验证数据展示
经过测试的应用
| Positive WB detected in | HeLa cells, K-562 cells |
| Positive IP detected in | HeLa cells |
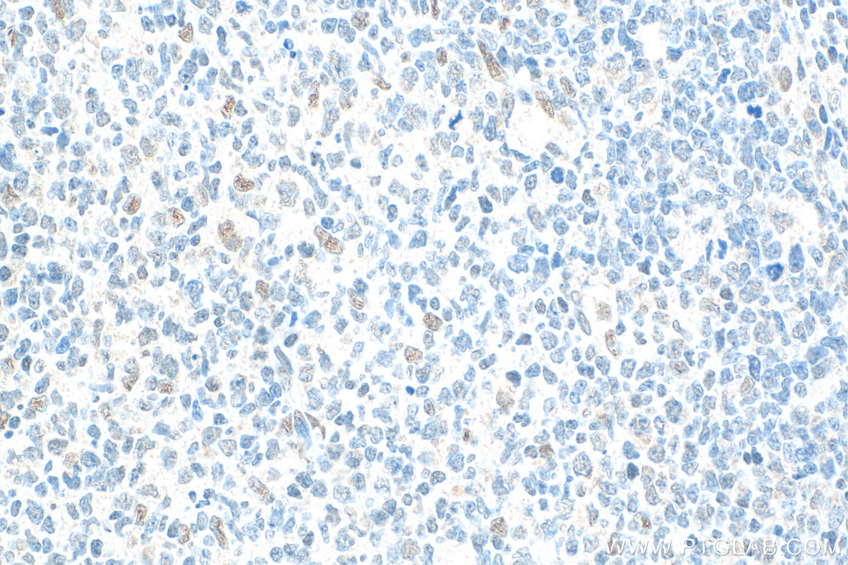
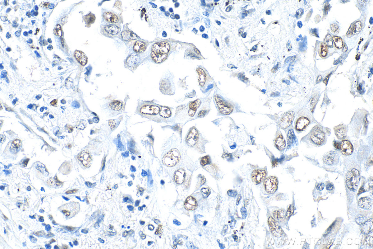
| Positive IHC detected in | human tonsillitis tissue, human lung cancer tissue Note: suggested antigen retrieval with TE buffer pH 9.0; (*) Alternatively, antigen retrieval may be performed with citrate buffer pH 6.0 |
| Positive IF/ICC detected in | A549 cells |
推荐稀释比
| 应用 | 推荐稀释比 |
|---|---|
| Western Blot (WB) | WB : 1:1000-1:4000 |
| Immunoprecipitation (IP) | IP : 0.5-4.0 ug for 1.0-3.0 mg of total protein lysate |
| Immunohistochemistry (IHC) | IHC : 1:500-1:2000 |
| Immunofluorescence (IF)/ICC | IF/ICC : 1:200-1:800 |
| It is recommended that this reagent should be titrated in each testing system to obtain optimal results. | |
| Sample-dependent, Check data in validation data gallery. | |
产品信息
15544-1-AP targets WDR5 in WB, IHC, IF/ICC, IP, CoIP, ChIP, ELISA applications and shows reactivity with human, mouse, rat samples.
| 经测试应用 | WB, IHC, IF/ICC, IP, ELISA Application Description |
| 文献引用应用 | WB, IF, CoIP, ChIP |
| 经测试反应性 | human, mouse, rat |
| 文献引用反应性 | human, mouse |
| 免疫原 |
CatNo: Ag7900 Product name: Recombinant human WDR5 protein Source: e coli.-derived, PGEX-4T Tag: GST Domain: 1-334 aa of BC001635 Sequence: MATEEKKPETEAARAQPTPSSSATQSKPTPVKPNYALKFTLAGHTKAVSSVKFSPNGEWLASSSADKLIKIWGAYDGKFEKTISGHKLGISDVAWSSDSNLLVSASDDKTLKIWDVSSGKCLKTLKGHSNYVFCCNFNPQSNLIVSGSFDESVRIWDVKTGKCLKTLPAHSDPVSAVHFNRDGSLIVSSSYDGLCRIWDTASGQCLKTLIDDDNPPVSFVKFSPNGKYILAATLDNTLKLWDYSKGKCLKTYTGHKNEKYCIFANFSVTGGKWIVSGSEDNLVYIWNLQTKEIVQKLQGHTDVVISTACHPTENIIASAALENDKTIKLWKSDC 种属同源性预测 |
| 宿主/亚型 | Rabbit / IgG |
| 抗体类别 | Polyclonal |
| 产品类型 | Antibody |
| 全称 | WD repeat domain 5 |
| 别名 | BIG 3, BIG3, BMP2-induced 3-kb gene protein, CFAP89, SWD 3 |
| 计算分子量 | 37 kDa |
| 观测分子量 | 36 kDa |
| GenBank蛋白编号 | BC001635 |
| 基因名称 | WDR5 |
| Gene ID (NCBI) | 11091 |
| RRID | AB_2257220 |
| 偶联类型 | Unconjugated |
| 形式 | Liquid |
| 纯化方式 | Antigen affinity purification |
| UNIPROT ID | P61964 |
| 储存缓冲液 | PBS with 0.02% sodium azide and 50% glycerol, pH 7.3. |
| 储存条件 | Store at -20°C. Stable for one year after shipment. Aliquoting is unnecessary for -20oC storage. |
背景介绍
The WDR5 antibody targets the WD repeat protein domain 5 (WDR5), a member of the WD40 repeat protein family in humans. The WDR5 protein is a core member of the mammalian trithorax complex and, like the rest of the WD40 repeat protein family, is primarily involved in diverse cellular processes. WDR5 is identified as a methyl Lys-4 H3-specific-binding protein, however it is known to interact with the Mixed Lineage Leukemia (MLL) protein at the same site for histone H3 tri-methylation(PMID:18840606). Recently, the WDR5 protein has been shown to regulate embryonic stem cell self-renewal, and an increased expression of WDR5 has been found to efficiently induce the formation of pluripotent stem cells (PMID:21477851). WDR5 is also shown to accelerate osteoblast and chondrocyte differentiation(PMID:16730692 ).
实验方案
| Product Specific Protocols | |
|---|---|
| IF protocol for WDR5 antibody 15544-1-AP | Download protocol |
| IHC protocol for WDR5 antibody 15544-1-AP | Download protocol |
| IP protocol for WDR5 antibody 15544-1-AP | Download protocol |
| WB protocol for WDR5 antibody 15544-1-AP | Download protocol |
| Standard Protocols | |
|---|---|
| Click here to view our Standard Protocols |
发表文章
| Species | Application | Title |
|---|---|---|
Nat Commun KMT2A associates with PHF5A-PHF14-HMG20A-RAI1 subcomplex in pancreatic cancer stem cells and epigenetically regulates their characteristics | ||
Sci Adv EIF3D safeguards the homeostasis of key signaling pathways in human primed pluripotency | ||
Sci Adv A MYC inhibitor selectively alters the MYC and MAX cistromes and modulates the epigenomic landscape to regulate target gene expression. | ||
Proc Natl Acad Sci U S A Compensatory functions of histone deacetylase 1 (HDAC1) and HDAC2 regulate transcription and apoptosis during mouse oocyte development. | ||
Pharmacol Res HPV E7-drived ALKBH5 promotes cervical cancer progression by modulating m6A modification of PAK5 | ||
Cancer Lett The m6A hypermethylation-induced PIR overexpression regulates H3K4me3 and promotes Tumorigenesis of Uveal Melanoma |




