验证数据展示
经过测试的应用
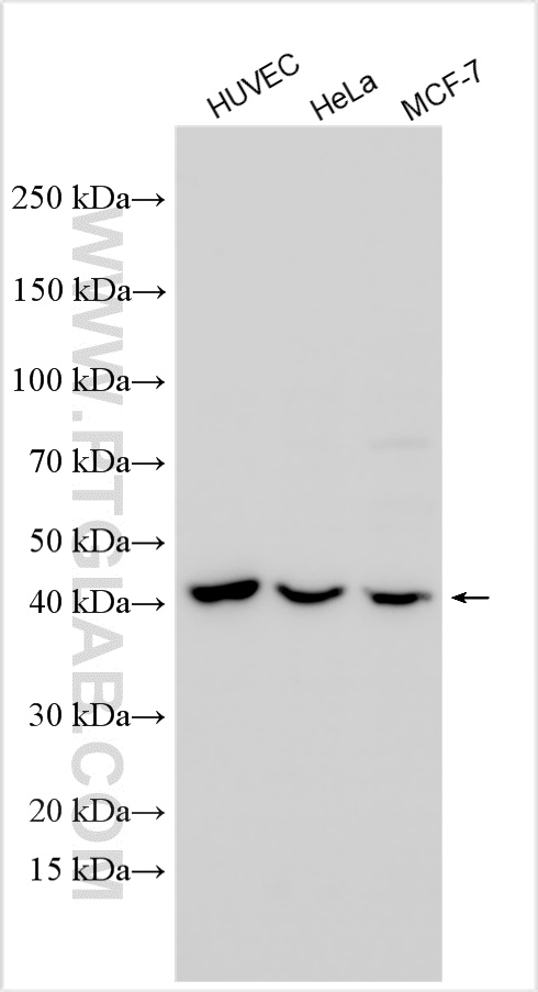
| Positive WB detected in | HUVEC cells, HeLa cells, MCF-7 cells, SKOV-3 cells |
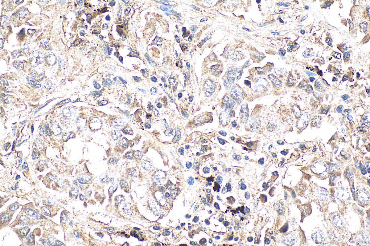
| Positive IHC detected in | human lung cancer tissue Note: suggested antigen retrieval with TE buffer pH 9.0; (*) Alternatively, antigen retrieval may be performed with citrate buffer pH 6.0 |
| Positive IF/ICC detected in | HeLa cells |
推荐稀释比
| 应用 | 推荐稀释比 |
|---|---|
| Western Blot (WB) | WB : 1:500-1:1000 |
| Immunohistochemistry (IHC) | IHC : 1:50-1:500 |
| Immunofluorescence (IF)/ICC | IF/ICC : 1:50-1:500 |
| It is recommended that this reagent should be titrated in each testing system to obtain optimal results. | |
| Sample-dependent, Check data in validation data gallery. | |
产品信息
29793-1-AP targets WNT5A/B in WB, IHC, IF/ICC, ELISA applications and shows reactivity with human samples.
| 经测试应用 | WB, IHC, IF/ICC, ELISA Application Description |
| 文献引用应用 | WB, IHC, IF |
| 经测试反应性 | human |
| 文献引用反应性 | human, mouse, rat |
| 免疫原 |
CatNo: Ag31507 Product name: Recombinant human WNT5A protein Source: e coli.-derived, PGEX-4T Tag: GST Domain: 330-380 aa of BC064694 Sequence: EGMDGCELMCCGRGYDQFKTVQTERCHCKFHWCCYVKCKKCTEIVDQFVCK 种属同源性预测 |
| 宿主/亚型 | Rabbit / IgG |
| 抗体类别 | Polyclonal |
| 产品类型 | Antibody |
| 全称 | wingless-type MMTV integration site family, member 5A |
| 别名 | WNT5A, hWNT5A, Protein Wnt 5a, Protein Wnt-5a, WNT5A B |
| 计算分子量 | 42 kDa |
| 观测分子量 | 42 kDa |
| GenBank蛋白编号 | BC064694 |
| 基因名称 | WNT5A |
| Gene ID (NCBI) | 7474 |
| RRID | AB_3086163 |
| 偶联类型 | Unconjugated |
| 形式 | Liquid |
| 纯化方式 | Antigen affinity purification |
| UNIPROT ID | P41221 |
| 储存缓冲液 | PBS with 0.02% sodium azide and 50% glycerol, pH 7.3. |
| 储存条件 | Store at -20°C. Stable for one year after shipment. Aliquoting is unnecessary for -20oC storage. |
背景介绍
The WNT gene family consists of structurally related genes which encode secreted signaling proteins. There are 19 Wnt genes in the human genome that encode functionally distinct Wnt proteins. These proteins have been implicated in oncogenesis and in several developmental processes, including regulation of cell fate and patterning during embryogenesis. Wnt members bind to the Frizzled family of seven-pass transmembrane proteins and activate several signaling pathway. Wnt5A is a member of the Wnt family of proteins, which are 38-45 kDa secreted cysteine-rich proteins with hydrophobic signal peptides.
实验方案
| Product Specific Protocols | |
|---|---|
| IF protocol for WNT5A/B antibody 29793-1-AP | Download protocol |
| IHC protocol for WNT5A/B antibody 29793-1-AP | Download protocol |
| WB protocol for WNT5A/B antibody 29793-1-AP | Download protocol |
| Standard Protocols | |
|---|---|
| Click here to view our Standard Protocols |
发表文章
| Species | Application | Title |
|---|---|---|
ACS Appl Mater Interfaces Advanced Strategies in Bone Tissue Engineering: "Membrane-Jelly" Hydrogel System to Improve Bone Marrow Stem Cell Osteogenic Differentiation and Bone Regeneration | ||
J Biol Chem Exosomal miR-23a-3p derived from human umbilical cord mesenchymal stem cells promotes remyelination in central nervous system demyelinating diseases by targeting Tbr1/Wnt pathway | ||
J Orthop Res Increased Wnt5a/ROR2 signaling is associated with chondrogenesis in meniscal degeneration | ||
Biochim Biophys Acta Mol Cell Res Wnt/β-catenin signaling inhibits oxidative stress-induced ferroptosis to improve interstitial cystitis/bladder pain syndrome by reducing NF-κB | ||
Noncoding RNA Res LncRNA NEAT1-206 regulates autophagy of human umbilical cord mesenchymal stem cells through the WNT5A/Ca2+ signaling pathway under senescence stress | ||
J Immunother Cancer Inhibition of stromal MAOA leading activation of WNT5A enhance prostate cancer immunotherapy by involving the transition of cancer-associated fibroblasts |





