验证数据展示
经过测试的应用
| Positive WB detected in | HepG2 cells, HeLa cells, A549 cells, K-562 cells | 
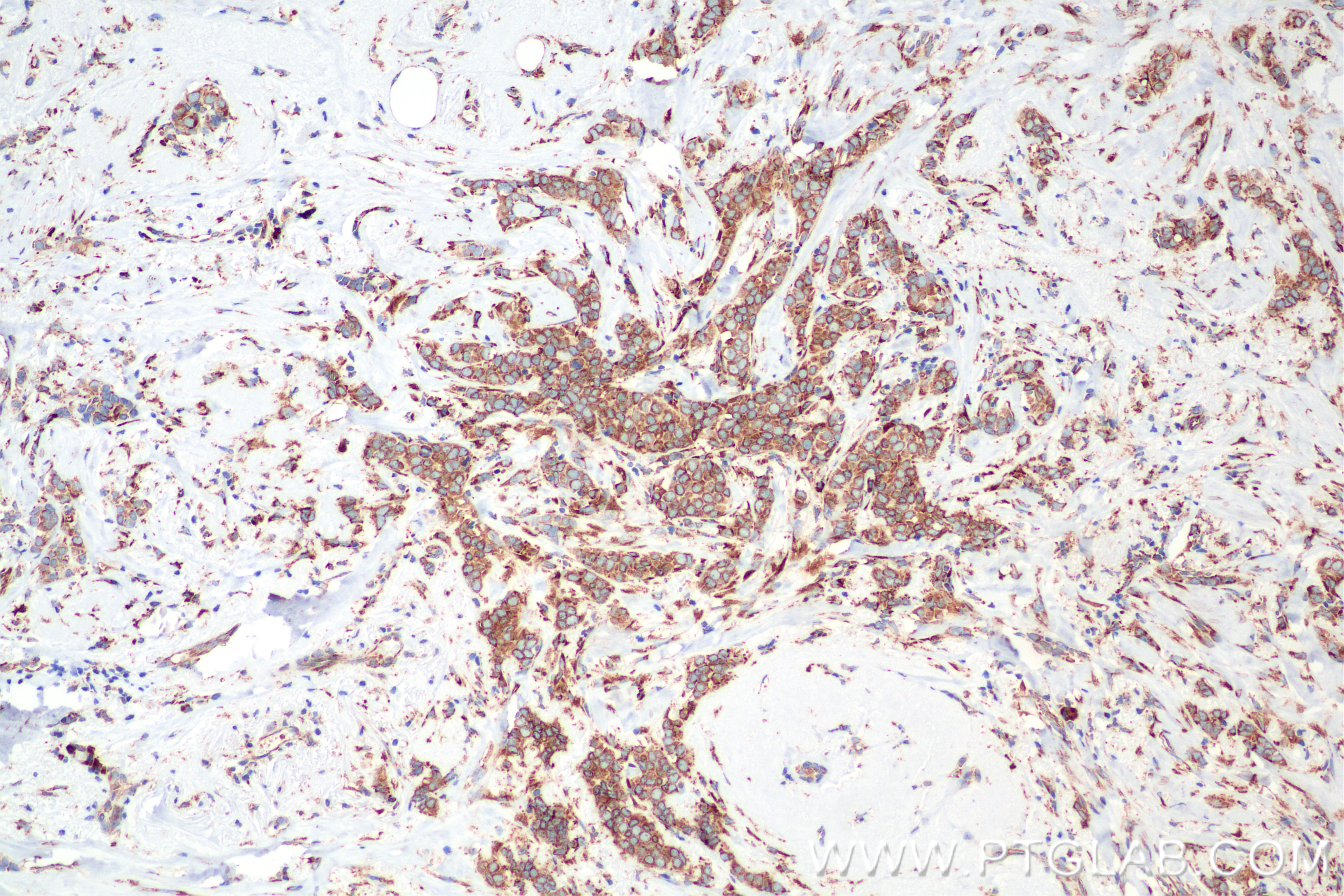
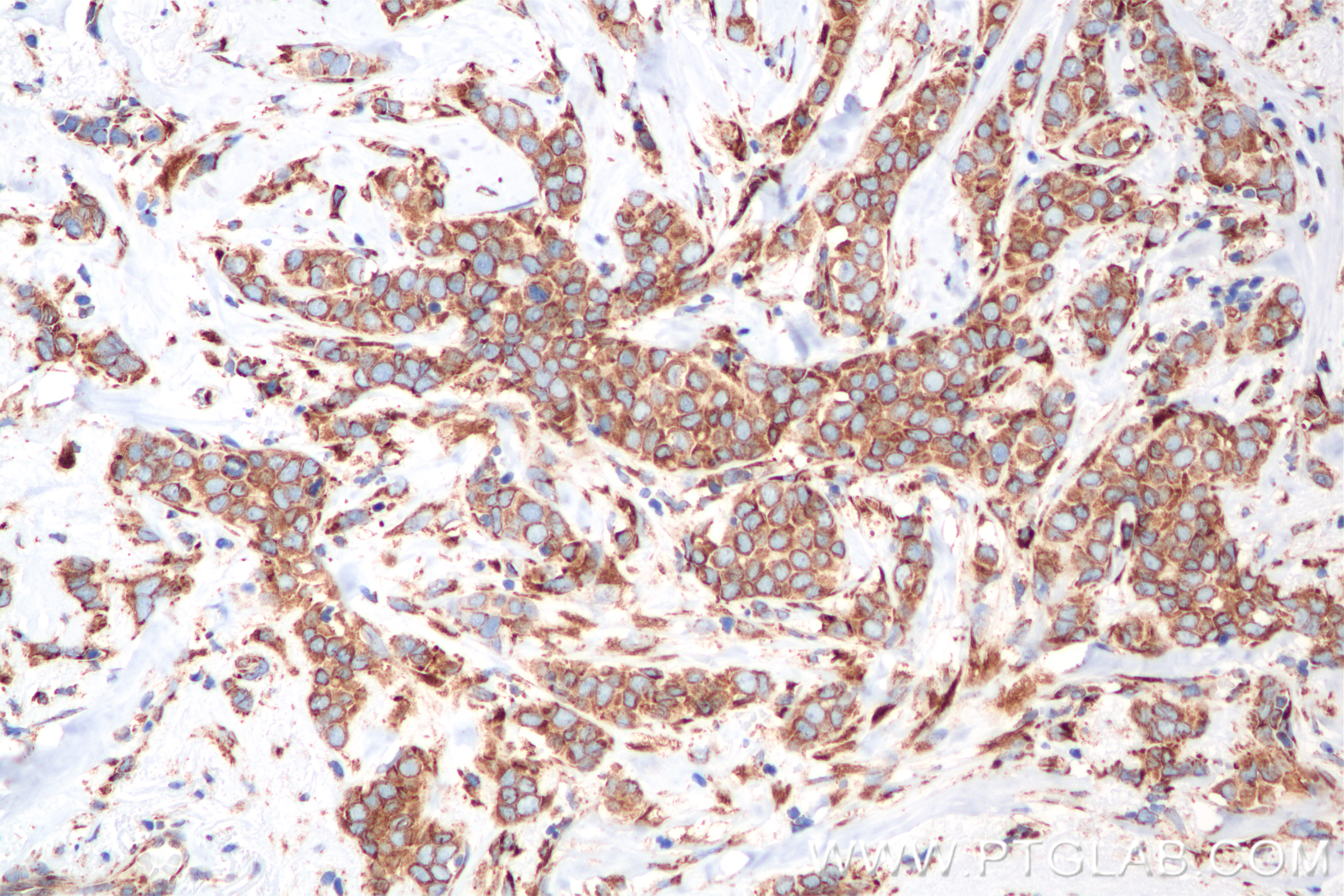
| Positive IHC detected in | human breast cancer tissue Note: suggested antigen retrieval with TE buffer pH 9.0; (*) Alternatively, antigen retrieval may be performed with citrate buffer pH 6.0  | 
推荐稀释比
| 应用 | 推荐稀释比 | 
|---|---|
| Western Blot (WB) | WB : 1:2000-1:10000 | 
| Immunohistochemistry (IHC) | IHC : 1:200-1:800 | 
| It is recommended that this reagent should be titrated in each testing system to obtain optimal results. | |
| Sample-dependent, Check data in validation data gallery. | |
产品信息
85383-1-RR targets ZIP7 in WB, IHC, ELISA applications and shows reactivity with human samples.
| 经测试应用 | WB, IHC, ELISA Application Description | 
| 经测试反应性 | human | 
| 免疫原 | 
                                             CatNo: Ag13798 Product name: Recombinant human SLC39A7 protein Source: e coli.-derived, PET28a Tag: 6*His Domain: 237-384 aa of BC000645 Sequence: VRHVKGGHGHSHGHGHAHSHTRGSHGHGRQERSTKEKQSSEEEEKETRGVQKRRGGSTVPKDGPVRPQNAEEEKRGLDLRVSGYLNLAADLAHNFTDGLAIGASFRGGRGLGILTTMTVLLHEVPHEVGDFAILVQSGCSKKQAMRLQ 种属同源性预测 | 
                                    
| 宿主/亚型 | Rabbit / IgG | 
| 抗体类别 | Recombinant | 
| 产品类型 | Antibody | 
| 全称 | solute carrier family 39 (zinc transporter), member 7 | 
| 别名 | SLC39A7, ZIP 7, 242786C7, D6S115E, D6S2244E | 
| 计算分子量 | 469 aa, 50 kDa | 
| 观测分子量 | 45-50 kDa, 56 kDa | 
| GenBank蛋白编号 | BC000645 | 
| 基因名称 | ZIP7 | 
| Gene ID (NCBI) | 7922 | 
| 偶联类型 | Unconjugated | 
| 形式 | Liquid | 
| 纯化方式 | Protein A purification | 
| UNIPROT ID | Q92504 | 
| 储存缓冲液 | PBS with 0.02% sodium azide and 50% glycerol, pH 7.3. | 
| 储存条件 | Store at -20°C. Stable for one year after shipment. Aliquoting is unnecessary for -20oC storage. | 
背景介绍
ZIP7, also known as SLC39A7, is a member of the SLC39 family of zinc transporters. It is a transmembrane protein primarily localized to the endoplasmic reticulum (ER) and is involved in the transport of zinc ions from the ER and Golgi apparatus to the cytoplasm. This process is crucial for maintaining zinc homeostasis within the cell and regulating various signaling pathways.
实验方案
| Product Specific Protocols | |
|---|---|
| WB protocol for ZIP7 antibody 85383-1-RR | Download protocol | 
| Standard Protocols | |
|---|---|
| Click here to view our Standard Protocols | 


