验证数据展示
产品信息
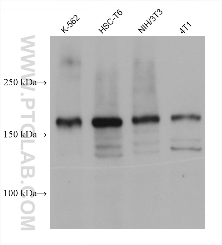
67514-1-PBS targets ZEB2 in WB, FC (Intra), ELISA applications and shows reactivity with human, mouse, rat samples.
| 经测试应用 | WB, FC (Intra), ELISA Application Description |
| 经测试反应性 | human, mouse, rat |
| 免疫原 |
CatNo: Ag25477 Product name: Recombinant human ZEB2 protein Source: e coli.-derived, PGEX-4T Tag: GST Domain: 402-658 aa of BC127102 Sequence: VLMATHGFSGTSPFMNGGLGATSPLGVHPSAQSPMQHLGVGMEAPLLGFPTMNSNLSEVQKVLQIVDNTVSRQKMDCKAEEISKLKGYHMKDPCSQPEEQGVTSPNIPPVGLPVVSHNGATKSIIDYTLEKVNEAKACLQSLTTDSRRQISNIKKEKLRTLIDLVTDDKMIENHNISTPFSCQFCKESFPGPIPLHQHERYLCKMNEEIKAVLQPHENIVPNKAGVFVDNKALLLSSVLSEKGMTSPINPYKDHMSV 种属同源性预测 |
| 宿主/亚型 | Mouse / IgG1 |
| 抗体类别 | Monoclonal |
| 产品类型 | Antibody |
| 全称 | zinc finger E-box binding homeobox 2 |
| 别名 | SIP1, 1D3A2, HRIHFB2411, KIAA0569, SIP 1 |
| 观测分子量 | 160 kDa |
| GenBank蛋白编号 | BC127102 |
| 基因名称 | ZEB2 |
| Gene ID (NCBI) | 9839 |
| RRID | AB_2882735 |
| 偶联类型 | Unconjugated |
| 形式 | Liquid |
| 纯化方式 | Protein G purification |
| UNIPROT ID | O60315 |
| 储存缓冲液 | PBS only, pH 7.3. |
| 储存条件 | Store at -80°C. The product is shipped with ice packs. Upon receipt, store it immediately at -80°C |
背景介绍
Zinc finger E-box-binding homeobox (ZEB2) is a key transcription factor that acts as a multifunctional regulator during nervous system development. ZEB2 contains two zinc finger domains and a homeodomain-like sequence and interacts with the TGF-ß superfamily signaling regulators, Smads, to regulate the expression of their downstream genes. ZEB2 is expressed in the developing neural tube, as well as in neural crest cells, the hippocampus and the cerebral cortex. ZEB2 has previously been implicated in EMT, cell-cycle progression, apoptosis and senescence. ZEB2 was overexpressed in bladder, ovarian, stomach, pancreatic and squamous cell carcinoma, in the intestinal subtype of stomach cancers, and at the invasive front of CRC where EMT is most prominen. ZEB2 also mediates cell-fate decision in neuronal, T cells and hematopoietic stem cells. The calculated molecular weight of ZEB2 is 136 kDa, but we find the 95 kDa band in some publication(PMID: 27659015 )





