验证数据展示
经过测试的应用
| Positive WB detected in | human testis tissue, mouse testis tissue |
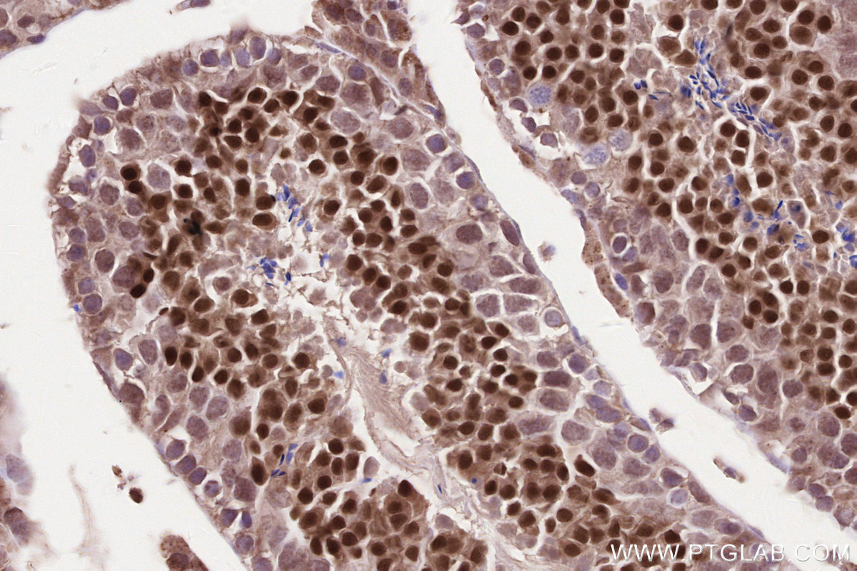
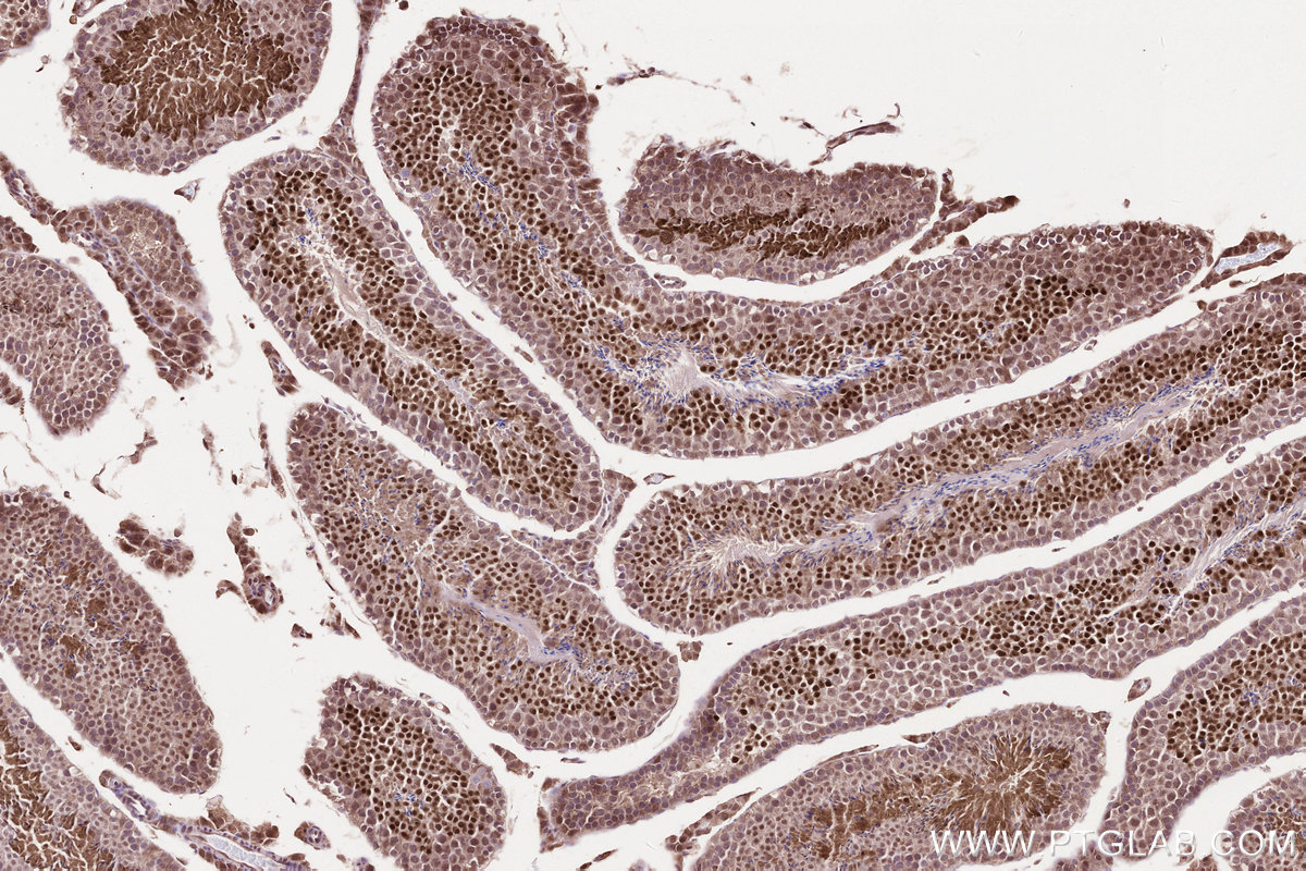
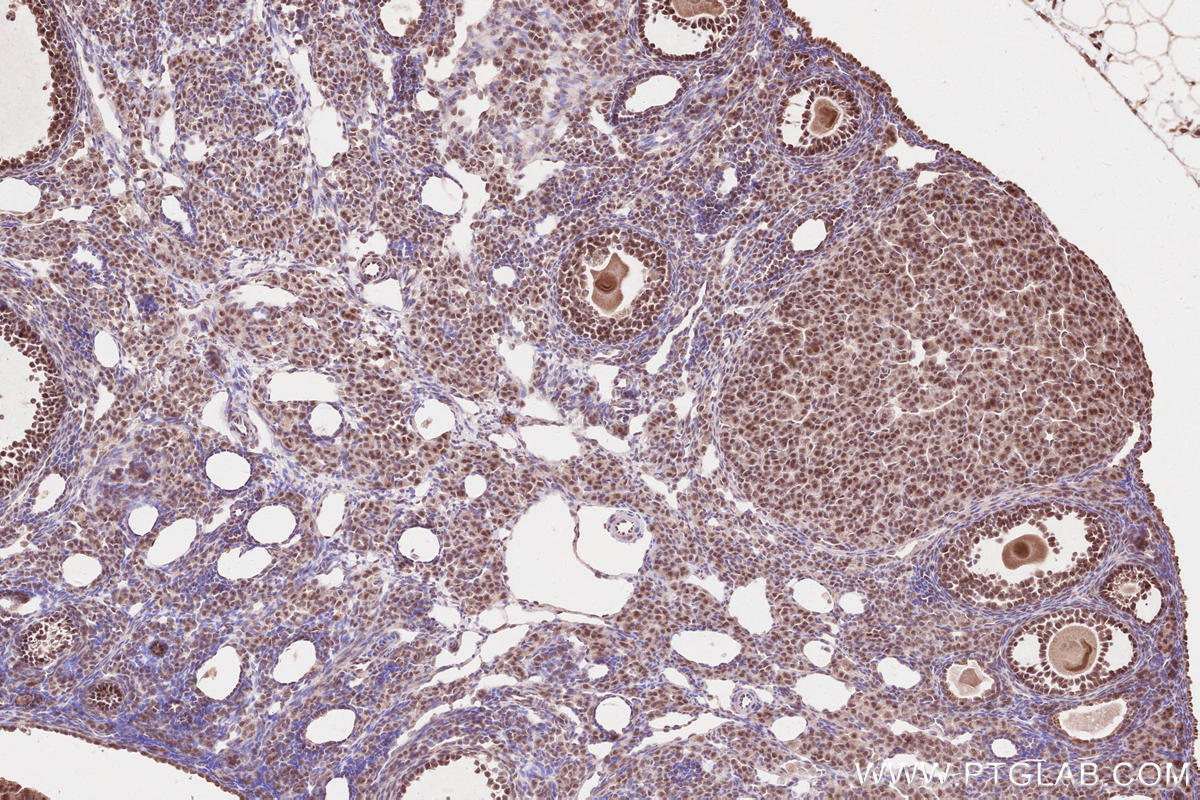
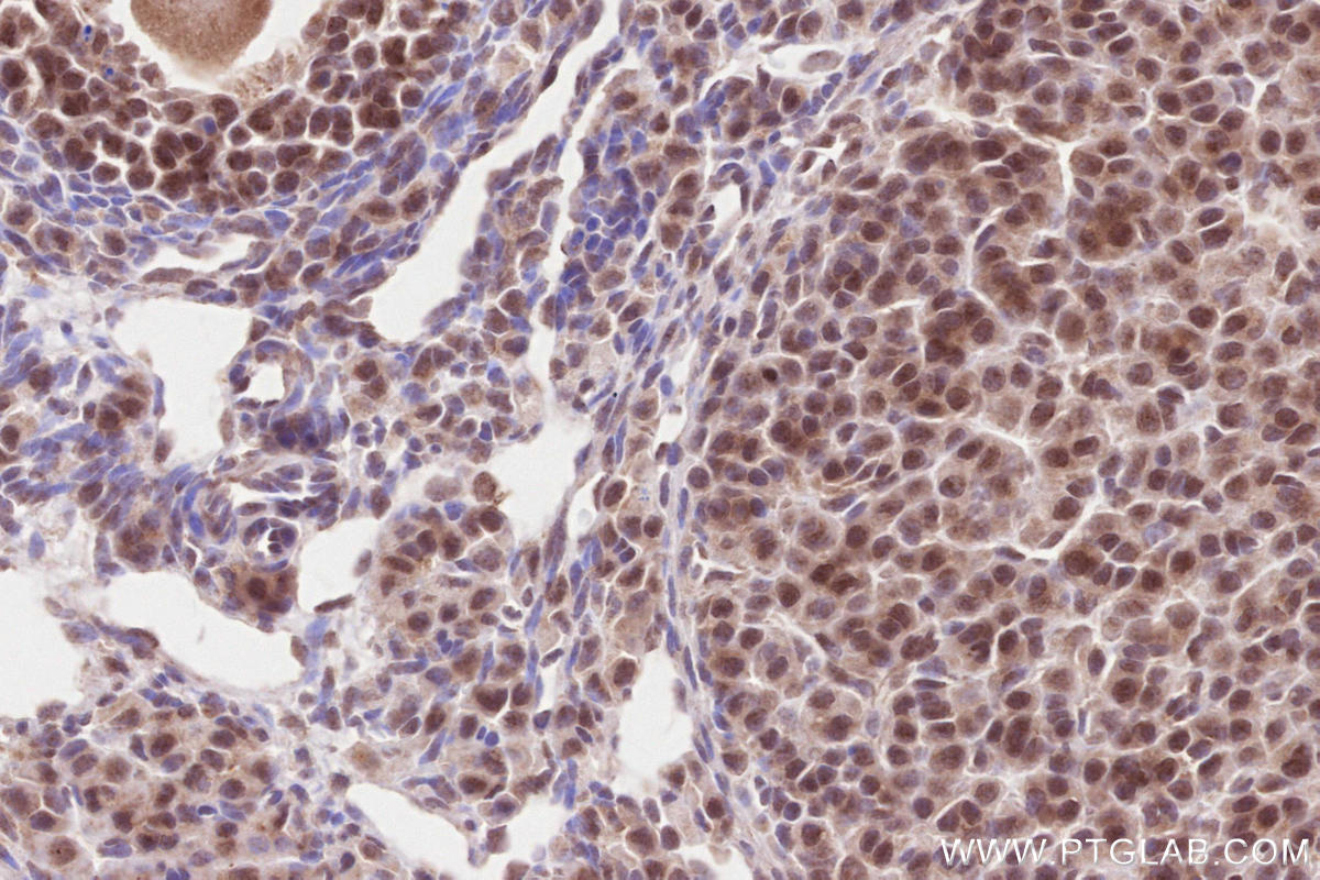
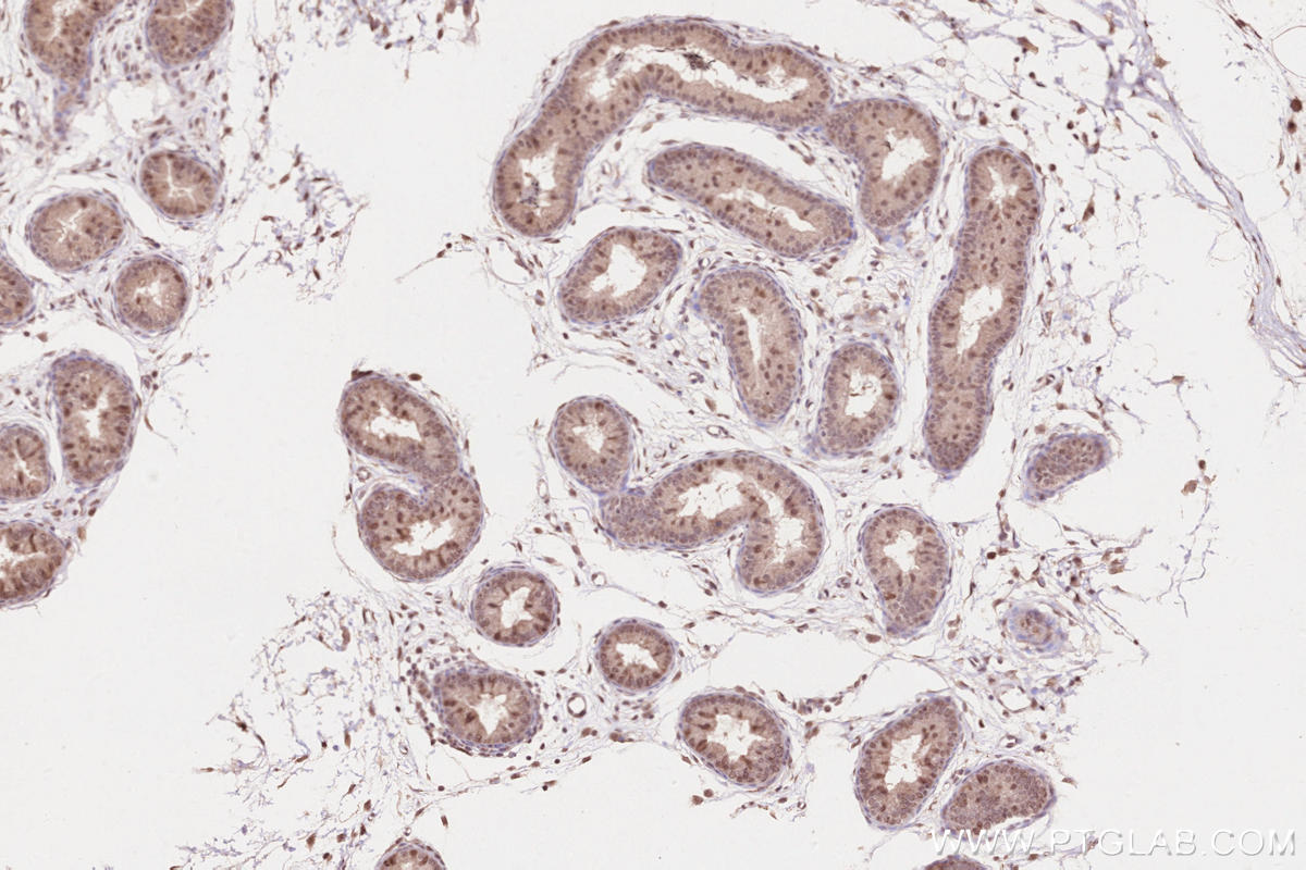
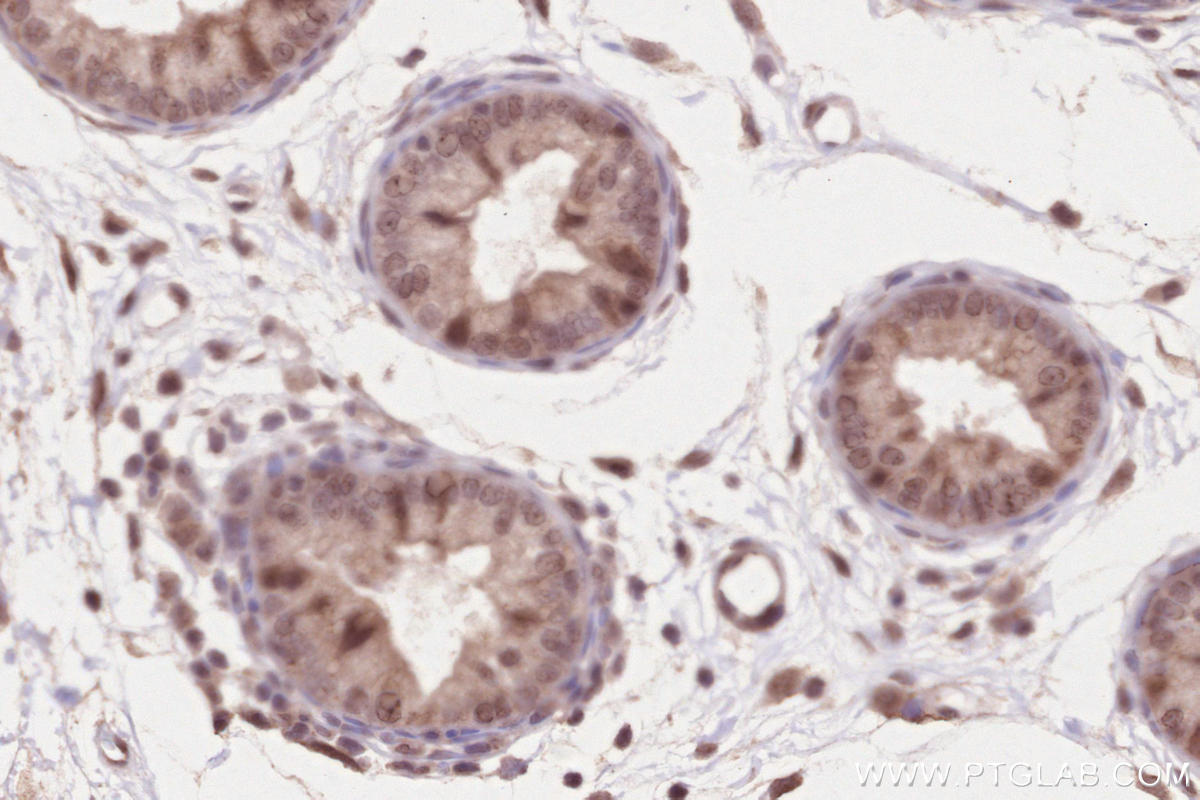
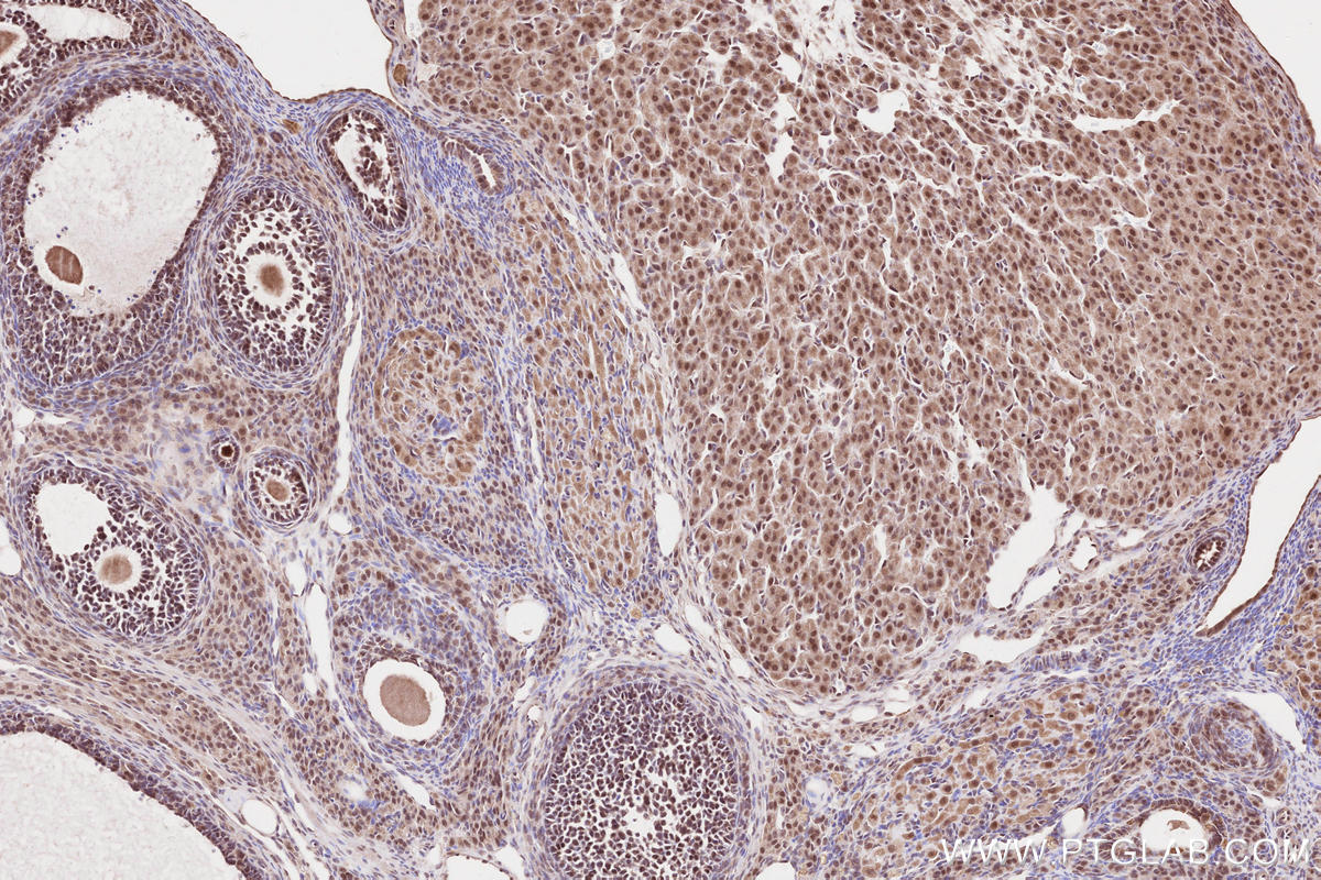
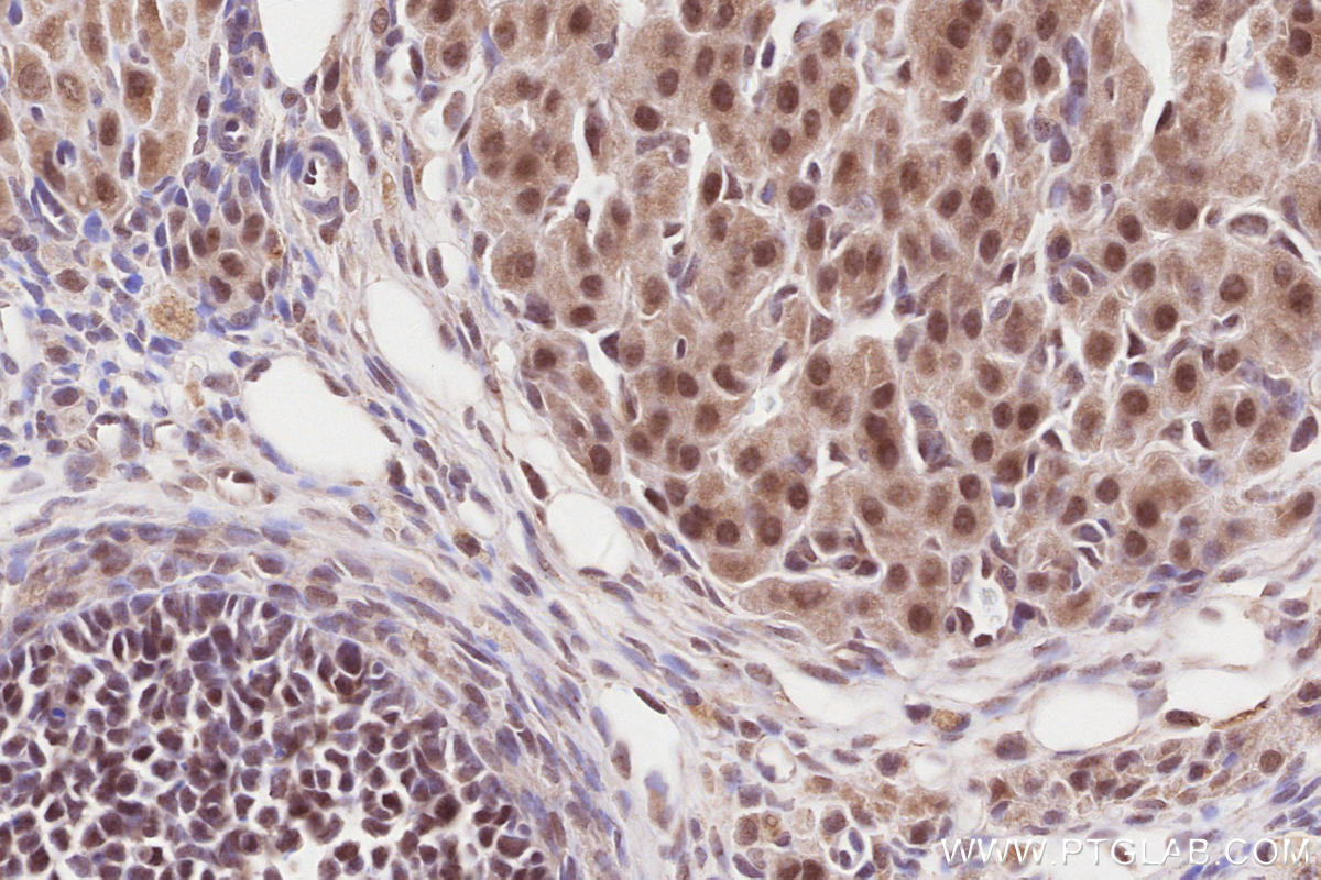
| Positive IHC detected in | mouse testis tissue, mouse ovary tissue, rat epididymis tissue, rat ovary tissue, rat testis tissue Note: suggested antigen retrieval with TE buffer pH 9.0; (*) Alternatively, antigen retrieval may be performed with citrate buffer pH 6.0 |
推荐稀释比
| 应用 | 推荐稀释比 |
|---|---|
| Western Blot (WB) | WB : 1:500-1:2000 |
| Immunohistochemistry (IHC) | IHC : 1:50-1:500 |
| It is recommended that this reagent should be titrated in each testing system to obtain optimal results. | |
| Sample-dependent, Check data in validation data gallery. | |
发表文章中的应用
| WB | See 8 publications below |
| IF | See 4 publications below |
产品信息
22587-1-AP targets WBP2NL in WB, IHC, IF, ELISA applications and shows reactivity with human, mouse, rat samples.
| 经测试应用 | WB, IHC, ELISA Application Description |
| 文献引用应用 | WB, IF |
| 经测试反应性 | human, mouse, rat |
| 文献引用反应性 | human, mouse |
| 免疫原 |
CatNo: Ag18347 Product name: Recombinant human WBP2NL protein Source: e coli.-derived, PET28a Tag: 6*His Domain: 1-309 aa of BC022546 Sequence: MAVNQSHTENRRGALIPNGESLLKRSPNVELSFPQRSEGSNVFSGRKTGTLFLTSYRVIFITSCSISDPMLSFMMPFDLMTNLTVEQPVFAANFIKGTIQAAPYGGWEGQATFKLVFRNGGAIEFAQLMVKAASAAARGFPLRTLNDWFSSMGIYVITGEGNMCTPQMPCSVIVYGAPPAGYGAPPPGYGAPPAGYGAQPVGNEGPPVGYRASPVRYGAPPLGYGAPPAGYGAPPLGYGAPPLGYGTPPLGYGAPPLGYGAPPAGNEGPPAGYRASPAGSGARPHESTAAQAPENEASLPSASSSQVHS 种属同源性预测 |
| 宿主/亚型 | Rabbit / IgG |
| 抗体类别 | Polyclonal |
| 产品类型 | Antibody |
| 全称 | WBP2 N-terminal like |
| 别名 | PAWP, Postacrosomal sheath WW domain-binding protein, WW domain-binding protein 2-like |
| 计算分子量 | 309 aa, 32 kDa |
| 观测分子量 | 32 kDa |
| GenBank蛋白编号 | BC022546 |
| 基因名称 | WBP2NL |
| Gene ID (NCBI) | 164684 |
| RRID | AB_2879128 |
| 偶联类型 | Unconjugated |
| 形式 | Liquid |
| 纯化方式 | Antigen affinity purification |
| UNIPROT ID | Q6ICG8 |
| 储存缓冲液 | PBS with 0.02% sodium azide and 50% glycerol, pH 7.3. |
| 储存条件 | Store at -20°C. Stable for one year after shipment. Aliquoting is unnecessary for -20oC storage. |
背景介绍
WBP2NL, also known as PAWP, is a protein found in the post-acrosomal region of mammalian spermatozoa. It was initially proposed as a sperm-borne oocyte-activating factor (SOAF) that triggers calcium oscillations essential for oocyte activation and embryo development. However, recent studies have shown mixed results regarding its role in fertilization. While some investigations suggest that PAWP can induce oocyte activation, others indicate that it may not be sufficient to compensate for the absence of other critical factors like PLCZ1. Additionally, altered WBP2NL expression has been observed in breast cancer tissues, hinting at its potential involvement in oncogenic regulation. (PMID: 24907910, PMID: 25417742, PMID: 28663133)
实验方案
| Product Specific Protocols | |
|---|---|
| IHC protocol for WBP2NL antibody 22587-1-AP | Download protocol |
| WB protocol for WBP2NL antibody 22587-1-AP | Download protocol |
| Standard Protocols | |
|---|---|
| Click here to view our Standard Protocols |
发表文章
| Species | Application | Title |
|---|---|---|
Hum Mol Genet Homozygous mutation of PLCZ1 leads to defective human oocyte activation and infertility that is not rescued by the WW binding protein PAWP. | ||
Int J Mol Sci Comprehensive Flow-Cytometric Quality Assessment of Ram Sperm Intended for Gene Banking Using Standard and Novel Fertility Biomarkers. | ||
Development PLCζ is the physiological trigger of the Ca(2+) oscillations that induce embryogenesis in mammals but offspring can be conceived in its absence. | ||
Mol Hum Reprod Functional disparity between human PAWP and PLCζ in the generation of Ca2+ oscillations for oocyte activation. | ||
Mol Hum Reprod Antigen unmasking enhances visualization efficacy of the oocyte activation factor, phospholipase C zeta, in mammalian sperm. |











