验证数据展示
经过测试的应用
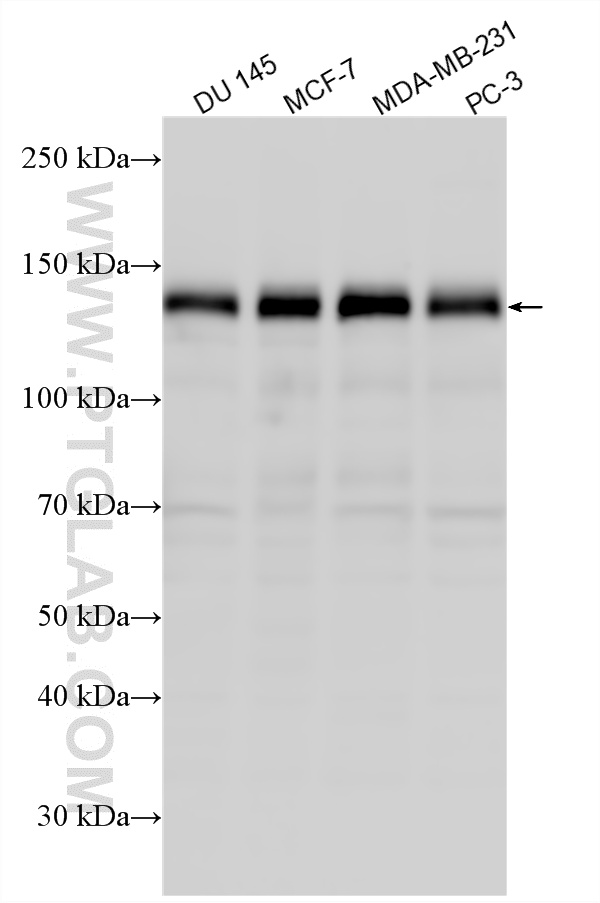
| Positive WB detected in | DU 145 cells, MCF-7 cells, MDA-MB-231 cells, PC-3 cells |
推荐稀释比
| 应用 | 推荐稀释比 |
|---|---|
| Western Blot (WB) | WB : 1:500-1:2000 |
| It is recommended that this reagent should be titrated in each testing system to obtain optimal results. | |
| Sample-dependent, Check data in validation data gallery. | |
发表文章中的应用
| WB | See 1 publications below |
产品信息
17611-1-AP targets ZBTB4 in WB, ELISA applications and shows reactivity with human samples.
| 经测试应用 | WB, ELISA Application Description |
| 文献引用应用 | WB |
| 经测试反应性 | human |
| 文献引用反应性 | human |
| 免疫原 |
CatNo: Ag11774 Product name: Recombinant human ZBTB4 protein Source: e coli.-derived, PGEX-4T Tag: GST Domain: 1-353 aa of BC043352 Sequence: MPPPAEVTDPSHAPAVLRQLNEQRLRGLFCDVTLIAGDTKFPAHRSVLAASSPFFREALLTSAPLPLPPATGGAAPNPATTTAASSSSSSSSSSSSSSSSASSSSSSSSSSPPPASPPASSPPRVLELPGVPAAAFSDVLNFIYSARLALPGGGGDGAAVAEIGALGRRLGISRLQGLGEGGDAWVPSTPAPMATSQPEEDSFGPGPRPAGEWEGDRAEAQAPDLQCSLPRRPLPCPQCGKSFIHPKRLQTHEAQCRRGASTRGSTGLGAGGAGPGGPAGVDASALPPPVGFRGGPEHVVKVVGGHVLYVCAACERSYVTLSSLKRHSNVHSWRRKYPCRYCEKVFALAEYRT 种属同源性预测 |
| 宿主/亚型 | Rabbit / IgG |
| 抗体类别 | Polyclonal |
| 产品类型 | Antibody |
| 全称 | zinc finger and BTB domain containing 4 |
| 别名 | KAISO L1, KAISO-L1, KAISO-like zinc finger protein 1, ZBTB 4, Zinc finger and BTB domain-containing protein 4 |
| 计算分子量 | 1013 aa, 105 kDa |
| 观测分子量 | 105-140 kDa |
| GenBank蛋白编号 | BC043352 |
| 基因名称 | ZBTB4 |
| Gene ID (NCBI) | 57659 |
| 偶联类型 | Unconjugated |
| 形式 | Liquid |
| 纯化方式 | Antigen affinity purification |
| UNIPROT ID | Q9P1Z0 |
| 储存缓冲液 | PBS with 0.02% sodium azide and 50% glycerol, pH 7.3. |
| 储存条件 | Store at -20°C. Stable for one year after shipment. Aliquoting is unnecessary for -20oC storage. |
背景介绍
Zinc-finger proteins contain DNA-binding domains and have a wide variety of functions, most of which encompass some form of transcriptional activation or repression. The majority of zinc-finger proteins contain a Krüppel-type DNA binding domain and a KRAB domain, which is thought to interact with KAP1, thereby recruiting histone modifying proteins. ZBTB4 (zinc finger and BTB domain containing 4), also known as KAISO-L1 (KAISO-like zinc finger protein 1), is a 1,013 amino acid nuclear protein that is involved in transcriptional regulation. ZBTB4 contains one BTB (POZ) domain, six C2H2-type zinc fingers and is phosphorylated and downregulated by HIPK2. The gene encoding ZBTB4 maps to human chromosome 17, which comprises over 2.5% of the human genome and encodes over 1,200 genes.
实验方案
| Product Specific Protocols | |
|---|---|
| WB protocol for ZBTB4 antibody 17611-1-AP | Download protocol |
| Standard Protocols | |
|---|---|
| Click here to view our Standard Protocols |
