验证数据展示
经过测试的应用
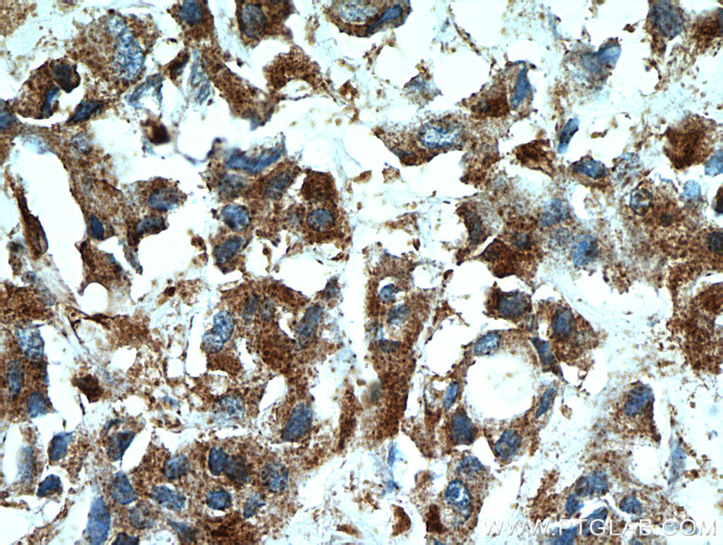
| Positive IHC detected in | rat brain tissue, mouse brain tissue,  human breast cancer tissue Note: suggested antigen retrieval with TE buffer pH 9.0; (*) Alternatively, antigen retrieval may be performed with citrate buffer pH 6.0 | 
推荐稀释比
| 应用 | 推荐稀释比 | 
|---|---|
| Immunohistochemistry (IHC) | IHC : 1:50-1:500 | 
| It is recommended that this reagent should be titrated in each testing system to obtain optimal results. | |
| Sample-dependent, Check data in validation data gallery. | |
产品信息
55009-1-AP targets WDFY3/ALFY in WB, IHC, IF, ELISA applications and shows reactivity with human, mouse, rat samples.
| 经测试应用 | IHC, ELISA Application Description | 
| 文献引用应用 | WB, IHC, IF | 
| 经测试反应性 | human, mouse, rat | 
| 文献引用反应性 | mouse | 
| 免疫原 | Peptide种属同源性预测 | 
| 宿主/亚型 | Rabbit / IgG | 
| 抗体类别 | Polyclonal | 
| 产品类型 | Antibody | 
| 全称 | WD repeat and FYVE domain containing 3 | 
| 别名 | WDFY3, WDFY3 / ALFY, Alfy, Autophagy linked FYVE protein, Autophagy-linked FYVE protein | 
| 计算分子量 | 395 kDa | 
| GenBank蛋白编号 | NM_014991 | 
| 基因名称 | WDFY3 | 
| Gene ID (NCBI) | 23001 | 
| RRID | AB_10863126 | 
| 偶联类型 | Unconjugated | 
| 形式 | Liquid | 
| 纯化方式 | Antigen affinity purification | 
| UNIPROT ID | Q8IZQ1 | 
| 储存缓冲液 | PBS with 0.02% sodium azide and 50% glycerol, pH 7.3. | 
| 储存条件 | Store at -20°C. Stable for one year after shipment. Aliquoting is unnecessary for -20oC storage. | 
背景介绍
WDFY3, also named as KIAA0993 and Alfy, is a protein which contains WD repeats and an FYVE domain. Multiple alternatively spliced transcript variants have been found for WDFY3, but the full-length nature of some variants has not been defined. The antibody is specific to WDFY3.The band 50kd in WB is a splicing form of WDFY3.
实验方案
| Product Specific Protocols | |
|---|---|
| IHC protocol for WDFY3/ALFY antibody 55009-1-AP | Download protocol | 
| Standard Protocols | |
|---|---|
| Click here to view our Standard Protocols | 
发表文章
| Species | Application | Title | 
|---|---|---|
| Cardiovasc Res WD40 repeat and FYVE domain containing 3 (Wdfy3) is essential for cardiac development.
 | ||
| In Vitro Cell Dev Biol Anim Autophagy-linked FYVE protein (Alfy) promotes autophagic removal of misfolded proteins involved in amyotrophic lateral sclerosis (ALS). | 









