验证数据展示
经过测试的应用
| Positive WB detected in | SH-SY5Y cells, Jurkat cells, Raji cells, mouse brain tissue, rat brain tissue, NIH/3T3 cells |
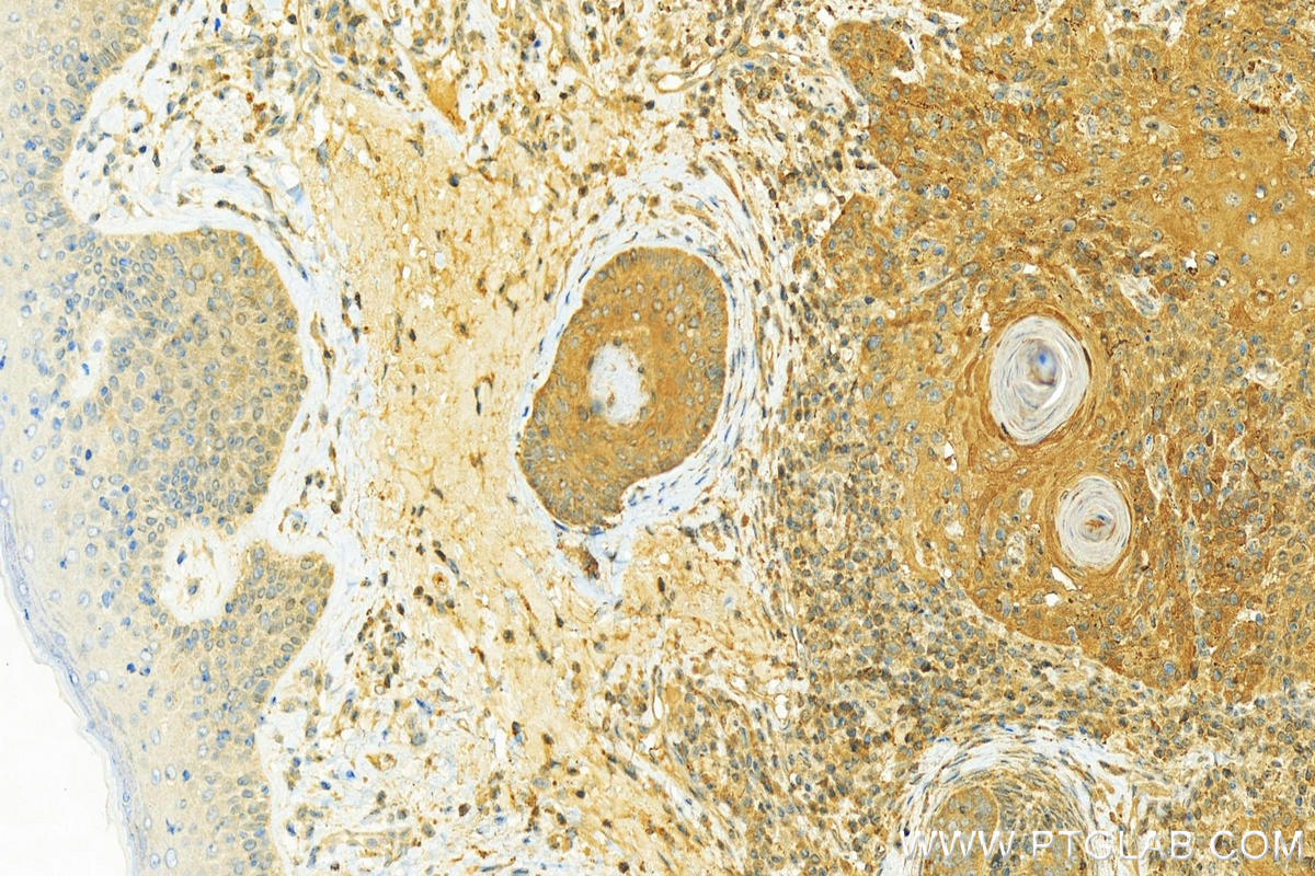
| Positive IHC detected in | human skin cancer tissue, mouse brain tissue Note: suggested antigen retrieval with TE buffer pH 9.0; (*) Alternatively, antigen retrieval may be performed with citrate buffer pH 6.0 |
推荐稀释比
| 应用 | 推荐稀释比 |
|---|---|
| Western Blot (WB) | WB : 1:1000-1:8000 |
| Immunohistochemistry (IHC) | IHC : 1:400-1:1600 |
| It is recommended that this reagent should be titrated in each testing system to obtain optimal results. | |
| Sample-dependent, Check data in validation data gallery. | |
产品信息
14881-1-AP targets YWHAZ in WB, IHC, IF, IP, CoIP, ELISA applications and shows reactivity with human, mouse, rat samples.
| 经测试应用 | WB, IHC, ELISA Application Description |
| 文献引用应用 | WB, IHC, IF, IP, CoIP |
| 经测试反应性 | human, mouse, rat |
| 文献引用反应性 | human, mouse, rat |
| 免疫原 |
CatNo: Ag6654 Product name: Recombinant human YWHAZ protein Source: e coli.-derived, PGEX-4T Tag: GST Domain: 1-245 aa of BC003623 Sequence: MDKNELVQKAKLAEQAERYDDMAACMKSVTEQGAELSNEERNLLSVAYKNVVGARRSSWRVVSSIEQKTEGAEKKQQMAREYREKIETELRDICNDVLSLLEKFLIPNASQAESKVFYLKMKGDYYRYLAEVAAGDDKKGIVDQSQQAYQEAFEISKKEMQPTHPIRLGLALNFSVFYYEILNSPEKACSLAKTAFDEAIAELDTLSEESYKDSTLIMQLLRDNLTLWTSDTQGDEAEAGEGGEN 种属同源性预测 |
| 宿主/亚型 | Rabbit / IgG |
| 抗体类别 | Polyclonal |
| 产品类型 | Antibody |
| 全称 | tyrosine 3-monooxygenase/tryptophan 5-monooxygenase activation protein, zeta polypeptide |
| 别名 | 14-3-3, 14-3-3 protein zeta/delta, KCIP 1, KCIP-1 |
| 计算分子量 | 28 kDa |
| 观测分子量 | 28-30 kDa |
| GenBank蛋白编号 | BC003623 |
| 基因名称 | YWHAZ |
| Gene ID (NCBI) | 7534 |
| RRID | AB_2218248 |
| 偶联类型 | Unconjugated |
| 形式 | Liquid |
| 纯化方式 | Antigen affinity purification |
| UNIPROT ID | P63104 |
| 储存缓冲液 | PBS with 0.02% sodium azide and 50% glycerol, pH 7.3. |
| 储存条件 | Store at -20°C. Stable for one year after shipment. Aliquoting is unnecessary for -20oC storage. |
背景介绍
YWHAZ (also known as 14-3-3 zeta) is a member of 14-3-3 proteins which were the first phosphoserine/phosphothreonine-binding proteins to be discovered. 14-3-3 family members interact with a wide spectrum of proteins and possess diverse functions. Mammals express seven distinct 14-3-3 isoforms (gamma, epsilon, beta, zeta, sigma, theta, tau) that form multiple homo- and hetero- dimmers. 14-3-3 proteins display the highest expression levels in the brain, and have been implicated in several neurodegenerative diseases, including Alzheimer's disease and amyotrophic lateral sclerosis. This antibody was raised against the full-length YWHAZ.
实验方案
| Product Specific Protocols | |
|---|---|
| IHC protocol for YWHAZ antibody 14881-1-AP | Download protocol |
| WB protocol for YWHAZ antibody 14881-1-AP | Download protocol |
| Standard Protocols | |
|---|---|
| Click here to view our Standard Protocols |
发表文章
| Species | Application | Title |
|---|---|---|
EMBO J AKT2 reduces IFNβ1 production to modulate antiviral responses and systemic lupus erythematosus. | ||
Oncogene Lysine-specific demethylase 1 promotes the stemness and chemoresistance of Lgr5(+) liver cancer initiating cells by suppressing negative regulators of β-catenin signaling.
| ||
Oncogene miR-155 downregulates ErbB2 and suppresses ErbB2-induced malignant transformation of breast epithelial cells. | ||
EMBO Rep CUE domain-containing protein 2 promotes the Warburg effect and tumorigenesis.
| ||
Haematologica Comparative analysis of ChAdOx1 nCoV-19 and Ad26.COV2.S SARS-CoV-2 vector vaccines. |





