验证数据展示
经过测试的应用
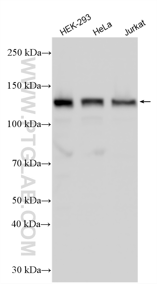
| Positive WB detected in | HEK-293 cells, HeLa cells, mouse heart tissue, mouse kidney tissue, Jurkat cells |
| Positive IP detected in | HEK-293 cells |
推荐稀释比
| 应用 | 推荐稀释比 |
|---|---|
| Western Blot (WB) | WB : 1:2000-1:10000 |
| Immunoprecipitation (IP) | IP : 0.5-4.0 ug for 1.0-3.0 mg of total protein lysate |
| It is recommended that this reagent should be titrated in each testing system to obtain optimal results. | |
| Sample-dependent, Check data in validation data gallery. | |
发表文章中的应用
| KD/KO | See 2 publications below |
| WB | See 3 publications below |
| IHC | See 2 publications below |
产品信息
13903-1-AP targets ZHX1 in WB, IHC, IP, ELISA applications and shows reactivity with human, mouse, rat samples.
| 经测试应用 | WB, IP, ELISA Application Description |
| 文献引用应用 | WB, IHC |
| 经测试反应性 | human, mouse, rat |
| 文献引用反应性 | human |
| 免疫原 |
CatNo: Ag4874 Product name: Recombinant human ZHX1 protein Source: e coli.-derived, PGEX-4T Tag: GST Domain: 524-873 aa of BC040481 Sequence: SNQCLHLNNDSSTTIIIDSSDETTESPTVGTAQPKQSWNPFPDFTPQKFKEKTAEQLRVLQASFLNSSVLTDEELNRLRAQTKLTRREIDAWFTEKKKSKALKEEKMEIDESNAGSSKEEAGETSPADESGAPKSGSTGKICKKTPEQLHMLKSAFVRTQWPSPEEYDKLAKESGLARTDIVSWFGDTRYAWKNGNLKWYYYYQSANSSSMNGLSSLRKRGRGRPKGRGRGRPRGRPRGSKRINNWDRGPSLIKFKTGTAILKDYYLKRKFLNEQDLDELVNKSHMGYEQVREWFAERQRRSELGIELFEENEEEDEVIDDQEEDEEETDDSDTWEPPRHVKRKLSKSDD 种属同源性预测 |
| 宿主/亚型 | Rabbit / IgG |
| 抗体类别 | Polyclonal |
| 产品类型 | Antibody |
| 全称 | zinc fingers and homeoboxes 1 |
| 别名 | zinc fingers and homeoboxes 1 |
| 计算分子量 | 873 aa, 98 kDa |
| 观测分子量 | 100-120 kDa |
| GenBank蛋白编号 | BC040481 |
| 基因名称 | ZHX1 |
| Gene ID (NCBI) | 11244 |
| RRID | AB_2219214 |
| 偶联类型 | Unconjugated |
| 形式 | Liquid |
| 纯化方式 | Antigen affinity purification |
| UNIPROT ID | Q9UKY1 |
| 储存缓冲液 | PBS with 0.02% sodium azide and 50% glycerol, pH 7.3. |
| 储存条件 | Store at -20°C. Stable for one year after shipment. Aliquoting is unnecessary for -20oC storage. |
背景介绍
Binding of the nuclear factor-Y complex (NF-Y) to the inverted CCAAT-box interferes with transcription activation through nucleosome reorganization. The three homologous proteins forming the zinc-fingers and homeoboxes (ZHX) family interact with the activation domain of NF-Ya to repress transcription [PMID:19348505,20509910]. Human zinc-fingers and homeoboxes 1 (ZHX1) was cloned as a protein that interacts with the activation domain (AD) of the A subunit of nuclear factor-Y (NF-YA) [PMID:12237128].
实验方案
| Product Specific Protocols | |
|---|---|
| IP protocol for ZHX1 antibody 13903-1-AP | Download protocol |
| WB protocol for ZHX1 antibody 13903-1-AP | Download protocol |
| Standard Protocols | |
|---|---|
| Click here to view our Standard Protocols |
发表文章
| Species | Application | Title |
|---|---|---|
PLoS One ZHX1 Promotes the Proliferation, Migration and Invasion of Cholangiocarcinoma Cells.
| ||
Tumour Biol Roles of zinc-fingers and homeoboxes 1 during the proliferation, migration, and invasion of glioblastoma cells.
| ||
Mol Ther Nucleic Acids Blocking lncRNA MALAT1/miR-199a/ZHX1 Axis Inhibits Glioblastoma Proliferation and Progression. |







