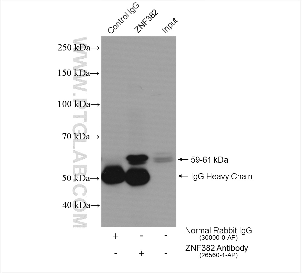
| Positive IP detected in | SW 1990 cells |
推荐稀释比
| 应用 | 推荐稀释比 |
|---|---|
| Western Blot (WB) | WB : 1:1000-1:4000 |
| Immunoprecipitation (IP) | IP : 0.5-4.0 ug for 1.0-3.0 mg of total protein lysate |
| It is recommended that this reagent should be titrated in each testing system to obtain optimal results. | |
| Sample-dependent, Check data in validation data gallery. | |
产品信息
26560-1-AP targets ZNF382 in WB, IHC, IF, IP, ELISA applications and shows reactivity with human, mouse samples.
| 经测试应用 | WB, IP, ELISA Application Description |
| 文献引用应用 | WB, IHC, IF |
| 经测试反应性 | human, mouse |
| 文献引用反应性 | human |
| 免疫原 |
CatNo: Ag23348 Product name: Recombinant human ZNF382 protein Source: e coli.-derived, PGEX-4T Tag: GST Domain: 130-312 aa of BC132675 Sequence: TILCEYKPDGKVLKNISELVIRNISPIKEKFGDSTGWGKSLLNTKHEKIHPAVNLHKQTERVLSGKQELIQHQKVQAPEQPFDHNECEKSFLMKGMLFTHTRAHRGERTFEYNKDGIAFIEKSSLSVHPSNLMEKKPSAYNKYGKFLCRKPVFIMPQRPQTEEKPFHCPYCGNNFRRKSYLIE 种属同源性预测 |
| 宿主/亚型 | Rabbit / IgG |
| 抗体类别 | Polyclonal |
| 产品类型 | Antibody |
| 全称 | zinc finger protein 382 |
| 别名 | KS1, zinc finger protein 382, ZNF382 |
| 观测分子量 | 60 kDa |
| GenBank蛋白编号 | BC132675 |
| 基因名称 | ZNF382 |
| Gene ID (NCBI) | 84911 |
| RRID | AB_2880553 |
| 偶联类型 | Unconjugated |
| 形式 | Liquid |
| 纯化方式 | Antigen affinity purification |
| UNIPROT ID | Q96SR6 |
| 储存缓冲液 | PBS with 0.02% sodium azide and 50% glycerol, pH 7.3. |
| 储存条件 | Store at -20°C. Stable for one year after shipment. Aliquoting is unnecessary for -20oC storage. |
实验方案
| Product Specific Protocols | |
|---|---|
| IP protocol for ZNF382 antibody 26560-1-AP | Download protocol |
| WB protocol for ZNF382 antibody 26560-1-AP | Download protocol |
| Standard Protocols | |
|---|---|
| Click here to view our Standard Protocols |
发表文章
| Species | Application | Title |
|---|---|---|
Cell Syst Identifying an optimal perturbation to induce a desired cell state by generative deep learning | ||
Phytomedicine Andrographolide suppresses the malignancy of pancreatic cancer via alleviating DNMT3B-dependent repression of tumor suppressor gene ZNF382 |

