验证数据展示
经过测试的应用
| Positive WB detected in | human testis tissue, SH-SY5Y cells, mouse testis tissue, rat testis tissue |
| Positive IP detected in | SH-SY5Y cells |
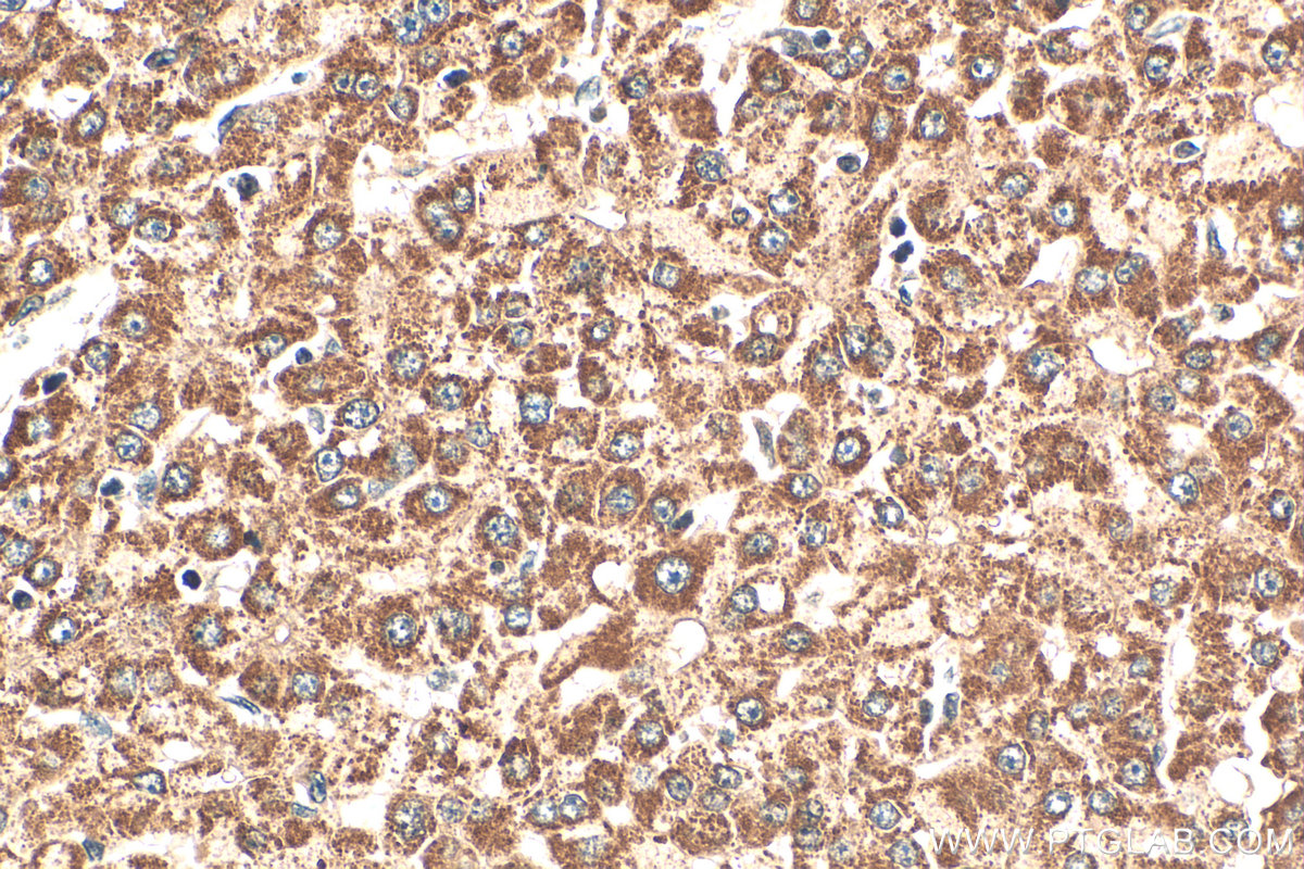
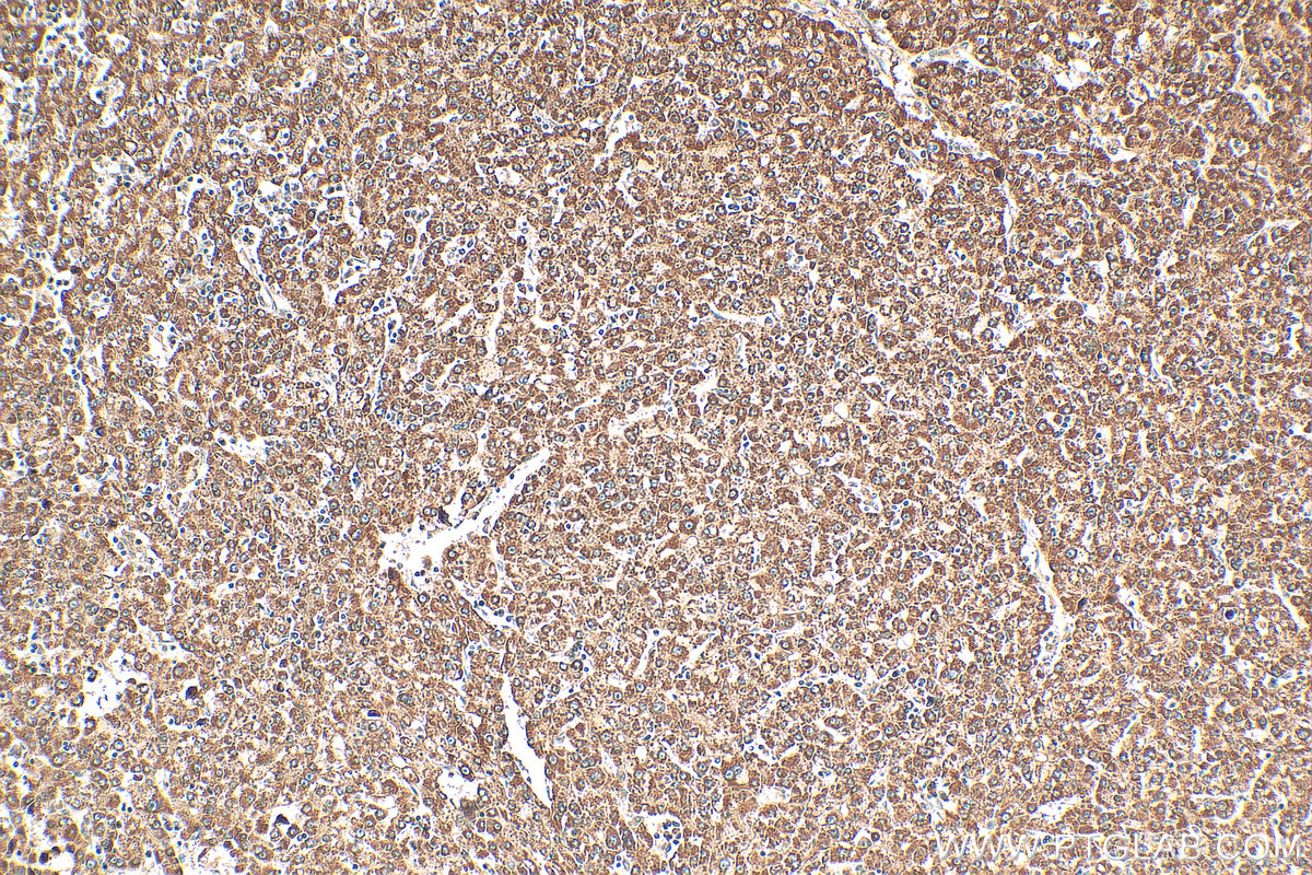
| Positive IHC detected in | human liver cancer tissue Note: suggested antigen retrieval with TE buffer pH 9.0; (*) Alternatively, antigen retrieval may be performed with citrate buffer pH 6.0 |
推荐稀释比
| 应用 | 推荐稀释比 |
|---|---|
| Western Blot (WB) | WB : 1:500-1:1000 |
| Immunoprecipitation (IP) | IP : 0.5-4.0 ug for 1.0-3.0 mg of total protein lysate |
| Immunohistochemistry (IHC) | IHC : 1:50-1:500 |
| It is recommended that this reagent should be titrated in each testing system to obtain optimal results. | |
| Sample-dependent, Check data in validation data gallery. | |
产品信息
14431-1-AP targets ZMYND10 in WB, IHC, IF, IP, ELISA applications and shows reactivity with human, mouse, rat samples.
| 经测试应用 | WB, IHC, IP, ELISA Application Description |
| 文献引用应用 | WB, IF, IP |
| 经测试反应性 | human, mouse, rat |
| 文献引用反应性 | human, mouse, rat |
| 免疫原 |
CatNo: Ag5808 Product name: Recombinant human ZMYND10 protein Source: e coli.-derived, PGEX-4T Tag: GST Domain: 1-440 aa of BC033732 Sequence: MGDLELLLPGEAEVLVRGLRSFPLREMGSEGWNQQHENLEKLNMQAILDATVSQGEPIQELLVTHGKVPTLVEELIAVEMWKQKVFPVFCRVEDFKPQNTFPIYMVVHHEASIINLLETVFFHKEVCESAEDTVLDLVDYCHRKLTLLVAQSGCGGPPEGEGSQDSNPMQELQKQAELMEFEIALKALSVLRYITDCVDSLSLSTLSRMLSTHNLPCLLVELLEHSPWSRREGGKLQQFEGSRWHTVAPSEQQKLSKLDGQVWIALYNLLLSPEAQARYCLTSFAKGRLLKLRAFLTDTLLDQLPNLAHLQSFLAHLTLTETQPPKKDLVLEQIPEIWERLERENRGKWQAIAKHQLQHVFSPSEQDLRLQARRWAETYRLDVLEAVAPERPRCAYCSAEASKRCSRCQNEWYCCRECQVKHWEKHGKTCVLAAQGDRAK 种属同源性预测 |
| 宿主/亚型 | Rabbit / IgG |
| 抗体类别 | Polyclonal |
| 产品类型 | Antibody |
| 全称 | zinc finger, MYND-type containing 10 |
| 别名 | BLU, LUCA12.4, Protein BLu, Zinc finger MYND domain-containing protein 10 |
| 计算分子量 | 50 kDa |
| 观测分子量 | 50 kDa |
| GenBank蛋白编号 | BC033732 |
| 基因名称 | ZMYND10 |
| Gene ID (NCBI) | 51364 |
| RRID | AB_2218002 |
| 偶联类型 | Unconjugated |
| 形式 | Liquid |
| 纯化方式 | Antigen affinity purification |
| UNIPROT ID | O75800 |
| 储存缓冲液 | PBS with 0.02% sodium azide and 50% glycerol, pH 7.3. |
| 储存条件 | Store at -20°C. Stable for one year after shipment. Aliquoting is unnecessary for -20oC storage. |
背景介绍
ZMYND10 (Zinc finger MYND domain-containing protein 10), also known as BLU, encodes a 50-kDa protein containing an MYND-type zinc finger DNA-binding domain in the C-terminus that is commonly found in transcription repressors. ZMYND10 is highly enriched in ciliated cells compared with that in nonciliated cells and is expressed in motile ciliated tissues in mice (PMID: 23891471). ZMYND10 is a tumor suppressor that can induce apoptosis, arrest cell cycle, and inhibit proliferation and angiogenesis in different tumors (PMID: 29601588, 31801619).
实验方案
| Product Specific Protocols | |
|---|---|
| IHC protocol for ZMYND10 antibody 14431-1-AP | Download protocol |
| IP protocol for ZMYND10 antibody 14431-1-AP | Download protocol |
| WB protocol for ZMYND10 antibody 14431-1-AP | Download protocol |
| Standard Protocols | |
|---|---|
| Click here to view our Standard Protocols |
发表文章
| Species | Application | Title |
|---|---|---|
Elife ZMYND10 functions in a chaperone relay during axonemal dynein assembly.
| ||
Andrology A novel homozygous LRRC6 mutation causes male infertility with asthenozoospermia and primary ciliary dyskinesia in humans | ||
Environ Toxicol Sodium arsenite impairs sperm quality via downregulating the ZMYND15 and ZMYND10 | ||
Sci Rep Zmynd10 drives centriole biogenesis and multiciliogenesis through the transcriptional regulation of E2f4.
| ||
Reprod Toxicol Benzo[a]pyrene lowers the sperm quality in male rats by downregulating the expression of ZMYND15 and ZMYND10. |




