验证数据展示
经过测试的应用
| Positive WB detected in | HeLa cells, HepG2 cells, Jurkat cells | 
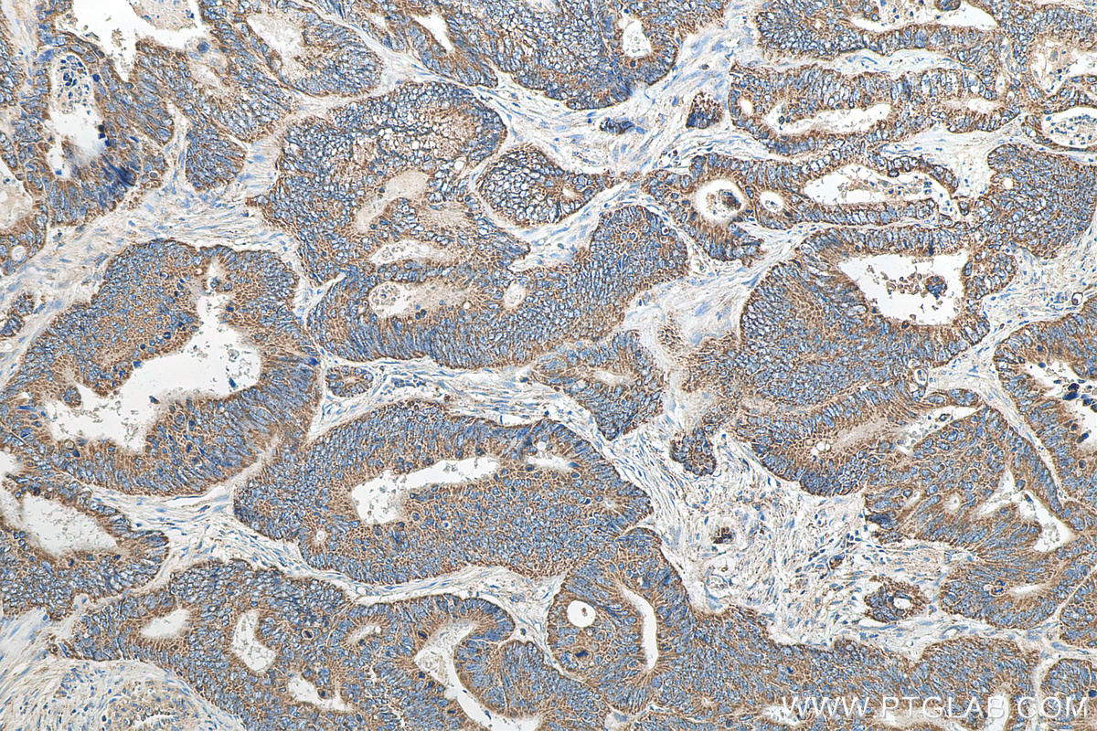
| Positive IHC detected in | human liver cancer tissue, human colon cancer tissue Note: suggested antigen retrieval with TE buffer pH 9.0; (*) Alternatively, antigen retrieval may be performed with citrate buffer pH 6.0  | 
| Positive IF/ICC detected in | HeLa cells | 
推荐稀释比
| 应用 | 推荐稀释比 | 
|---|---|
| Western Blot (WB) | WB : 1:1000-1:8000 | 
| Immunohistochemistry (IHC) | IHC : 1:50-1:500 | 
| Immunofluorescence (IF)/ICC | IF/ICC : 1:400-1:1600 | 
| It is recommended that this reagent should be titrated in each testing system to obtain optimal results. | |
| Sample-dependent, Check data in validation data gallery. | |
产品信息
13285-1-AP targets ZBP1 in WB, IHC, IF/ICC, ELISA applications and shows reactivity with human samples.
| 经测试应用 | WB, IHC, IF/ICC, ELISA Application Description | 
| 文献引用应用 | WB, IHC | 
| 经测试反应性 | human | 
| 文献引用反应性 | human, rat | 
| 免疫原 | 
                                             CatNo: Ag4119 Product name: Recombinant human ZBP1 protein Source: e coli.-derived, PGEX-4T Tag: GST Domain: 1-149 aa of BC028218 Sequence: MAQAPADPGREGHLEQRILQVLTEAGSPVKLAQLVKECQAPKRELNQVLYRMKKELKVSLTSPATWCLGGTDPEGEGPAELALSSPGNCHPGEAGLTLQGASWQWTSTDLSLGSNLNSATWELTGFLSLCLGFFFWLMELTAGLLGRGC 种属同源性预测 | 
                                    
| 宿主/亚型 | Rabbit / IgG | 
| 抗体类别 | Polyclonal | 
| 产品类型 | Antibody | 
| 全称 | Z-DNA binding protein 1 | 
| 别名 | C20orf183, DAI, DLM 1, DLM1, Tumor stroma and activated macrophage protein DLM-1 | 
| 计算分子量 | 46 kDa | 
| 观测分子量 | 42-68 kDa | 
| GenBank蛋白编号 | BC028218 | 
| 基因名称 | ZBP1 | 
| Gene ID (NCBI) | 81030 | 
| RRID | AB_2122651 | 
| 偶联类型 | Unconjugated | 
| 形式 | Liquid | 
| 纯化方式 | Antigen affinity purification | 
| UNIPROT ID | Q9H171 | 
| 储存缓冲液 | PBS with 0.02% sodium azide and 50% glycerol, pH 7.3. | 
| 储存条件 | Store at -20°C. Stable for one year after shipment. Aliquoting is unnecessary for -20oC storage. | 
背景介绍
ZBP1(Z-DNA-binding protein 1), also named as DAI or DLM-1, is a nucleic acid sensor with some isoforms. It has been reported that ZBP1 can sense the viral nucleic acids of viruses and induce the death of infected cells to prevent virus transmission. ZBP1 can be activated and causes necrocytosis without viral infection, which is associated with nuclear Z-form nucleic acids. ZBP1 can be detected 42 kDa, 55 kDa, 68 kDa isoforms (PMID: 37012234, PMID: 9121465).
实验方案
| Product Specific Protocols | |
|---|---|
| IF protocol for ZBP1 antibody 13285-1-AP | Download protocol | 
| IHC protocol for ZBP1 antibody 13285-1-AP | Download protocol | 
| WB protocol for ZBP1 antibody 13285-1-AP | Download protocol | 
| Standard Protocols | |
|---|---|
| Click here to view our Standard Protocols | 
发表文章
| Species | Application | Title | 
|---|---|---|
J Med Virol SARS-CoV-2 infection of polarized human airway epithelium induces necroptosis that causes airway epithelial barrier dysfunction | ||
Cell Death Dis Sensing of endogenous retroviruses-derived RNA by ZBP1 triggers PANoptosis in DNA damage and contributes to toxic side effects of chemotherapy | ||
Cell Death Dis ZBP1-mediated PANoptosis is a crucial lethal form in diverse keratinocyte death modalities in UVB-induced skin injury | ||
Biochim Biophys Acta Mol Basis Dis Ischemia-reperfusion injury induces ZBP1-dependent PANoptosis in endothelial cells | ||
J Agric Food Chem Integrative Gut Microbiota and Metabolomic Analyses Reveal the PANoptosis- and Ferroptosis-Related Mechanisms of Chrysoeriol in Inhibiting Melanoma | ||
Sci Rep Mitochondrial DNA damage and subsequent activation of Z-DNA binding protein 1 links oxidative stress to inflammation in epithelial cells.
  | 




