验证数据展示
经过测试的应用
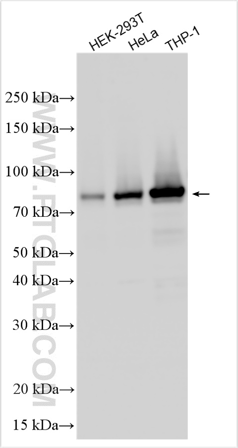
| Positive WB detected in | HEK-293T cells, HeLa cells, THP-1 cells |
推荐稀释比
| 应用 | 推荐稀释比 |
|---|---|
| Western Blot (WB) | WB : 1:1000-1:4000 |
| It is recommended that this reagent should be titrated in each testing system to obtain optimal results. | |
| Sample-dependent, Check data in validation data gallery. | |
产品信息
33500-1-AP targets WDR42A in WB, ELISA applications and shows reactivity with human samples.
| 经测试应用 | WB, ELISA Application Description |
| 经测试反应性 | human |
| 免疫原 |
CatNo: Ag38765 Product name: Recombinant human WDR42A protein Source: e coli.-derived, PGEX-4T Tag: GST Domain: 1-100 aa of BC099709 Sequence: MSSKGSSTDGRTDLANGSLSSSPEEMSGAEEGRETSSGIEVEASDLSLSLTGDDGGPNRTSTESRGTDTESSGEDKDSDSMEDTGHYSINDENRVHDRSE 种属同源性预测 |
| 宿主/亚型 | Rabbit / IgG |
| 抗体类别 | Polyclonal |
| 产品类型 | Antibody |
| 全称 | WD repeat domain 42A |
| 别名 | DCAF8, DDB1- and CUL4-associated factor 8, H326, WD repeat-containing protein 42A |
| 计算分子量 | 597 aa, 67 kDa |
| 观测分子量 | 67-73 kDa |
| GenBank蛋白编号 | BC099709 |
| 基因名称 | WDR42A |
| Gene ID (NCBI) | 50717 |
| 偶联类型 | Unconjugated |
| 形式 | Liquid |
| 纯化方式 | Antigen affinity Purification |
| UNIPROT ID | Q5TAQ9 |
| 储存缓冲液 | PBS with 0.02% sodium azide and 50% glycerol, pH 7.3. |
| 储存条件 | Store at -20°C. Stable for one year after shipment. Aliquoting is unnecessary for -20oC storage. |
背景介绍
WD repeat-containing protein 42A (WDR42A), also named DDB1- and CUL4- associated factor 8 (DCAF8), is a member of the WD40-repeat proteins (PMID: 22500989). WDR42A is a nucleocytoplasmic shuttling protein. WDR42A acts as a substrate receptor for the CUL4-DDB1 E3 ubiquitin-protein ligase complex, which is involved in protein ubiquitination (Uniprot).
实验方案
| Product Specific Protocols | |
|---|---|
| WB protocol for WDR42A antibody 33500-1-AP | Download protocol |
| Standard Protocols | |
|---|---|
| Click here to view our Standard Protocols |
