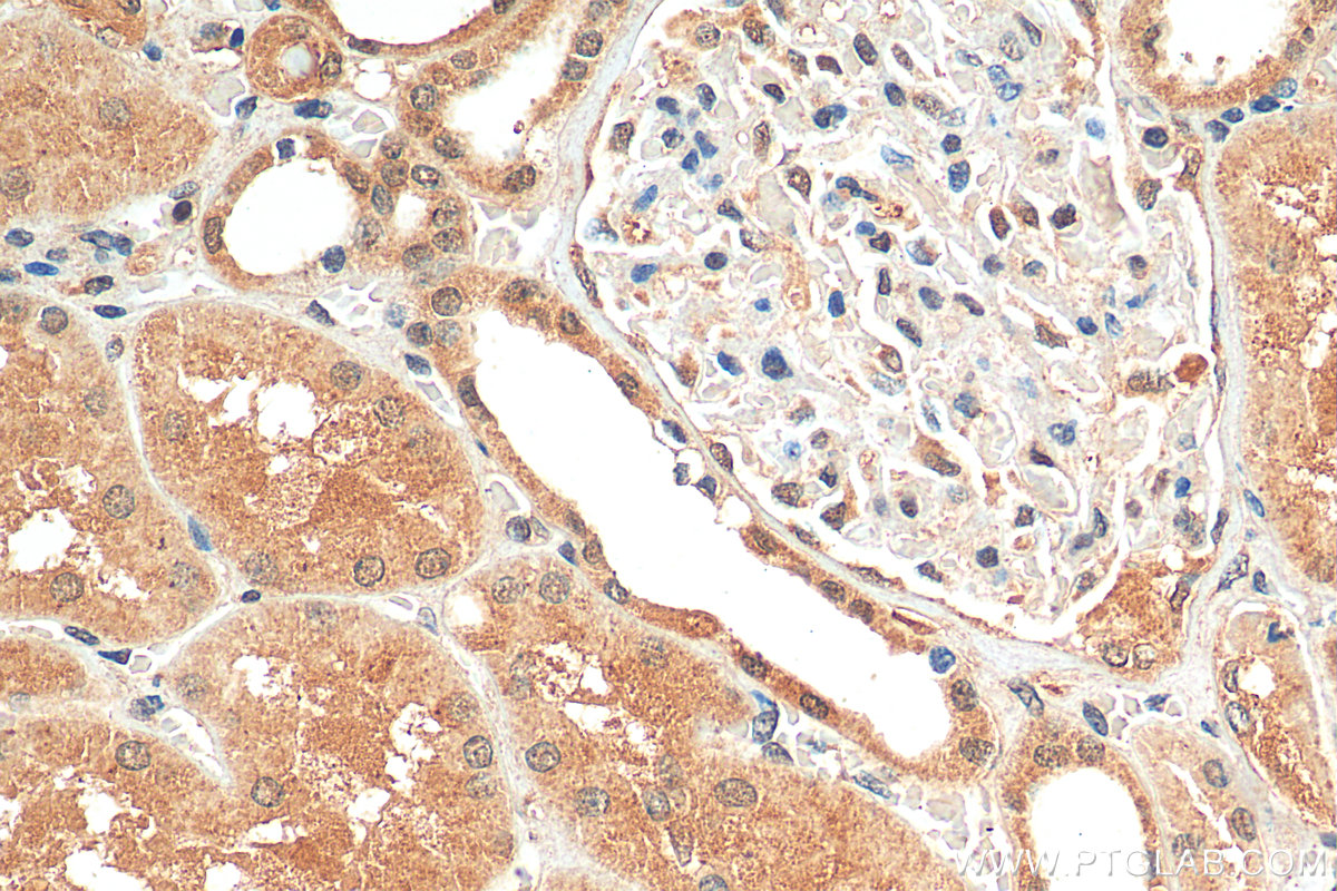
验证数据展示
经过测试的应用
| Positive WB detected in | HEK-293 cells, HeLa cells |
| Positive IP detected in | HeLa cells |
推荐稀释比
| 应用 | 推荐稀释比 |
|---|---|
| Western Blot (WB) | WB : 1:2000-1:12000 |
| Immunoprecipitation (IP) | IP : 0.5-4.0 ug for 1.0-3.0 mg of total protein lysate |
| It is recommended that this reagent should be titrated in each testing system to obtain optimal results. | |
| Sample-dependent, Check data in validation data gallery. | |
产品信息
16820-1-AP targets ZC3HAV1 in WB, IHC, IF, IP, RIP, ELISA applications and shows reactivity with human, mouse, rat samples.
| 经测试应用 | WB, IP, ELISA Application Description |
| 文献引用应用 | WB, IHC, IF, IP, RIP |
| 经测试反应性 | human, mouse, rat |
| 文献引用反应性 | human, mouse, monkey |
| 免疫原 |
CatNo: Ag10364 Product name: Recombinant human ZC3HAV1 protein Source: e coli.-derived, PET28a Tag: 6*His Domain: 1-351 aa of BC025308 Sequence: MADPEVCCFITKILCAHGGRMALDALLQEIALSEPQLCEVLQVAGPDRFVVLETGGEAGITRSVVATTRARVCRRKYCQRPCDNLHLCKLNLLGRCNYSQSERNLCKYSHEVLSEENFKVLKNHELSGLNKEELAVLLLQSDPFFMPEICKSYKGEGRQQICNQQPPCSRLHICDHFTRGNCRFPNCLRSHNLMDRKVLAIMREHGLNPDVVQNIQDICNSKHMQKNPPGPRAPSSHRRNMAYRARSKSRDRFFQGSQEFLASASASAERSCTPSPDQISHRASLEDAPVDDLTRKFTYLGSQDRARPPSGSSKATDLGGTSQAGTSQRFLENGSQEDLLHGNPGSTYLAS 种属同源性预测 |
| 宿主/亚型 | Rabbit / IgG |
| 抗体类别 | Polyclonal |
| 产品类型 | Antibody |
| 全称 | zinc finger CCCH-type, antiviral 1 |
| 别名 | ZAP, PRO1677, PARP13, Inactive Poly [ADP-ribose] polymerase 13, ARTD13 |
| 计算分子量 | 699aa,78 kDa; 902aa,101 kDa |
| 观测分子量 | 100 kDa |
| GenBank蛋白编号 | BC025308 |
| 基因名称 | ZC3HAV1 |
| Gene ID (NCBI) | 56829 |
| RRID | AB_2728733 |
| 偶联类型 | Unconjugated |
| 形式 | Liquid |
| 纯化方式 | Antigen affinity purification |
| UNIPROT ID | Q7Z2W4 |
| 储存缓冲液 | PBS with 0.02% sodium azide and 50% glycerol, pH 7.3. |
| 储存条件 | Store at -20°C. Stable for one year after shipment. Aliquoting is unnecessary for -20oC storage. |
背景介绍
The zinc-finger antiviral protein (ZAP) was originally identifed from a rat cDNA library due to its conferring resistance to retroviruses. ZC3HAV1 is a CCCH-type zinc finger protein, it may primarily function to inhibit viral gene expression and induce an innate immunity to viral infection. Alternative splicing occurs at this locus and two variants, each encoding distinct isoforms. ZC3HAV1 exists some isoforms with MV 101, 77, 67, 42 and 18 kDa.
实验方案
| Product Specific Protocols | |
|---|---|
| IHC protocol for ZC3HAV1 antibody 16820-1-AP | Download protocol |
| IP protocol for ZC3HAV1 antibody 16820-1-AP | Download protocol |
| WB protocol for ZC3HAV1 antibody 16820-1-AP | Download protocol |
| Standard Protocols | |
|---|---|
| Click here to view our Standard Protocols |
发表文章
| Species | Application | Title |
|---|---|---|
Nature CG dinucleotide suppression enables antiviral defence targeting non-self RNA.
| ||
Cell Host Microbe HIV-1 matrix-tRNA complex structure reveals basis for host control of Gag localization. | ||
Nat Commun The short isoform of the host antiviral protein ZAP acts as an inhibitor of SARS-CoV-2 programmed ribosomal frameshifting. | ||
Nucleic Acids Res Comprehensive analysis of the BC200 ribonucleoprotein reveals a reciprocal regulatory function with CSDE1/UNR. |






