验证数据展示
经过测试的应用
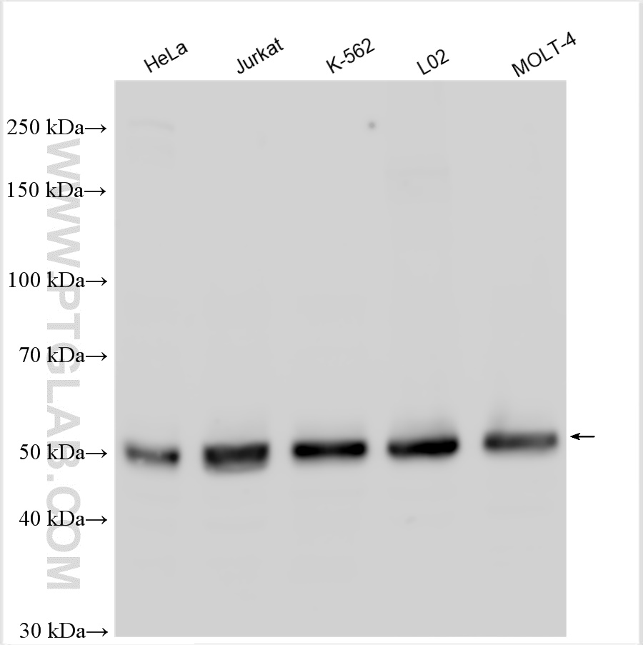
| Positive WB detected in | HeLa cells, Jurkat cells, HepG2 cells, MOLT-4 cells, L02 cells, K-562 cells | 
| Positive IP detected in | Jurkat cells, HEK-293 cells | 
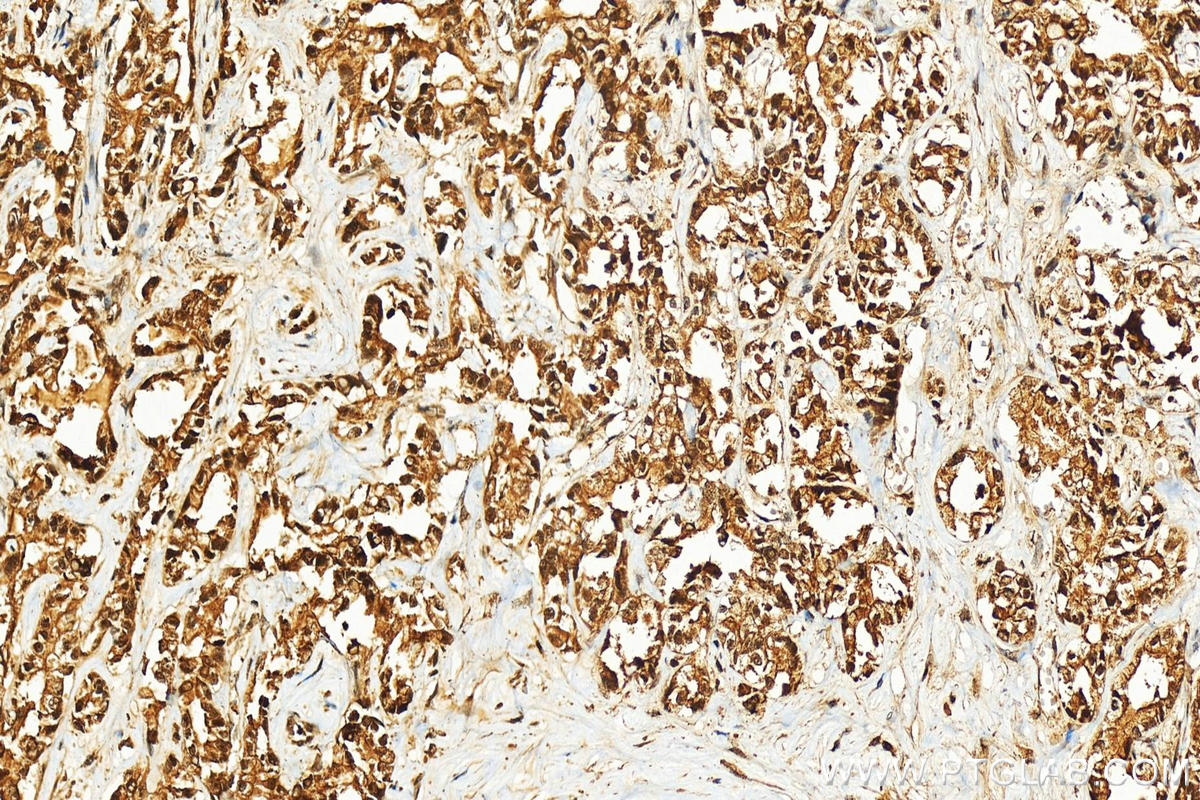
| Positive IHC detected in | human intrahepatic cholangiocarcinoma tissue, human stomach tissue Note: suggested antigen retrieval with TE buffer pH 9.0; (*) Alternatively, antigen retrieval may be performed with citrate buffer pH 6.0 | 
推荐稀释比
| 应用 | 推荐稀释比 | 
|---|---|
| Western Blot (WB) | WB : 1:2000-1:16000 | 
| Immunoprecipitation (IP) | IP : 0.5-4.0 ug for 1.0-3.0 mg of total protein lysate | 
| Immunohistochemistry (IHC) | IHC : 1:500-1:2000 | 
| It is recommended that this reagent should be titrated in each testing system to obtain optimal results. | |
| Sample-dependent, Check data in validation data gallery. | |
产品信息
10200-1-AP targets WTAP in WB, IHC, IF, IP, CoIP, RIP, ELISA applications and shows reactivity with human, mouse, rat samples.
| 经测试应用 | WB, IHC, IP, ELISA Application Description | 
| 文献引用应用 | WB, IHC, IF, IP, CoIP, RIP | 
| 经测试反应性 | human, mouse, rat | 
| 文献引用反应性 | human, mouse, rat | 
| 免疫原 | CatNo: Ag0259 Product name: Recombinant human WTAP protein Source: e coli.-derived, PGEX-4T Tag: GST Domain: 2-150 aa of BC000383 Sequence: TNEEPLPKKVRLSETDFKVMARDELILRWKQYEAYVQALEGKYTDLNSNDVTGLRESEEKLKQQQQESARRENILVMRLATKEQEMQECTTQIQYLKQVQQPSVAQLRSTMVDPAINLFFLKMKGELEQTKDKLEQAQNELSAWKFTPD种属同源性预测 | 
| 宿主/亚型 | Rabbit / IgG | 
| 抗体类别 | Polyclonal | 
| 产品类型 | Antibody | 
| 全称 | Wilms tumor 1 associated protein | 
| 别名 | Wilms tumor 1-associating protein, Pre-mRNA-splicing regulator WTAP, Mum2, KIAA0105, FL2D | 
| 计算分子量 | 45 kDa | 
| 观测分子量 | 50-55 kDa | 
| GenBank蛋白编号 | BC000383 | 
| 基因名称 | WTAP | 
| Gene ID (NCBI) | 9589 | 
| RRID | AB_2216349 | 
| 偶联类型 | Unconjugated | 
| 形式 | Liquid | 
| 纯化方式 | Antigen affinity purification | 
| UNIPROT ID | Q15007 | 
| 储存缓冲液 | PBS with 0.02% sodium azide and 50% glycerol, pH 7.3. | 
| 储存条件 | Store at -20°C. Stable for one year after shipment. Aliquoting is unnecessary for -20oC storage. | 
背景介绍
WTAP, also named as KIAA0105 and hFL(2)D, is previously identified as a protein associated with Wilms' tumor-1 (WT-1) protein that is essential for the development of the genitourinary system. It is a Pre-mRNA-splicing regulator protein. It is a regulatory subunit of the WMM N6-methyltransferase complex which plays a role in the efficiency of mRNA splicing and processing and mRNA stability. It is required for accumulation of METTL3 and METTL14 to nuclear speckle. MW of WTAP is 50-55 kDa due to phosphorylation.
实验方案
| Product Specific Protocols | |
|---|---|
| IHC protocol for WTAP antibody 10200-1-AP | Download protocol | 
| IP protocol for WTAP antibody 10200-1-AP | Download protocol | 
| WB protocol for WTAP antibody 10200-1-AP | Download protocol | 
| Standard Protocols | |
|---|---|
| Click here to view our Standard Protocols | 
发表文章
| Species | Application | Title | 
|---|---|---|
| Cell Metab Amelioration of nonalcoholic fatty liver disease by inhibiting the deubiquitylating enzyme RPN11 | ||
| Nat Cell Biol The piRNA CHAPIR regulates cardiac hypertrophy by controlling METTL3-dependent N6-methyladenosine methylation of Parp10 mRNA. | ||
| Mol Cell Dynamic control of chromatin-associated m6A methylation regulates nascent RNA synthesis.
 | ||
| Mol Cell Zc3h13 Regulates Nuclear RNA m6A Methylation and Mouse Embryonic Stem Cell Self-Renewal. | 








