验证数据展示
产品信息
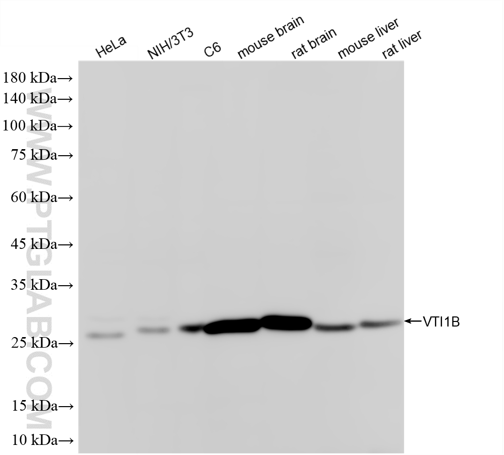
87150-1-PBS targets VTI1B in WB, IP, Indirect ELISA applications and shows reactivity with human, mouse, rat samples.
| 经测试应用 | WB, IP, Indirect ELISA Application Description |
| 经测试反应性 | human, mouse, rat |
| 免疫原 |
CatNo: Ag5906 Product name: Recombinant human VTI1B protein Source: e coli.-derived, PET28a Tag: 6*His Domain: 13-232 aa of BC003142 Sequence: KLHEIFRGLHEDLQGVPERLLGTAGTEEKKKLIRDFDEKQQEANETLAEMEEELRYAPLSFRNPMMSKLRNYRKDLAKLHREVRSTPLTATPGGRGDMKYGIYAVENEHMNRLQSQRAMLLQGTESLNRATQSIERSHRIATETDQIGSEIIEELGEQRDQLERTKSRLVNTSENLSKSRKILRSMSRKVTTNKLLLSIIILLELAILGGLVYYKFFRSH 种属同源性预测 |
| 宿主/亚型 | Rabbit / IgG |
| 抗体类别 | Recombinant |
| 产品类型 | Antibody |
| 全称 | vesicle transport through interaction with t-SNAREs homolog 1B (yeast) |
| 别名 | Vesicle transport through interaction with t-SNAREs homolog 1B, Vesicle transport v-SNARE protein Vti1-like 1, VTI1, VTI1 LIKE, Vti1 rp1 |
| 计算分子量 | 27 kDa |
| 观测分子量 | 29 kDa |
| GenBank蛋白编号 | BC003142 |
| 基因名称 | VTI1B |
| Gene ID (NCBI) | 10490 |
| 偶联类型 | Unconjugated |
| 形式 | Liquid |
| 纯化方式 | Protein A purification |
| UNIPROT ID | Q9UEU0 |
| 储存缓冲液 | PBS only, pH 7.3. |
| 储存条件 | Store at -80°C. The product is shipped with ice packs. Upon receipt, store it immediately at -80°C |
背景介绍
Fusion between membranes is mediated by specific SNARE (soluble N-ethylmaleimide-sensitive factor attachment protein receptor) complexes. Two human SNARE proteins, VTI1A and VTI1B, are homologous to the yeast Q-SNARE Vtilp, which is part of several SNARE complexes in different transport steps (PMID: 12067063). Both proteins had a distinct but overlapping localization. VTI1A is localized predominantly in the TGN, VTI1B in late endosomes (PMID:12067063; 21262811). VTI1B forms a SNARE complex with STX7, STX8, and VAMP8, which functions in the homotypic fusion of late endosomes. It is a component of the SNARE complex composed of STX7, STX8, VAMP7, and VIT1B that is required for heterotypic fusion of late endosomes with lysosomes. It has also been reported that VIT1B interacts with EpsinR, a protein involved in exocytic trafficking (PMID: 15371541).

