验证数据展示
经过测试的应用
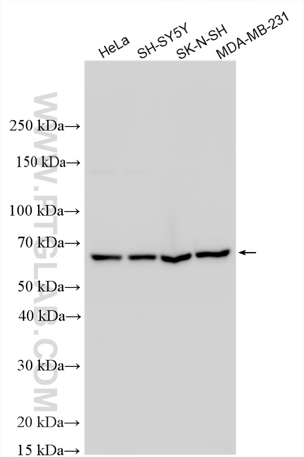
| Positive WB detected in | HeLa cells, MDA-MB-231 cells, SH-SY5Y cells, SK-N-SH cells, mouse brain tissue, rat brain tissue |
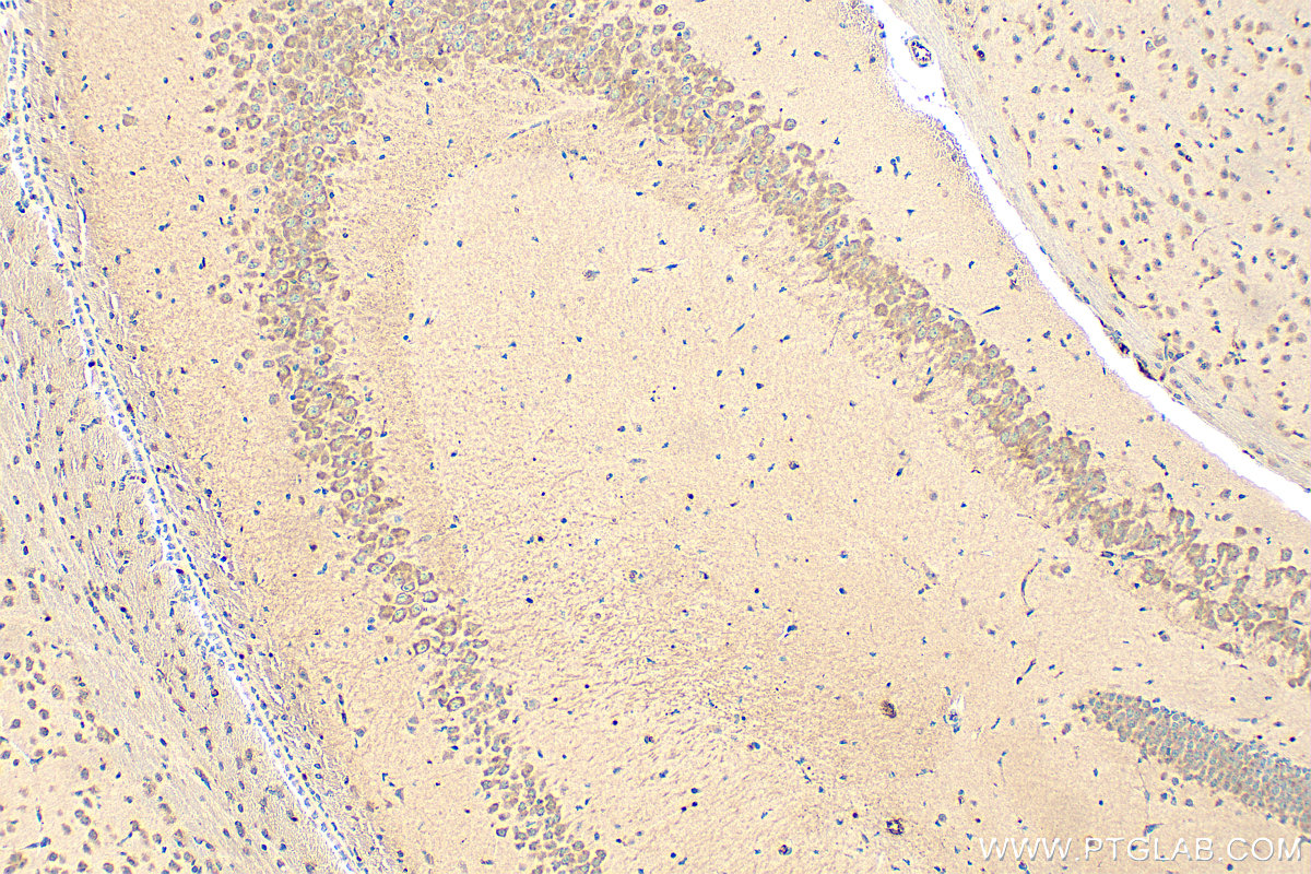
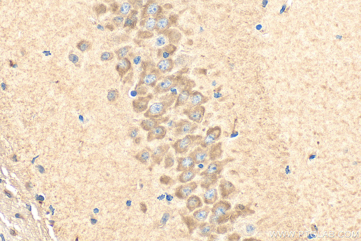
| Positive IHC detected in | mouse brain tissue Note: suggested antigen retrieval with TE buffer pH 9.0; (*) Alternatively, antigen retrieval may be performed with citrate buffer pH 6.0 |
| Positive IF/ICC detected in | HepG2 cells |
推荐稀释比
| 应用 | 推荐稀释比 |
|---|---|
| Western Blot (WB) | WB : 1:1000-1:8000 |
| Immunohistochemistry (IHC) | IHC : 1:50-1:500 |
| Immunofluorescence (IF)/ICC | IF/ICC : 1:50-1:500 |
| It is recommended that this reagent should be titrated in each testing system to obtain optimal results. | |
| Sample-dependent, Check data in validation data gallery. | |
产品信息
14306-1-AP targets WASL in WB, IHC, IF/ICC, CoIP, ELISA applications and shows reactivity with human, mouse, rat samples.
| 经测试应用 | WB, IHC, IF/ICC, ELISA Application Description |
| 文献引用应用 | WB, IHC, IF, CoIP |
| 经测试反应性 | human, mouse, rat |
| 文献引用反应性 | human, mouse |
| 免疫原 |
CatNo: Ag5424 Product name: Recombinant human WASL protein Source: e coli.-derived, PET28a Tag: 6*His Domain: 1-350 aa of BC052955 Sequence: MSSVQQQPPPPRRVTNVGSLLLTPQENESLFTFLGKKCVTMSSAVVQLYAADRNCMWSKKCSGVACLVKDNPQRSYFLRIFDIKDGKLLWEQELYNNFVYNSPRGYFHTFAGDTCQVALNFANEEEAKKFRKAVTDLLGRRQRKSEKRRDPPNGPNLPMATVDIKNPEITTNRFYGPQVNNISHTKEKKKGKAKKKRLTKADIGTPSNFQHIGHVGWDPNTGFDLNNLDPELKNLFDMCGISEAQLKDRETSKVIYDFIEKTGGVEAVKNELRRQAPPPPPPSRGGPPPPPPPPHNSGPPPPPARGRGAPPPPPSRAPTAAPPPPPPSRPSVAVPPPPPNRMYPPPPPAL 种属同源性预测 |
| 宿主/亚型 | Rabbit / IgG |
| 抗体类别 | Polyclonal |
| 产品类型 | Antibody |
| 全称 | Wiskott-Aldrich syndrome-like |
| 别名 | Actin nucleation-promoting factor WASL, N WASP, Neural Wiskott-Aldrich syndrome protein, NWASP, N-WASP |
| 计算分子量 | 55 kDa |
| 观测分子量 | 55-65 kDa |
| GenBank蛋白编号 | BC052955 |
| 基因名称 | WASL |
| Gene ID (NCBI) | 8976 |
| RRID | AB_10638478 |
| 偶联类型 | Unconjugated |
| 形式 | Liquid |
| 纯化方式 | Antigen affinity purification |
| UNIPROT ID | O00401 |
| 储存缓冲液 | PBS with 0.02% sodium azide and 50% glycerol, pH 7.3. |
| 储存条件 | Store at -20°C. Stable for one year after shipment. Aliquoting is unnecessary for -20oC storage. |
背景介绍
WASL, also known as N-WASP, is a member of the Wiskott-Aldrich syndrome (WAS) protein family. The feature that defines all WASP family proteins is their conserved C-terminal WCA (WASP homology 2 (WH2)) sequence. WASL regulates actin polymerization by stimulating the actin-nucleating activity of the Arp2/3 complex. WASL is highly expressed in neural tissues and interacts with several proteins involved in cytoskeletal organization(PMID: 35667337).
实验方案
| Product Specific Protocols | |
|---|---|
| IF protocol for WASL antibody 14306-1-AP | Download protocol |
| IHC protocol for WASL antibody 14306-1-AP | Download protocol |
| WB protocol for WASL antibody 14306-1-AP | Download protocol |
| Standard Protocols | |
|---|---|
| Click here to view our Standard Protocols |
发表文章
| Species | Application | Title |
|---|---|---|
Front Immunol FLI1 Induces Megakaryopoiesis Gene Expression Through WAS/WIP-Dependent and Independent Mechanisms; Implications for Wiskott-Aldrich Syndrome. | ||
J Dermatol Sci Negative pressure accelerated monolayer keratinocyte healing involves Cdc42 mediated cell podia formation. | ||
Noncoding RNA Res ADAR1-regulated miR-142-3p/RIG-I axis suppresses antitumor immunity in nasopharyngeal carcinoma | ||
Front Cell Dev Biol Reduced Wiskott-Aldrich syndrome protein expression in preeclampsia placenta impairs trophoblast syncytialization by modulating syncytin-2 via FAK/β-catenin pathway. |





