验证数据展示
经过测试的应用
| Positive WB detected in | HEK-293 cells, mouse thymus tissue, HepG2 cells |
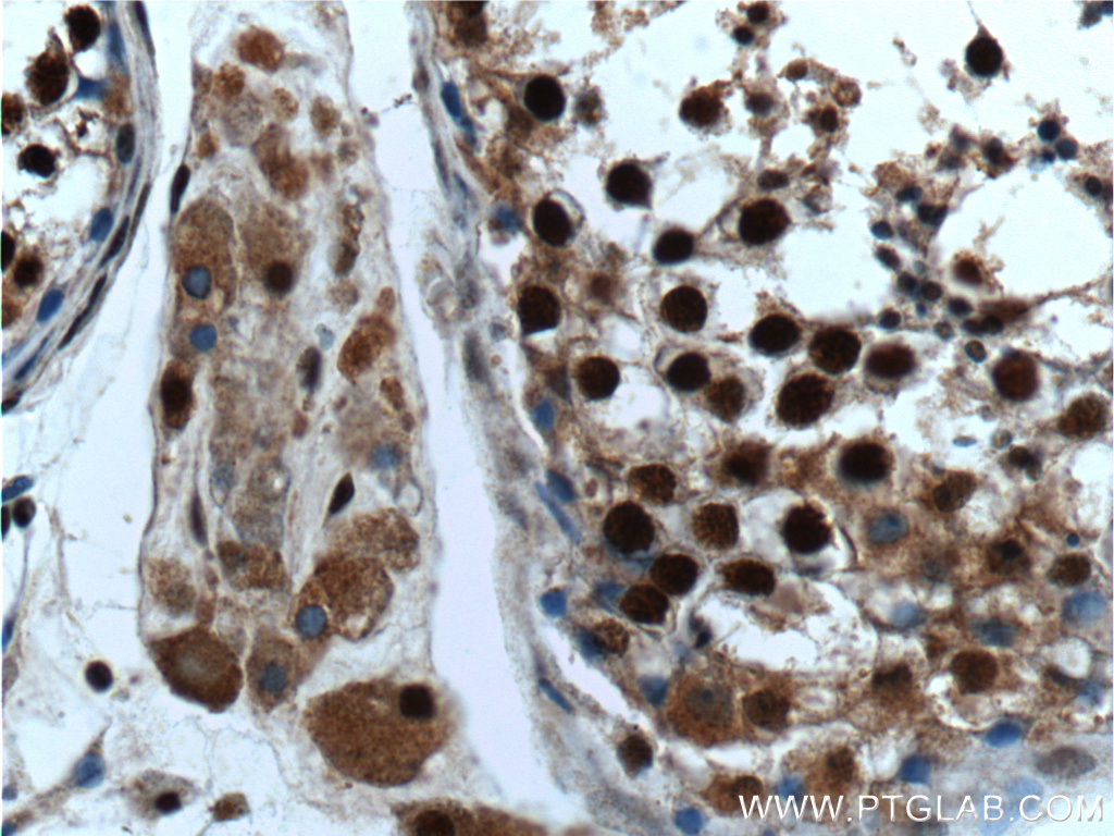
| Positive IHC detected in | human testis tissue Note: suggested antigen retrieval with TE buffer pH 9.0; (*) Alternatively, antigen retrieval may be performed with citrate buffer pH 6.0 |
| Positive IF/ICC detected in | HepG2 cells |
推荐稀释比
| 应用 | 推荐稀释比 |
|---|---|
| Western Blot (WB) | WB : 1:2000-1:12000 |
| Immunohistochemistry (IHC) | IHC : 1:50-1:500 |
| Immunofluorescence (IF)/ICC | IF/ICC : 1:50-1:500 |
| It is recommended that this reagent should be titrated in each testing system to obtain optimal results. | |
| Sample-dependent, Check data in validation data gallery. | |
产品信息
23374-1-AP targets ZCCHC8 in WB, IHC, IF/ICC, IP, CoIP, ELISA applications and shows reactivity with human, mouse samples.
| 经测试应用 | WB, IHC, IF/ICC, ELISA Application Description |
| 文献引用应用 | WB, IP, CoIP |
| 经测试反应性 | human, mouse |
| 文献引用反应性 | human, mouse |
| 免疫原 |
CatNo: Ag19985 Product name: Recombinant human ZCCHC8 protein Source: e coli.-derived, PGEX-4T Tag: GST Domain: 355-707 aa of BC065918 Sequence: KSVTYDLSKLVNYPGFNISTPRGIPDEWRIFGSIPMQACQQKDVFANYLTSNFQAPGVKSGNKRSSSHSSPGSPKKQKNESNSAGSPADMELDSDMEVPHGSQSSESFQFQPPLPPDTPPLPRGTPPPVFTPPLPKGTPPLTPSDSPQTRTASGAVDEDALTLEELEEQQRRIWAALEQAESVNSDSDVPVDTPLTGNSVASSPCPNELDLPVPEGKTSEKQTLDEPEVPEIFTKKSEAGHASSPDSEVTSLCQKEKAELAPVNTEGALLDNGSVVPNCDISNGGSQKLFPADTSPSTATKIHSPIPDMSKFATGITPFEFENMAESTGMYLRIRSLLKNSPRNQQKNKKASE 种属同源性预测 |
| 宿主/亚型 | Rabbit / IgG |
| 抗体类别 | Polyclonal |
| 产品类型 | Antibody |
| 全称 | zinc finger, CCHC domain containing 8 |
| 别名 | ZCCHC8 |
| 计算分子量 | 707 aa, 79 kDa |
| 观测分子量 | 90-100 kDa |
| GenBank蛋白编号 | BC065918 |
| 基因名称 | ZCCHC8 |
| Gene ID (NCBI) | 55596 |
| RRID | AB_2879269 |
| 偶联类型 | Unconjugated |
| 形式 | Liquid |
| 纯化方式 | Antigen affinity purification |
| UNIPROT ID | Q6NZY4 |
| 储存缓冲液 | PBS with 0.02% sodium azide and 50% glycerol, pH 7.3. |
| 储存条件 | Store at -20°C. Stable for one year after shipment. Aliquoting is unnecessary for -20oC storage. |
背景介绍
The eukaryotic RNA exosome participates extensively in RNA processing and degradation. In human cells, three accessory factors (RBM7, ZCCHC8 and hMTR4) interact to form the nuclear exosome targeting (NEXT) complex, which directs a subset of non-coding RNAs for exosomal degradation. ZCCHC8 acts as a scaffold, mediating the interaction between RBM7 and MTR4. NEXT is involved in exosome-mediated surveillance and decay of noncoding RNAs, such as enhancer RNAs (eRNAs) and aberrant 3′-extended transcripts from small nuclear RNA (snRNA), telomerase RNA, and replication-dependent histone genes. NEXT is an important node in regulating nuclear exosome activities and takes part in several biological processes, including DNA damage response, stress response, and viral ribogenesis . ZCCHC8 also has a robust interaction with YTHDC1 (PMID: 28984244).
实验方案
| Product Specific Protocols | |
|---|---|
| IF protocol for ZCCHC8 antibody 23374-1-AP | Download protocol |
| IHC protocol for ZCCHC8 antibody 23374-1-AP | Download protocol |
| WB protocol for ZCCHC8 antibody 23374-1-AP | Download protocol |
| Standard Protocols | |
|---|---|
| Click here to view our Standard Protocols |
发表文章
| Species | Application | Title |
|---|---|---|
Mol Cell Nuclear RNA catabolism controls endogenous retroviruses, gene expression asymmetry, and dedifferentiation
| ||
Nucleic Acids Res mRNAs are sorted for export or degradation before passing through nuclear speckles. | ||
Nucleic Acids Res Concurrent binding to DNA and RNA facilitates the pluripotency reprogramming activity of Sox2. | ||
Cell Rep Nuclear Exosome Targeting Complex Core Factor Zcchc8 Regulates the Degradation of LINE1 RNA in Early Embryos and Embryonic Stem Cells.
| ||
Nat Neurosci Globally reduced N6-methyladenosine (m6A) in C9ORF72-ALS/FTD dysregulates RNA metabolism and contributes to neurodegeneration
| ||
PLoS Genet RBMX involves in telomere stability maintenance by regulating TERRA expression |







