验证数据展示
经过测试的应用
| Positive WB detected in | mouse brain tissue, rat brain tissue |
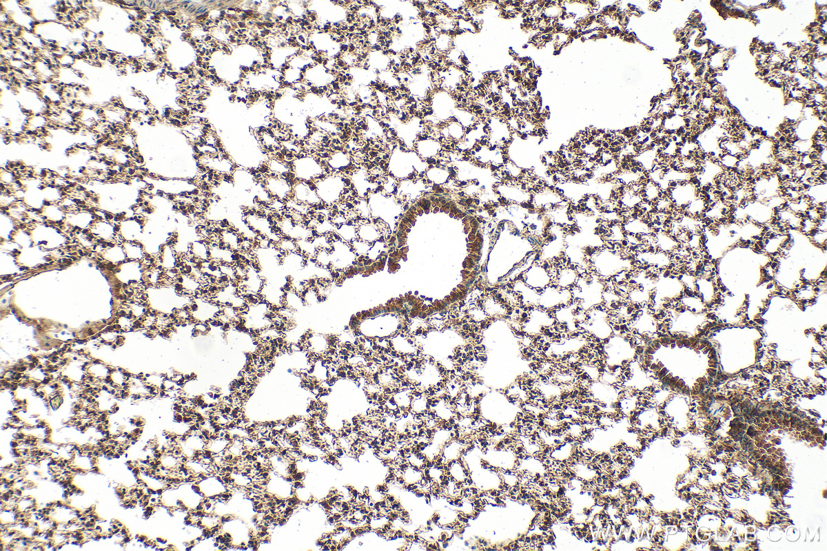
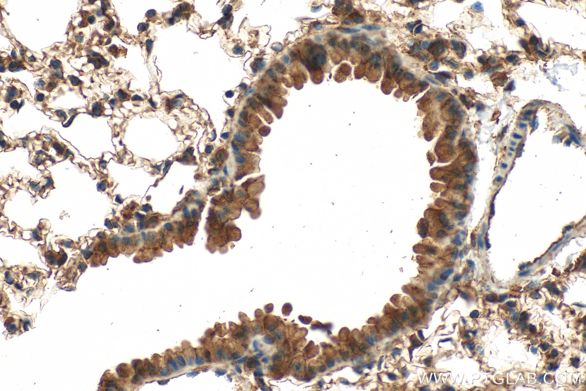
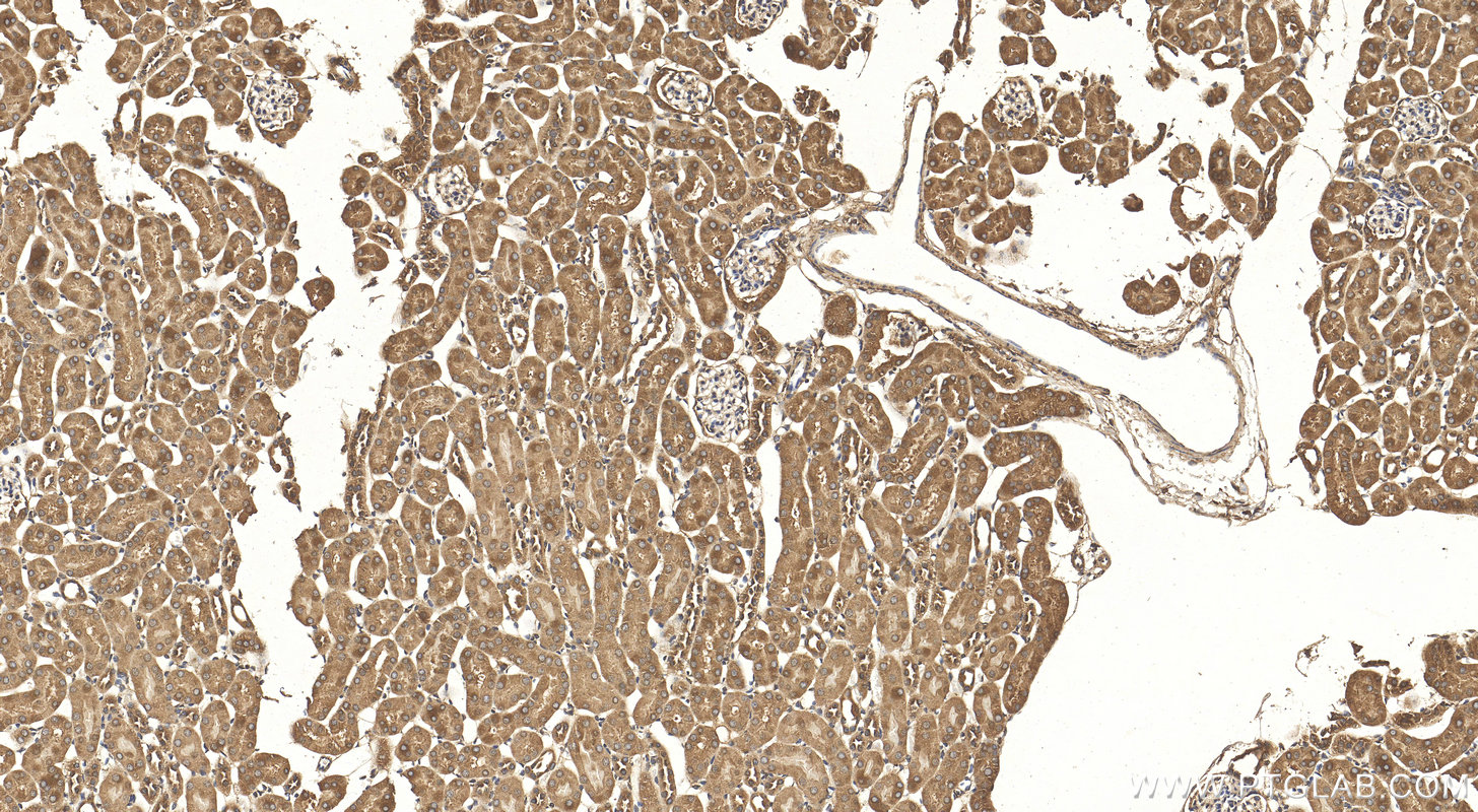
| Positive IHC detected in | mouse lung tissue, mouse kidney tissue Note: suggested antigen retrieval with TE buffer pH 9.0; (*) Alternatively, antigen retrieval may be performed with citrate buffer pH 6.0 |
推荐稀释比
| 应用 | 推荐稀释比 |
|---|---|
| Western Blot (WB) | WB : 1:500-1:3000 |
| Immunohistochemistry (IHC) | IHC : 1:50-1:500 |
| It is recommended that this reagent should be titrated in each testing system to obtain optimal results. | |
| Sample-dependent, Check data in validation data gallery. | |
产品信息
26157-1-AP targets VEGFA in WB, IHC, IF, ELISA applications and shows reactivity with mouse, rat samples.
| 经测试应用 | WB, IHC, ELISA Application Description |
| 文献引用应用 | WB, IHC, IF |
| 经测试反应性 | mouse, rat |
| 文献引用反应性 | human, mouse, rat, monkey |
| 免疫原 |
CatNo: Ag24084 Product name: Recombinant mouse Vegfa protein Source: e coli.-derived, PET28a Tag: 6*His Domain: 27-214 aa of NM_001287056 Sequence: APTTEGEQKSHEVIKFMDVYQRSYCRPIETLVDIFQEYPDEIEYIFKPSCVPLMRCAGCCNDEALECVPTSESNITMQIMRIKPHQSQHIGEMSFLQHSRCECRPKKDRTKPEKKSVRGKGKGQKRKRKKSRFKSWSVHCEPCSERRKHLFVQDPQTCKCSCKNTDSRCKARQLELNERTCRCDKPRR 种属同源性预测 |
| 宿主/亚型 | Rabbit / IgG |
| 抗体类别 | Polyclonal |
| 产品类型 | Antibody |
| 全称 | vascular endothelial growth factor A |
| 别名 | L-VEGF , N-VEGF, Vascular Endothelial Growth Factor, vascular endothelial growth factor A, Vascular endothelial growth factor A, long form |
| 观测分子量 | 45 kDa |
| GenBank蛋白编号 | NM_001287056 |
| 基因名称 | Vegfa |
| Gene ID (NCBI) | 22339 |
| RRID | AB_2880408 |
| 偶联类型 | Unconjugated |
| 形式 | Liquid |
| 纯化方式 | Antigen affinity purification |
| UNIPROT ID | Q00731 |
| 储存缓冲液 | PBS with 0.02% sodium azide and 50% glycerol, pH 7.3. |
| 储存条件 | Store at -20°C. Stable for one year after shipment. Aliquoting is unnecessary for -20oC storage. |
背景介绍
Vegfa is a member of the PDGF/VEGF growth factor family. It is a mitogen that specifically acts on endothelial cells and has various effects, including mediating increased vascular permeability, inducing angiogenesis, vasculogenesis, endothelial cell growth, promoting cell migration, and inhibiting apoptosis.It binds to the FLT1/VEGFR1 and KDR/VEGFR2 receptors, heparan sulfate and heparin. It may play a role in increasing vascular permeability during lactation, when increased transport of molecules from the blood is required for efficient milk protein synthesis.
实验方案
| Product Specific Protocols | |
|---|---|
| IHC protocol for VEGFA antibody 26157-1-AP | Download protocol |
| WB protocol for VEGFA antibody 26157-1-AP | Download protocol |
| Standard Protocols | |
|---|---|
| Click here to view our Standard Protocols |
发表文章
| Species | Application | Title |
|---|---|---|
Carbohydr Polym Carboxymethyl chitosan and sodium alginate oxide pH-sensitive dual-release hydrogel for diabetes wound healing: The combination of astilbin liposomes and diclofenac sodium | ||
Respir Res The role of RNA m6A methylation in the regulation of postnatal hypoxia-induced pulmonary hypertension. | ||
Aging (Albany NY) Transplanting Rac1-silenced bone marrow mesenchymal stem cells promote neurological function recovery in TBI mice. | ||
Cell Biol Int Involvement of HIF1 stabilization and VEGF signaling modulated by Grx-1 in murine model of bronchopulmonary dysplasia | ||
Cancer Biol Ther RSK4 promotes the metastasis of clear cell renal cell carcinoma by activating RUNX1-mediated angiogenesis | ||
Neuroscience Electroacupuncture ameliorates cognitive impairment and white matter injury in vascular dementia rats via activating HIF-1α/VEGF/VEGFR2 pathway |





