验证数据展示
经过测试的应用
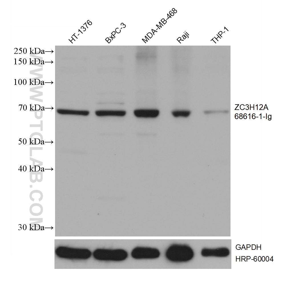
| Positive WB detected in | HT-1376 cells, BxPC-3 cells, MDA-MB-468 cells, Raji cells, THP-1 cells |
推荐稀释比
| 应用 | 推荐稀释比 |
|---|---|
| Western Blot (WB) | WB : 1:5000-1:50000 |
| It is recommended that this reagent should be titrated in each testing system to obtain optimal results. | |
| Sample-dependent, Check data in validation data gallery. | |
发表文章中的应用
| KD/KO | See 1 publications below |
| WB | See 1 publications below |
| IHC | See 1 publications below |
产品信息
68616-1-Ig targets ZC3H12A in WB, IHC, ELISA applications and shows reactivity with Human samples.
| 经测试应用 | WB, ELISA Application Description |
| 文献引用应用 | WB, IHC |
| 经测试反应性 | Human |
| 文献引用反应性 | human |
| 免疫原 |
CatNo: Ag13877 Product name: Recombinant human ZC3H12A protein Source: e coli.-derived, PGEX-4T Tag: GST Domain: 339-599 aa of BC005001 Sequence: ANALLSPPRAPSKDKNGRRPSPSSQSSSLLTESEQCSLDGKKLGAQASPGSRQEGLTQTYAPSGRSLAPSGGSGSSFGPTDWLPQTLDSLPYVSQDCLDSGIGSLESQMSELWGVRGGGPGEPGPPRAPYTGYSPYGSELPATAAFSAFGRAMGAGHFSVPADYPPAPPAFPPREYWSEPYPLPPPTSVLQEPPVQSPGAGRSPWGRADSLAKEQASVYTKLCGVFPPHLVEAVMGRFPQLLDPQQLAAEILSYKSQHPSE 种属同源性预测 |
| 宿主/亚型 | Mouse / IgG1 |
| 抗体类别 | Monoclonal |
| 产品类型 | Antibody |
| 全称 | zinc finger CCCH-type containing 12A |
| 别名 | dJ423B22.1, FLJ23231, MCP induced protein 1, MCPIP, MCPIP1, Ribonuclease ZC3H12A, RP3 423B22.1, ZC3H12A |
| 计算分子量 | 599 aa, 66 kDa |
| 观测分子量 | 66 kDa |
| GenBank蛋白编号 | BC005001 |
| 基因名称 | ZC3H12A |
| Gene ID (NCBI) | 80149 |
| RRID | AB_3085310 |
| 偶联类型 | Unconjugated |
| 形式 | Liquid |
| 纯化方式 | Protein G purification |
| UNIPROT ID | Q5D1E8 |
| 储存缓冲液 | PBS with 0.02% sodium azide and 50% glycerol, pH 7.3. |
| 储存条件 | Store at -20°C. Stable for one year after shipment. Aliquoting is unnecessary for -20oC storage. |
背景介绍
ZC3H12A, also named as MCPIP or MCPIP1, is a 599 amino acid protein, which contains one C3H1-type zinc finger and belongs to the ZC3H12 family. ZC3H12A localizes in the cytoplasm and nucleus. Increased expression of ZC3H12A is associated with ischemic heart disease. ZC3H12A has RNase activity and selectively degrades specific target mRNA species and modulates the immune response and inflammation by regulating the decay of specific mRNA molecules.
实验方案
| Product Specific Protocols | |
|---|---|
| WB protocol for ZC3H12A antibody 68616-1-Ig | Download protocol |
| Standard Protocols | |
|---|---|
| Click here to view our Standard Protocols |
