验证数据展示
经过测试的应用
| Positive WB detected in | DU 145 cells, HEK-293T cells |
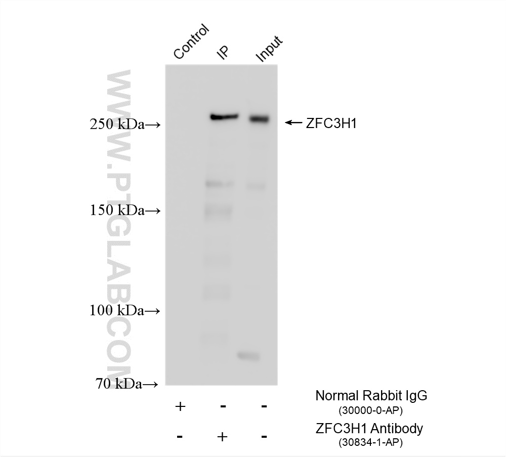
| Positive IP detected in | DU 145 cells |
| Positive IF/ICC detected in | U2OS cells |
推荐稀释比
| 应用 | 推荐稀释比 |
|---|---|
| Western Blot (WB) | WB : 1:500-1:1000 |
| Immunoprecipitation (IP) | IP : 0.5-4.0 ug for 1.0-3.0 mg of total protein lysate |
| Immunofluorescence (IF)/ICC | IF/ICC : 1:200-1:800 |
| It is recommended that this reagent should be titrated in each testing system to obtain optimal results. | |
| Sample-dependent, Check data in validation data gallery. | |
产品信息
30834-1-AP targets ZFC3H1 in WB, IF/ICC, IP, ELISA applications and shows reactivity with human samples.
| 经测试应用 | WB, IF/ICC, IP, ELISA Application Description |
| 经测试反应性 | human |
| 免疫原 |
CatNo: Ag34224 Product name: Recombinant human ZFC3H1 protein Source: e coli.-derived, PGEX-4T Tag: GST Domain: 1800-1989 aa of BC156732 Sequence: RNKVQEFKFFTDLVNRCLVTVPARYPIPFSSADYWSNYEFHNRVIFFYLSCVPKTQHSKTLERFCSVMPANSGLALRLLQHEWEESNVQILKLQAKMFTYNIPTCLATWKIAIAAEIVLKGQREVHRLYQRALQKLPLCASLWKDQLLFEASEGGKTDNLRKLVSKCQEIGVSLNELLNLNSNKTESKNH 种属同源性预测 |
| 宿主/亚型 | Rabbit / IgG |
| 抗体类别 | Polyclonal |
| 产品类型 | Antibody |
| 全称 | zinc finger, C3H1-type containing |
| 别名 | CCDC131, CSRC2, KIAA0546, PSRC2 |
| 计算分子量 | 226 kDa |
| 观测分子量 | 250 kDa |
| GenBank蛋白编号 | BC156732 |
| 基因名称 | ZFC3H1 |
| Gene ID (NCBI) | 196441 |
| RRID | AB_3669762 |
| 偶联类型 | Unconjugated |
| 形式 | Liquid |
| 纯化方式 | Antigen affinity purification |
| UNIPROT ID | O60293 |
| 储存缓冲液 | PBS with 0.02% sodium azide and 50% glycerol, pH 7.3. |
| 储存条件 | Store at -20°C. Stable for one year after shipment. Aliquoting is unnecessary for -20oC storage. |
背景介绍
ZFC3H1, also known as CCDC131 and PSRC2, is a large protein (1989 amino acids), with a C3H1- type zinc finger motif in its center, and contains five tetratricopeptide (TRP) repeats and six halftetratricopeptide (HAT) repeats at the C-terminal region. It is involved in the processing of a variety of RNAs and plays a critical role in the degradation of nuclear RNAs (PMID: 34514952).
实验方案
| Product Specific Protocols | |
|---|---|
| IF protocol for ZFC3H1 antibody 30834-1-AP | Download protocol |
| IP protocol for ZFC3H1 antibody 30834-1-AP | Download protocol |
| WB protocol for ZFC3H1 antibody 30834-1-AP | Download protocol |
| Standard Protocols | |
|---|---|
| Click here to view our Standard Protocols |


