WB Figures
WB analysis using 60330-1-Ig (same clone as 60330-1-PBS)
Various lysates were subjected to SDS PAGE followed by western blot with 60330-1-Ig (Vimentin antibody) at dilution of 1:50000 incubated at room temperature for 1.5 hours. The membrane was stripped and reblotted with HRP-conjugated Beta Actin Monoclonal antibody (HRP-66009) as loading control. This data was developed using the same antibody clone with 60330-1-PBS in a different storage buffer formulation.
WB analysis of Jurkat cells using 60330-1-Ig (same clone as 60330-1-PBS)
WB result of Vimentin antibody (60330-1-Ig, 1:4000) with si-Control and si-Vimentin transfected Jurkat cells. This data was developed using the same antibody clone with 60330-1-PBS in a different storage buffer formulation.
WB analysis of NIH/3T3 using 60330-1-Ig (same clone as 60330-1-PBS)
NIH/3T3 cells were subjected to SDS PAGE followed by western blot with 60330-1-Ig (Vimentin antibody) at dilution of 1:50000 incubated at room temperature for 1.5 hours. This data was developed using the same antibody clone with 60330-1-PBS in a different storage buffer formulation.
WB analysis of ROS1728 using 60330-1-Ig (same clone as 60330-1-PBS)
ROS1728 cells were subjected to SDS PAGE followed by western blot with 60330-1-Ig (Vimentin Antibody) at dilution of 1:20000 incubated at room temperature for 1.5 hours. This data was developed using the same antibody clone with 60330-1-PBS in a different storage buffer formulation.
IHC staining of human appendicitis using 60330-1-Ig (same clone as 60330-1-PBS)
Immunohistochemical analysis of paraffin-embedded human appendicitis tissue slide using 60330-1-Ig (Vimentin antibody) at dilution of 1:8000 (under 10x lens). Heat mediated antigen retrieval with Tris-EDTA buffer (pH 9.0). This data was developed using the same antibody clone with 60330-1-PBS in a different storage buffer formulation.
IHC staining of human appendicitis using 60330-1-Ig (same clone as 60330-1-PBS)
Immunohistochemical analysis of paraffin-embedded human appendicitis tissue slide using 60330-1-Ig (Vimentin antibody) at dilution of 1:8000 (under 40x lens). Heat mediated antigen retrieval with Tris-EDTA buffer (pH 9.0). This data was developed using the same antibody clone with 60330-1-PBS in a different storage buffer formulation.
IHC staining of human breast cancer using 60330-1-Ig (same clone as 60330-1-PBS)
Immunohistochemical analysis of paraffin-embedded human breast cancer tissue slide using 60330-1-Ig (Vimentin antibody) at dilution of 1:8000 (under 10x lens). Heat mediated antigen retrieval with Tris-EDTA buffer (pH 9.0). This data was developed using the same antibody clone with 60330-1-PBS in a different storage buffer formulation.
IHC staining of human breast cancer using 60330-1-Ig (same clone as 60330-1-PBS)
Immunohistochemical analysis of paraffin-embedded human breast cancer tissue slide using 60330-1-Ig (Vimentin antibody) at dilution of 1:8000 (under 10x lens. Heat mediated antigen retrieval with Tris-EDTA buffer (pH 9.0). This data was developed using the same antibody clone with 60330-1-PBS in a different storage buffer formulation.
IHC staining of human colon using 60330-1-Ig (same clone as 60330-1-PBS)
Immunohistochemical analysis of paraffin-embedded human colon tissue slide using 60330-1-Ig (Vimentin antibody) at dilution of 1:102400 (under 10x lens. Heat mediated antigen retrieval with Tris-EDTA buffer (pH 9.0). This data was developed using the same antibody clone with 60330-1-PBS in a different storage buffer formulation.
IHC staining of human endometrial cancer using 60330-1-Ig (same clone as 60330-1-PBS)
Immunohistochemical analysis of paraffin-embedded human endometrial cancer tissue slide using 60330-1-Ig (Vimentin antibody) at dilution of 1:5000 (under 10x lens). Heat mediated antigen retrieval with Tris-EDTA buffer (pH 9.0). This data was developed using the same antibody clone with 60330-1-PBS in a different storage buffer formulation.
IHC staining of human liver cancer using 60330-1-Ig (same clone as 60330-1-PBS)
Immunohistochemical analysis of paraffin-embedded human liver cancer tissue slide using 60330-1-Ig (Vimentin antibody) at dilution of 1:6400 (under 10x lens. Heat mediated antigen retrieval with Tris-EDTA buffer (pH 9.0). This data was developed using the same antibody clone with 60330-1-PBS in a different storage buffer formulation.
IHC staining of human liver cancer using 60330-1-Ig (same clone as 60330-1-PBS)
Immunohistochemical analysis of paraffin-embedded human liver cancer tissue slide using 60330-1-Ig (Vimentin antibody) at dilution of 1:6400 (under 40x lens. Heat mediated antigen retrieval with Tris-EDTA buffer (pH 9.0). This data was developed using the same antibody clone with 60330-1-PBS in a different storage buffer formulation.
IHC staining of human ovary tumor using 60330-1-Ig (same clone as 60330-1-PBS)
Immunohistochemical analysis of paraffin-embedded human ovary tumor tissue slide using 60330-1-Ig (Vimentin antibody) at dilution of 1:5000 (under 10x lens). Heat mediated antigen retrieval with Tris-EDTA buffer (pH 9.0). This data was developed using the same antibody clone with 60330-1-PBS in a different storage buffer formulation.
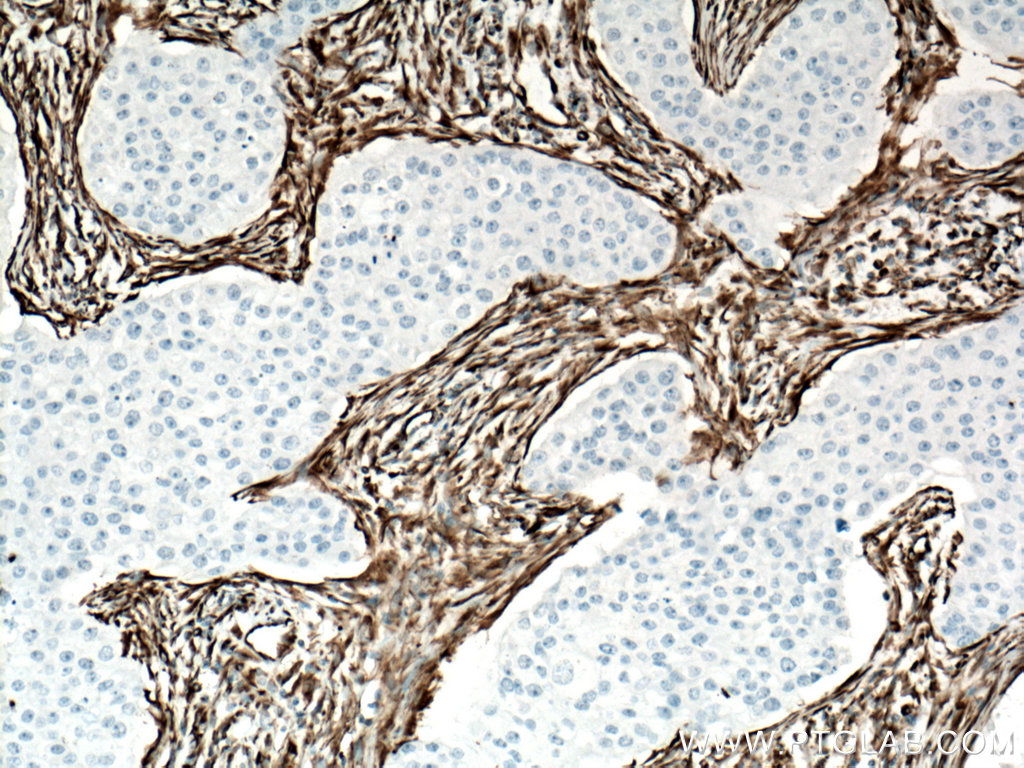
IHC staining of human pancreas using 60330-1-Ig (same clone as 60330-1-PBS)
Immunohistochemical analysis of paraffin-embedded human pancreas tissue slide using 60330-1-Ig (Vimentin antibody) at dilution of 1:6400 (under 10x lens. Heat mediated antigen retrieval with Tris-EDTA buffer (pH 9.0). This data was developed using the same antibody clone with 60330-1-PBS in a different storage buffer formulation.
IHC staining of human pancreas using 60330-1-Ig (same clone as 60330-1-PBS)
Immunohistochemical analysis of paraffin-embedded human pancreas tissue slide using 60330-1-Ig (Vimentin antibody) at dilution of 1:6400 (under 40x lens. Heat mediated antigen retrieval with Tris-EDTA buffer (pH 9.0). This data was developed using the same antibody clone with 60330-1-PBS in a different storage buffer formulation.
IHC staining of human renal cell carcinoma using 60330-1-Ig (same clone as 60330-1-PBS)
Immunohistochemical analysis of paraffin-embedded human renal cell carcinoma tissue slide using 60330-1-Ig (Vimentin Antibody) at dilution of 1:500 (under 10x lens). Heat mediated antigen retrieval with Tris-EDTA buffer (pH 9.0). This data was developed using the same antibody clone with 60330-1-PBS in a different storage buffer formulation.
IHC staining of human renal cell carcinoma using 60330-1-Ig (same clone as 60330-1-PBS)
Immunohistochemical analysis of paraffin-embedded human renal cell carcinoma tissue slide using 60330-1-Ig (Vimentin Antibody) at dilution of 1:500 (under 40x lens). Heat mediated antigen retrieval with Tris-EDTA buffer (pH 9.0). This data was developed using the same antibody clone with 60330-1-PBS in a different storage buffer formulation.
IHC staining of human tonsillitis using 60330-1-Ig (same clone as 60330-1-PBS)
Immunohistochemical analysis of paraffin-embedded human tonsillitis tissue slide using 60330-1-Ig (Vimentin antibody) at dilution of 1:8000 (under 10x lens). Heat mediated antigen retrieval with Tris-EDTA buffer (pH 9.0). This data was developed using the same antibody clone with 60330-1-PBS in a different storage buffer formulation.
IF-P Figures
IF Staining of mouse brain using 60330-1-Ig (same clone as 60330-1-PBS)
Immunofluorescent analysis of (4% PFA) fixed paraffin-embedded mouse brain tissue using Vimentin antibody (60330-1-Ig, Clone: 3H9D1 ) at dilution of 1:800 and CoraLite®488-Conjugated Goat Anti-Mouse IgG(H+L) (SA00013-1). Heat mediated antigen retrieval with Tris-EDTA buffer (pH 9.0). This data was developed using the same antibody clone with 60330-1-PBS in a different storage buffer formulation.
IF Staining of mouse brain using 60330-1-Ig (same clone as 60330-1-PBS)
Immunofluorescent analysis of (4% PFA) fixed paraffin-embedded mouse brain tissue using Vimentin antibody (60330-1-Ig, Clone: 3H9D1 ) at dilution of 1:800 and CoraLite®488-Conjugated Goat Anti-Mouse IgG(H+L) (SA00013-1). Heat mediated antigen retrieval with Tris-EDTA buffer (pH 9.0). This data was developed using the same antibody clone with 60330-1-PBS in a different storage buffer formulation.
IF/ICC Figures
IF Staining of HepG2 using 60330-1-Ig (same clone as 60330-1-PBS)
Immunofluorescent analysis of (-20°C Ethanol) fixed HepG2 cells using 60330-1-Ig (Vimentin antibody) at dilution of 1:100 and Alexa Fluor 488-Conjugated AffiniPure Goat Anti-Mouse IgG(H+L). This data was developed using the same antibody clone with 60330-1-PBS in a different storage buffer formulation.
IF Staining of HUVEC using 60330-1-Ig (same clone as 60330-1-PBS)
Immunofluorescent analysis of (-20°C Methanol) fixed HUVEC cells using Vimentin antibody (60330-1-Ig, Clone: 3H9D1 ) at dilution of 1:1000 and CoraLite®488-Conjugated AffiniPure Goat Anti-Mouse IgG(H+L). This data was developed using the same antibody clone with 60330-1-PBS in a different storage buffer formulation.
CYTOMETRIC BEAD ARRAY Figures
Cytometric bead array standard curve of MP50158-1
Cytometric bead array standard curve of MP50158-1, Vimentin Monoclonal Matched Antibody Pair, PBS Only. Capture antibody: 60330-2-PBS. Detection antibody: 60330-1-PBS. Standard:Ag0489. Range: 3.125-100 ng/mL.