验证数据展示
经过测试的应用
| Positive WB detected in | mouse liver tissue, PC-3 cells |
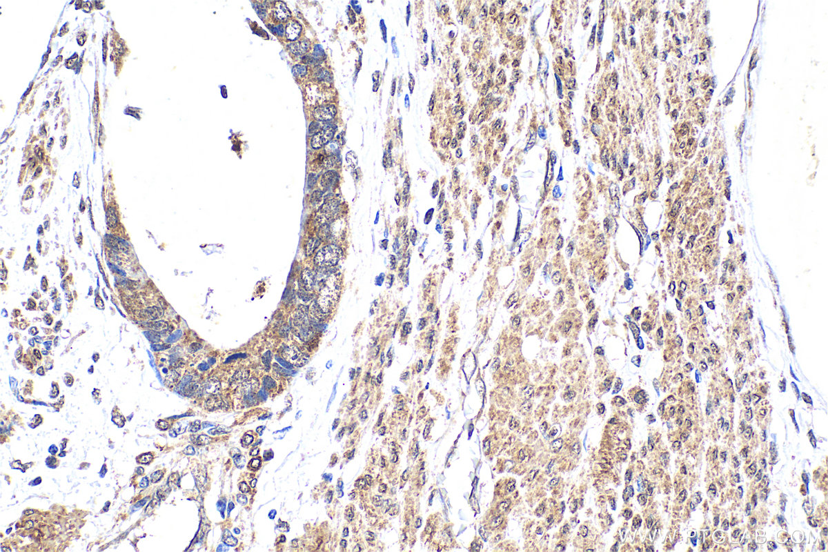
| Positive IHC detected in | human urothelial carcinoma tissue Note: suggested antigen retrieval with TE buffer pH 9.0; (*) Alternatively, antigen retrieval may be performed with citrate buffer pH 6.0 |
推荐稀释比
| 应用 | 推荐稀释比 |
|---|---|
| Western Blot (WB) | WB : 1:500-1:1000 |
| Immunohistochemistry (IHC) | IHC : 1:50-1:500 |
| It is recommended that this reagent should be titrated in each testing system to obtain optimal results. | |
| Sample-dependent, Check data in validation data gallery. | |
发表文章中的应用
| KD/KO | See 1 publications below |
| WB | See 1 publications below |
产品信息
25215-1-AP targets ZBTB11 in WB, IHC, ELISA applications and shows reactivity with human, mouse, rat samples.
| 经测试应用 | WB, IHC, ELISA Application Description |
| 文献引用应用 | WB |
| 经测试反应性 | human, mouse, rat |
| 文献引用反应性 | human |
| 免疫原 |
CatNo: Ag17000 Product name: Recombinant human ZBTB11 protein Source: e coli.-derived, PET28a Tag: 6*His Domain: 704-1053 aa of BC111700 Sequence: QKQFQCELCVKSFVTKRSLQEHMSIHTGESKYLCSVCGKSFHRGSGLSKHFKKHQPKPEVRGYHCTQCEKSFFEARDLRQHMNKHLGVKPFQCQFCDKCYSWKKDWYSHVKSHSVTEPYRCNICGKEFYEKALFRRHVKKATHGKKGRAKQNLERVCEKCGRKFTQLREYRRHMNNHEGVKPFECLTCGVAWADARSLKRHVRTHTGERPYVCPVCSEAYIDARTLRKHMTKFHRDYVPCKIMLEKDTLQFHNQGTQVAHAVSILTAGMQEQESSGPQELETVVVTGETMEALEAVAATEEYPSVSTLSDQSIMQVVNYVLAQQQGQKLSEVAEAIQTVKVEVAHISGGE 种属同源性预测 |
| 宿主/亚型 | Rabbit / IgG |
| 抗体类别 | Polyclonal |
| 产品类型 | Antibody |
| 全称 | zinc finger and BTB domain containing 11 |
| 别名 | Zinc finger and BTB domain-containing protein 11, ZNF U69274 |
| 计算分子量 | 1053 aa, 119 kDa |
| 观测分子量 | 135 kDa |
| GenBank蛋白编号 | BC111700 |
| 基因名称 | ZBTB11 |
| Gene ID (NCBI) | 27107 |
| RRID | AB_2879964 |
| 偶联类型 | Unconjugated |
| 形式 | Liquid |
| 纯化方式 | Antigen affinity purification |
| UNIPROT ID | O95625 |
| 储存缓冲液 | PBS with 0.02% sodium azide and 50% glycerol, pH 7.3. |
| 储存条件 | Store at -20°C. Stable for one year after shipment. Aliquoting is unnecessary for -20oC storage. |
背景介绍
Zinc finger and BTB domain containing 11 (ZBTB11), also named as ZNF U69274, is a 1053 amino acid protein, which contains one BTB domain and twelve C2H2-type zinc fingers. ZBTB11 localizes in the nucleus and may be involved in transcriptional regulation. The molecular weight of ZBTB11 is 119 kDa, but the phosphorylated ZBTB11 is a 135-140 kDa protein.
实验方案
| Product Specific Protocols | |
|---|---|
| IHC protocol for ZBTB11 antibody 25215-1-AP | Download protocol |
| WB protocol for ZBTB11 antibody 25215-1-AP | Download protocol |
| Standard Protocols | |
|---|---|
| Click here to view our Standard Protocols |



