验证数据展示
经过测试的应用
| Positive WB detected in | HepG2 cells |
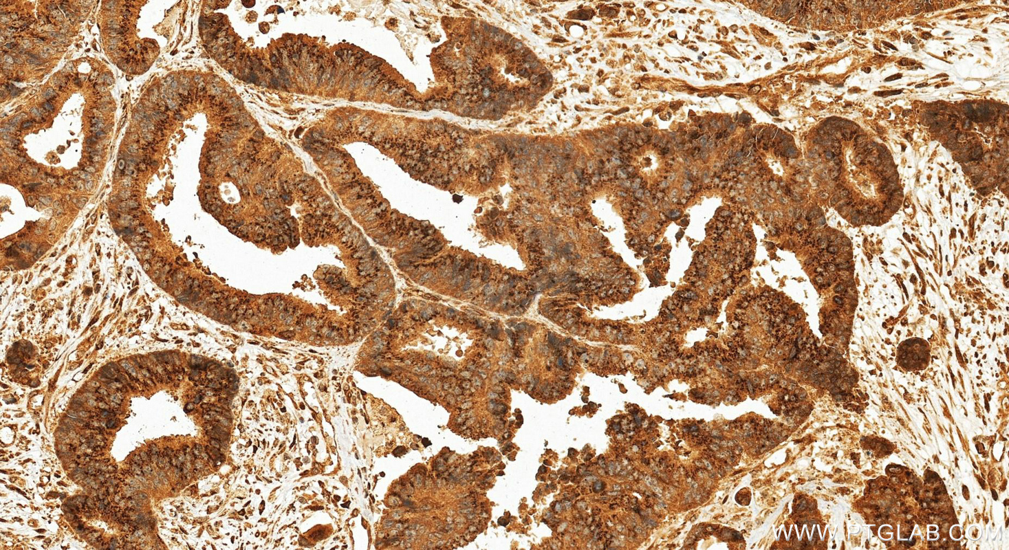
| Positive IHC detected in | human colon cancer tissue Note: suggested antigen retrieval with TE buffer pH 9.0; (*) Alternatively, antigen retrieval may be performed with citrate buffer pH 6.0 |
| Positive IF/ICC detected in | HepG2 cells |
推荐稀释比
| 应用 | 推荐稀释比 |
|---|---|
| Western Blot (WB) | WB : 1:500-1:1000 |
| Immunohistochemistry (IHC) | IHC : 1:50-1:500 |
| Immunofluorescence (IF)/ICC | IF/ICC : 1:50-1:500 |
| It is recommended that this reagent should be titrated in each testing system to obtain optimal results. | |
| Sample-dependent, Check data in validation data gallery. | |
产品信息
27157-1-AP targets ZFPL1 in WB, IHC, IF/ICC, ELISA applications and shows reactivity with human samples.
| 经测试应用 | WB, IHC, IF/ICC, ELISA Application Description |
| 经测试反应性 | human |
| 免疫原 |
CatNo: Ag24097 Product name: Recombinant human ZFPL1 protein Source: e coli.-derived, PET28a Tag: 6*His Domain: 1-264 aa of BC012814 Sequence: MGLCKCPKRKVTNLFCFEHRVNVCEHCLVANHAKCIVQSYLQWLQDSDYNPNCRLCNIPLASRETTRLVCYDLFHWACLNERAAQLPRNTAPAGYQCPSCNGPIFPPTNLAGPVASALREKLATVNWARAGLGLPLIDEVVSPEPEPLNTSDFSDWSSFNASSTPGPEEVDSASAAPAFYSQAPRPPASPGRPEQHTVIHMGNPEPLTHAPRKVYDTRDDDRTPGLHGDCDDDKYRRRPALGWLARLLRSRAGSRKRPLTLLQR 种属同源性预测 |
| 宿主/亚型 | Rabbit / IgG |
| 抗体类别 | Polyclonal |
| 产品类型 | Antibody |
| 全称 | zinc finger protein-like 1 |
| 别名 | zinc finger protein like 1, Zinc finger protein MCG4, Zinc finger protein-like 1 |
| 观测分子量 | 35-40 kDa |
| GenBank蛋白编号 | BC012814 |
| 基因名称 | ZFPL1 |
| Gene ID (NCBI) | 7542 |
| RRID | AB_2880781 |
| 偶联类型 | Unconjugated |
| 形式 | Liquid |
| 纯化方式 | Antigen affinity purification |
| UNIPROT ID | O95159 |
| 储存缓冲液 | PBS with 0.02% sodium azide and 50% glycerol, pH 7.3. |
| 储存条件 | Store at -20°C. Stable for one year after shipment. Aliquoting is unnecessary for -20oC storage. |
背景介绍
The ZFPL1 protein is a zinc finger protein localized to the Golgi apparatus, and its function is closely associated with maintaining Golgi structural integrity. Research indicates that ZFPL1 interacts with the Golgi matrix protein GM130 through its N-terminal domain, and this interaction is crucial for the proper anchoring of GM130 to the Golgi. When ZFPL1 expression is suppressed, GM130 dissociates from the membrane, leading to the fragmentation of the Golgi ribbon structure and significantly impairing protein secretion and transport processes. Therefore, ZFPL1 is considered a key scaffolding protein essential for maintaining the normal structure and function of the Golgi apparatus. Currently, its specific role in highly polarized cells with active secretory functions, such as neurons, is a major focus in the field.
实验方案
| Product Specific Protocols | |
|---|---|
| IF protocol for ZFPL1 antibody 27157-1-AP | Download protocol |
| IHC protocol for ZFPL1 antibody 27157-1-AP | Download protocol |
| WB protocol for ZFPL1 antibody 27157-1-AP | Download protocol |
| Standard Protocols | |
|---|---|
| Click here to view our Standard Protocols |


