验证数据展示
经过测试的应用
| Positive WB detected in | T-47D cells |
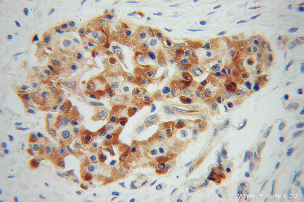
| Positive IHC detected in | human pancreas cancer tissue Note: suggested antigen retrieval with TE buffer pH 9.0; (*) Alternatively, antigen retrieval may be performed with citrate buffer pH 6.0 |
推荐稀释比
| 应用 | 推荐稀释比 |
|---|---|
| Western Blot (WB) | WB : 1:500-1:1000 |
| Immunohistochemistry (IHC) | IHC : 1:50-1:500 |
| It is recommended that this reagent should be titrated in each testing system to obtain optimal results. | |
| Sample-dependent, Check data in validation data gallery. | |
发表文章中的应用
| WB | See 1 publications below |
| IHC | See 1 publications below |
产品信息
14322-1-AP targets VWA1 in WB, IHC, ELISA applications and shows reactivity with human samples.
| 经测试应用 | WB, IHC, ELISA Application Description |
| 文献引用应用 | WB, IHC |
| 经测试反应性 | human |
| 文献引用反应性 | human |
| 免疫原 |
CatNo: Ag5565 Product name: Recombinant human VWA1 protein Source: e coli.-derived, PGEX-4T Tag: GST Domain: 1-445 aa of BC059409 Sequence: MLPWTALGLALSLRLALARSGAERGPPASAPRGDLMFLLDSSASVSHYEFSRVREFVGQLVAPLPLGTGALRASLVHVGSRPYTEFPFGQHSSGEAAQDAVRASAQRMGDTHTGLALVYAKEQLFAEASGARPGVPKVLVWVTDGGSSDPVGPPMQELKDLGVTVFIVSTGRGNFLELSAAASAPAEKHLHFVDVDDLHIIVQELRGSILDAMRPQQLHATEITSSGFRLAWPPLLTADSGYYVLELVPSAQPGAARRQQLPGNATDWIWAGLDPDTDYDVALVPESNVRLLRPQILRVRTRPGEAGPGASGPESGAGPAPTQLAALPAPEEAGPERIVISHARPRSLRVSWAPALGSAAALGYHVQFGPLRGGEAQRVEVPAGRNCTTLQGLAPGTAYLVTVTAAFRSGRESALSAKACTPDGPRPRPRPVPRAPTPGTASREP 种属同源性预测 |
| 宿主/亚型 | Rabbit / IgG |
| 抗体类别 | Polyclonal |
| 产品类型 | Antibody |
| 全称 | von Willebrand factor A domain containing 1 |
| 别名 | VWA 1, VWA1, WARP |
| 计算分子量 | 47 kDa |
| 观测分子量 | 48 kDa |
| GenBank蛋白编号 | BC059409 |
| 基因名称 | VWA1 |
| Gene ID (NCBI) | 64856 |
| RRID | AB_2241694 |
| 偶联类型 | Unconjugated |
| 形式 | Liquid |
| 纯化方式 | Antigen affinity purification |
| UNIPROT ID | Q6PCB0 |
| 储存缓冲液 | PBS with 0.02% sodium azide and 50% glycerol, pH 7.3. |
| 储存条件 | Store at -20°C. Stable for one year after shipment. Aliquoting is unnecessary for -20oC storage. |
背景介绍
VWA1 (also known as WARP) is a member of the von Willebrand factor A-domain (VA-domain) superfamily of extracellular matrix proteins which may play a role in cartilage structure and function (PMID: 12062410). VWA1 is a multimeric component of the chondrocyte pericellular matrix in articular cartilage and intervertebral disc, where it interacts with the basement membrane heparan sulfate proteoglycan perlecan (PMID: 18314316). VWA1 may have a role in maintaining the blood-brain barrier.
实验方案
| Product Specific Protocols | |
|---|---|
| IHC protocol for VWA1 antibody 14322-1-AP | Download protocol |
| WB protocol for VWA1 antibody 14322-1-AP | Download protocol |
| Standard Protocols | |
|---|---|
| Click here to view our Standard Protocols |
发表文章
| Species | Application | Title |
|---|---|---|
Theranostics Survey of the translation shifts in hepatocellular carcinoma with ribosome profiling. | ||
Nat Commun Single-cell atlas of human pancreatic islet and acinar endothelial cells in health and diabetes |




