验证数据展示
经过测试的应用
| Positive WB detected in | mouse heart tissue, HUVEC cells, PC-3 cells |
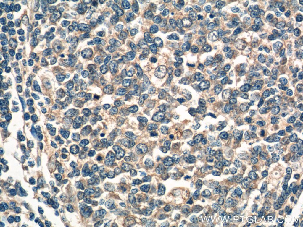
| Positive IHC detected in | human lung cancer tissue, human thyroid cancer tissue, human tonsillitis tissue, mouse heart tissue Note: suggested antigen retrieval with TE buffer pH 9.0; (*) Alternatively, antigen retrieval may be performed with citrate buffer pH 6.0 |
推荐稀释比
| 应用 | 推荐稀释比 |
|---|---|
| Western Blot (WB) | WB : 1:500-1:3000 |
| Immunohistochemistry (IHC) | IHC : 1:200-1:500 |
| It is recommended that this reagent should be titrated in each testing system to obtain optimal results. | |
| Sample-dependent, Check data in validation data gallery. | |
产品信息
55184-1-AP targets WNT5A/B in WB, IHC, IF, IP, RIP, ELISA applications and shows reactivity with human, mouse samples.
| 经测试应用 | WB, IHC, ELISA Application Description |
| 文献引用应用 | WB, IHC, IF, IP, RIP |
| 经测试反应性 | human, mouse |
| 文献引用反应性 | human, mouse, rat, chicken, zebrafish |
| 免疫原 |
Peptide 种属同源性预测 |
| 宿主/亚型 | Rabbit / IgG |
| 抗体类别 | Polyclonal |
| 产品类型 | Antibody |
| 全称 | wingless-type MMTV integration site family, member 5A |
| 别名 | WNT5A, hWNT5A, Protein Wnt 5a, Protein Wnt-5a, WNT5A B |
| 计算分子量 | 42 kDa |
| 观测分子量 | 38-42 kDa |
| GenBank蛋白编号 | NM_003392 |
| 基因名称 | WNT5A |
| Gene ID (NCBI) | 7474 |
| RRID | AB_2881285 |
| 偶联类型 | Unconjugated |
| 形式 | Liquid |
| 纯化方式 | Antigen affinity purification |
| UNIPROT ID | P41221 |
| 储存缓冲液 | PBS with 0.02% sodium azide and 50% glycerol, pH 7.3. |
| 储存条件 | Store at -20°C. Stable for one year after shipment. Aliquoting is unnecessary for -20oC storage. |
背景介绍
The WNT gene family consists of structurally related genes which encode secreted signaling proteins. There are 19 Wnt genes in the human genome that encode functionally distinct Wnt proteins. These proteins have been implicated in oncogenesis and in several developmental processes, including regulation of cell fate and patterning during embryogenesis. Wnt members bind to the Frizzled family of seven-pass transmembrane proteins and activate several signaling pathway. Wnt5A is a member of the Wnt family of proteins, which are 38-45 kDa secreted cysteine-rich proteins with hydrophobic signal peptides. This antibody can recognize WNT5A and WNT5B.
实验方案
| Product Specific Protocols | |
|---|---|
| IHC protocol for WNT5A/B antibody 55184-1-AP | Download protocol |
| WB protocol for WNT5A/B antibody 55184-1-AP | Download protocol |
| Standard Protocols | |
|---|---|
| Click here to view our Standard Protocols |
发表文章
| Species | Application | Title |
|---|---|---|
Cell Metab Mitochondrial Dynamics Is Critical for the Full Pluripotency and Embryonic Developmental Potential of Pluripotent Stem Cells. | ||
Genome Biol Integrated genomic and transcriptomic analysis reveals unique characteristics of hepatic metastases and pro-metastatic role of complement C1q in pancreatic ductal adenocarcinoma. | ||
Acta Biomater Substrate stiffness regulates differentiation of induced pluripotent stem cells into heart valve endothelial cells. | ||
Biomaterials Osteogenesis potential of different titania nanotubes in oxidative stress microenvironment. | ||
Nanoscale An assembly-inducing PDC enabling the efficient nuclear delivery of nucleic acid for cancer stem-like cell suppression | ||
Int J Biol Macromol Cranial repair-promoting effect of oxidised sodium alginate/amino gelatine injectable hydrogel loaded with deer antler blood peptides |











