验证数据展示
经过测试的应用
| Positive WB detected in | HEK-293T cells, MCF-7 cells, HeLa cells, BGC-823 cells, HepG2 cells, SGC-7901 cells, mouse liver tissue, rat liver tissue, L02 cells |
| Positive IP detected in | NIH/3T3 cells |
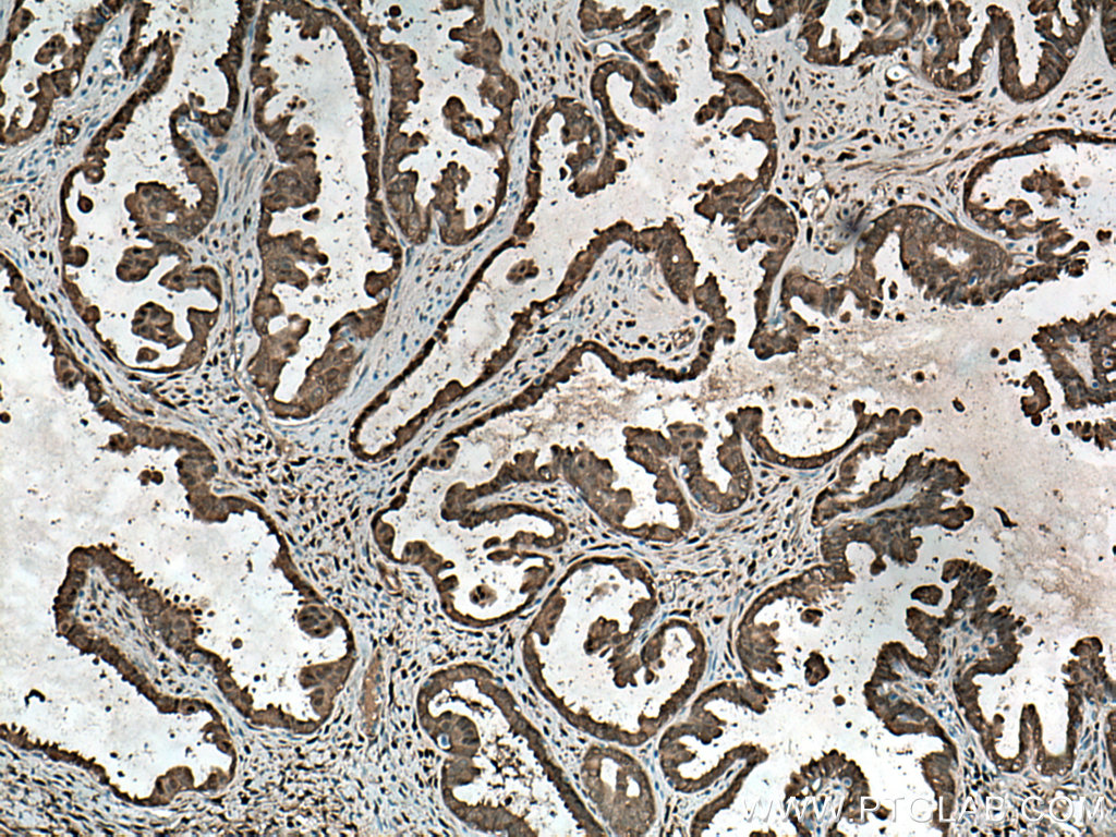
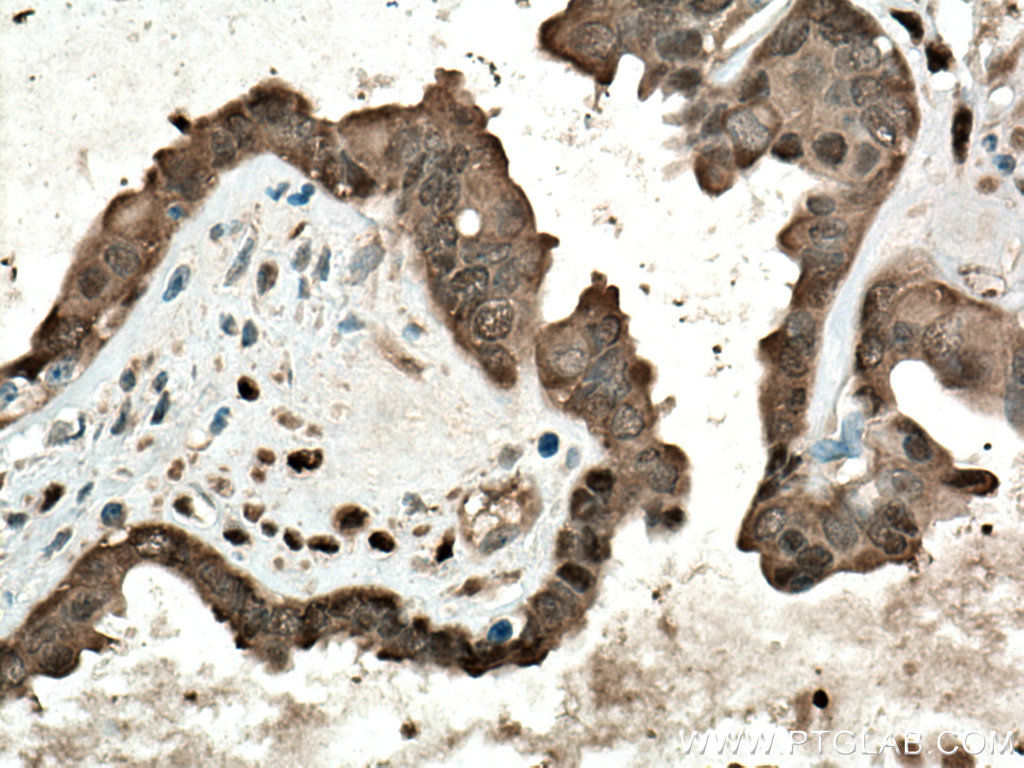
| Positive IHC detected in | human liver cancer tissue, human ovary tumor tissue, human colon cancer tissue Note: suggested antigen retrieval with TE buffer pH 9.0; (*) Alternatively, antigen retrieval may be performed with citrate buffer pH 6.0 |
| Positive IF-P detected in | human lung cancer tissue |
| Positive IF/ICC detected in | HepG2 cells |
推荐稀释比
| 应用 | 推荐稀释比 |
|---|---|
| Western Blot (WB) | WB : 1:20000-1:100000 |
| Immunoprecipitation (IP) | IP : 0.5-4.0 ug for 1.0-3.0 mg of total protein lysate |
| Immunohistochemistry (IHC) | IHC : 1:50-1:500 |
| Immunofluorescence (IF)-P | IF-P : 1:50-1:500 |
| Immunofluorescence (IF)/ICC | IF/ICC : 1:50-1:500 |
| It is recommended that this reagent should be titrated in each testing system to obtain optimal results. | |
| Sample-dependent, Check data in validation data gallery. | |
产品信息
13584-1-AP targets YAP1 in WB, IHC, IF/ICC, IF-P, IP, CoIP, ChIP, ELISA applications and shows reactivity with human, mouse, rat samples.
| 经测试应用 | WB, IHC, IF/ICC, IF-P, IP, ELISA Application Description |
| 文献引用应用 | WB, IHC, IF, IP, CoIP, ChIP |
| 经测试反应性 | human, mouse, rat |
| 文献引用反应性 | human, mouse, rat, pig, monkey, chicken, zebrafish |
| 免疫原 |
CatNo: Ag4510 Product name: Recombinant human YAP1 protein Source: e coli.-derived, PGEX-4T Tag: GST Domain: 155-504 aa of BC038235 Sequence: PTAQHLRQSSFEIPDDVPLPAGWEMAKTSSGQRYFLNHIDQTTTWQDPRKAMLSQMNVTAPTSPPVQQNMMNSASGPLPDGWEQAMTQDGEIYYINHKNKTTSWLDPRLDPRFAMNQRISQSAPVKQPPPLAPQSPQGGVMGGSNSNQQQQMRLQQLQMEKERLRLKQQELLRQAMRNINPSTANSPKCQELALRSQLPTLEQDGGTQNPVSSPGMSQELRTMTTNSSDPFLNSGTYHSRDESTDSGLSMSSYSVPRTPDDFLNSVDEMDTGDTINQSTLPSQQNRFPDYLEAIPGTNVDLGTLEGDGMNIEGEELMPSLQEALSSDILNDMESVLAATKLDKESFLTWL 种属同源性预测 |
| 宿主/亚型 | Rabbit / IgG |
| 抗体类别 | Polyclonal |
| 产品类型 | Antibody |
| 全称 | Yes-associated protein 1, 65kDa |
| 别名 | 65 kDa Yes associated protein, Protein yorkie homolog, Transcriptional coactivator YAP1, YAP, yes associated protein 1 |
| 计算分子量 | 504 aa, 54 kDa |
| 观测分子量 | 65-75 kDa |
| GenBank蛋白编号 | BC038235 |
| 基因名称 | YAP1 |
| Gene ID (NCBI) | 10413 |
| RRID | AB_2218915 |
| 偶联类型 | Unconjugated |
| 形式 | Liquid |
| 纯化方式 | Antigen affinity purification |
| UNIPROT ID | P46937 |
| 储存缓冲液 | PBS with 0.02% sodium azide and 50% glycerol, pH 7.3. |
| 储存条件 | Store at -20°C. Stable for one year after shipment. Aliquoting is unnecessary for -20oC storage. |
背景介绍
Yes-associated protein 1 (YAP1) is a transcriptional regulator which can act both as a coactivator and a corepressor and is the critical downstream regulatory target in the Hippo signaling pathway that plays a pivotal role in organ size control and tumor suppression by restricting proliferation and promoting apoptosis. The core of this pathway is composed of a kinase cascade wherein STK3/MST2 and STK4/MST1, in complex with its regulatory protein SAV1, phosphorylates and activates LATS1/2 in complex with its regulatory protein MOB1, which in turn phosphorylates and inactivates YAP1 oncoprotein and WWTR1/TAZ. Plays a key role to control cell proliferation in response to cell contact. Phosphorylation of YAP1 by LATS1/2 inhibits its translocation into the nucleus to regulate cellular genes important for cell proliferation, cell death, and cell migration. The presence of TEAD transcription factors are required for it to stimulate gene expression, cell growth, anchorage-independent growth, and epithelial mesenchymal transition (EMT) induction. Isoform 2 and isoform 3 can activate the C-terminal fragment (CTF) of ERBB4 (isoform 3).Increased expression seen in some liver and prostate cancers (PMID: 31613226, 32488048, 33520338). Isoforms lacking the transactivation domain found in striatal neurons of patients with Huntington disease (at protein level).It is actived by phosphorylation and degradated by ubiquitination (PMID: 20048001).This antibody is a rabbit polyclonal antibody. The calcualted molecular weight of YAP1 is 54 kDa, but routinely observed at 65-75 kDa by Western Blot (PMID: 28230103, 33264286, 36255405).
实验方案
| Product Specific Protocols | |
|---|---|
| IF protocol for YAP1 antibody 13584-1-AP | Download protocol |
| IHC protocol for YAP1 antibody 13584-1-AP | Download protocol |
| IP protocol for YAP1 antibody 13584-1-AP | Download protocol |
| WB protocol for YAP1 antibody 13584-1-AP | Download protocol |
| Standard Protocols | |
|---|---|
| Click here to view our Standard Protocols |
发表文章
| Species | Application | Title |
|---|---|---|
Nat Mater Reprogramming normal cells into tumour precursors requires ECM stiffness and oncogene-mediated changes of cell mechanical properties. |























