验证数据展示
经过测试的应用
| Positive WB detected in | HeLa cells, C6 cells, Tunicamycin treated HepG2 cells, HEK-293 cells, NIH/3T3 cells |
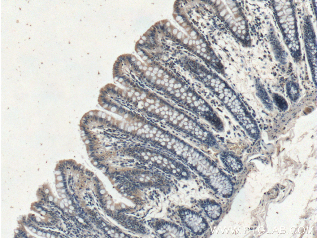
| Positive IHC detected in | human colon tissue, human kidney tissue Note: suggested antigen retrieval with TE buffer pH 9.0; (*) Alternatively, antigen retrieval may be performed with citrate buffer pH 6.0 |
| Positive IF/ICC detected in | HeLa cells |
推荐稀释比
| 应用 | 推荐稀释比 |
|---|---|
| Western Blot (WB) | WB : 1:1000-1:4000 |
| Immunohistochemistry (IHC) | IHC : 1:500-1:2000 |
| Immunofluorescence (IF)/ICC | IF/ICC : 1:50-1:500 |
| It is recommended that this reagent should be titrated in each testing system to obtain optimal results. | |
| Sample-dependent, Check data in validation data gallery. | |
产品信息
23453-1-AP targets XIAP in WB, IHC, IF/ICC, ELISA applications and shows reactivity with human, mouse, rat samples.
| 经测试应用 | WB, IHC, IF/ICC, ELISA Application Description |
| 文献引用应用 | WB, IHC, IF |
| 经测试反应性 | human, mouse, rat |
| 文献引用反应性 | human |
| 免疫原 |
CatNo: Ag0725 Product name: Recombinant human XIAP protein Source: e coli.-derived, PGEX-4T Tag: GST Domain: 1-497 aa of BC032729 Sequence: MTFNSFEGSKTCVPADINKEEEFVEEFNRLKTFANFPSGSPVSASTLARAGFLYTGEGDTVRCFSCHAAVDRWQYGDSAVGRHRKVSPNCRFINGFYLENSATQSTNSGIQNGQYKVENYLGSRDHFALDRPSETHADYLLRTGQVVDISDTIYPRNPAMYSEEARLKSFQNWPDYAHLTPRELASAGLYYTGIGDQVQCFCCGGKLKNWEPCDRAWSEHRRHFPNCFFVLGRNLNIRSESDAVSSDRNFPNSTNLPRNPSMADYEARIFTFGTWIYSVNKEQLARAGFYALGEGDKVKCFHCGGGLTDWKPSEDPWEQHAKWYPGCKYLLEQKGQEYINNIHLTHSLEECLVRTTEKTPSLTRRIDDTIFQNPMVQEAIRMGFSFKDIKKIMEEKIQISGSNYKSLEVLVADLVNAQKDSMQDESSQTSLQKEISTEEQLRRLQEEKLCKICMDRNIAIVFVPCGHLVTCKQCAEAVDKCPMCYTVITFKQKIFMS 种属同源性预测 |
| 宿主/亚型 | Rabbit / IgG |
| 抗体类别 | Polyclonal |
| 产品类型 | Antibody |
| 全称 | X-linked inhibitor of apoptosis |
| 别名 | IAP-3, hIAP-3, EC:2.3.2.27, E3 ubiquitin-protein ligase XIAP, Baculoviral IAP repeat-containing protein 4 |
| 计算分子量 | 60 kDa |
| 观测分子量 | 45-50 kDa |
| GenBank蛋白编号 | BC032729 |
| 基因名称 | XIAP |
| Gene ID (NCBI) | 331 |
| RRID | AB_2879283 |
| 偶联类型 | Unconjugated |
| 形式 | Liquid |
| 纯化方式 | Antigen affinity purification |
| UNIPROT ID | P98170 |
| 储存缓冲液 | PBS with 0.02% sodium azide and 50% glycerol, pH 7.3. |
| 储存条件 | Store at -20°C. Stable for one year after shipment. Aliquoting is unnecessary for -20oC storage. |
背景介绍
XIAP, also named as API3, BIRC4 and IAP3, belongs to the IAP family. It has E3 ubiquitin-protein ligase activity. It mediates the proteasomal degradation of target proteins, such as caspase-3, SMAC or AIFM1. XIAP is an inhibitor of caspase-3, -7 and -9. It mediates activation of MAP3K7/TAK1, leading to the activation of NF-kappa-B. XIAP is an apoptotic suppressor. It is ubiquitinated and degraded by the proteasome in apoptotic cells. The MW of XIAP is 45-56kd.
实验方案
| Product Specific Protocols | |
|---|---|
| IF protocol for XIAP antibody 23453-1-AP | Download protocol |
| IHC protocol for XIAP antibody 23453-1-AP | Download protocol |
| WB protocol for XIAP antibody 23453-1-AP | Download protocol |
| Standard Protocols | |
|---|---|
| Click here to view our Standard Protocols |
发表文章
| Species | Application | Title |
|---|---|---|
Cancer Lett Esculetin inhibits endometrial cancer proliferation and promotes apoptosis via hnRNPA1 to downregulate BCLXL and XIAP. | ||
Biochim Biophys Acta Mol Cell Res HTRA3 transcriptionally inhibited by FOXP1 suppresses tumorigenesis of osteosarcoma via the PTEN/PI3K/AKT pathway | ||
Front Immunol Metabolic Reprogramming Mediates Delayed Apoptosis of Human Neutrophils Infected With Francisella tularensis. | ||
Environ Pollut DBDPE upregulates NOD-like receptor signaling to induce NLRP3 inflammasome-mediated HAECs pyroptosis | ||
PLoS One Altered Bcl-2/Caspase signaling and hypoxia-induced apoptosis in primary human aniridia limbal stromal cells, in CoCl2 mediated hypoxic stress, in vitro |








