验证数据展示
经过测试的应用
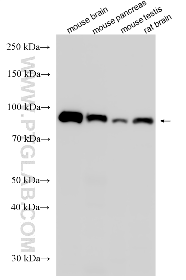
| Positive WB detected in | mouse brain tissue, human brain tissue, mouse pancreas tissue, mouse testis tissue, rat brain tissue |
| Positive IP detected in | mouse brain tissue |
推荐稀释比
| 应用 | 推荐稀释比 |
|---|---|
| Western Blot (WB) | WB : 1:500-1:2000 |
| Immunoprecipitation (IP) | IP : 0.5-4.0 ug for 1.0-3.0 mg of total protein lysate |
| It is recommended that this reagent should be titrated in each testing system to obtain optimal results. | |
| Sample-dependent, Check data in validation data gallery. | |
发表文章中的应用
| KD/KO | See 1 publications below |
| WB | See 3 publications below |
产品信息
13327-1-AP targets VPS54 in WB, IP, ELISA applications and shows reactivity with human, mouse, rat samples.
| 经测试应用 | WB, IP, ELISA Application Description |
| 文献引用应用 | WB |
| 经测试反应性 | human, mouse, rat |
| 文献引用反应性 | human, mouse |
| 免疫原 |
CatNo: Ag4123 Product name: Recombinant human VPS54 protein Source: e coli.-derived, PGEX-4T Tag: GST Domain: 746-965 aa of BC030275 Sequence: CVDNIPSVTTDMLTRLSDLLKYFNSRSCQLVLGAGALQVVGLKTITTKNLALSSRCLQLIVHYIPVIRAHFEARLPPKQYSMLRHFDHITKDYHDHIAEISAKLVAIMDSLFDKLLSKYEVKAPVPSACFRNICKQMTKMHEAIFDLLPEEQTQMLFLRINASYKLHLKKQLSHLNVINDGGPQNGLVTADVAFYTGNLQALKGLKDLDLNMAEIWEQKR 种属同源性预测 |
| 宿主/亚型 | Rabbit / IgG |
| 抗体类别 | Polyclonal |
| 产品类型 | Antibody |
| 全称 | vacuolar protein sorting 54 homolog (S. cerevisiae) |
| 别名 | HCC8, Hepatocellular carcinoma protein 8, Tumor antigen HOM-HCC-8, Tumor antigen SLP-8p, Vacuolar protein sorting-associated protein 54 |
| 计算分子量 | 977 aa, 111 kDa |
| 观测分子量 | 90-93kDa, 111 kDa |
| GenBank蛋白编号 | BC030275 |
| 基因名称 | VPS54 |
| Gene ID (NCBI) | 51542 |
| RRID | AB_2304414 |
| 偶联类型 | Unconjugated |
| 形式 | Liquid |
| 纯化方式 | Antigen affinity purification |
| UNIPROT ID | Q9P1Q0 |
| 储存缓冲液 | PBS with 0.02% sodium azide and 50% glycerol, pH 7.3. |
| 储存条件 | Store at -20°C. Stable for one year after shipment. Aliquoting is unnecessary for -20oC storage. |
背景介绍
VPS54 is a part of the Golgi-associated retrograde protein (GARP) complex protein required for tethering and fusion of endosome-derived transport vesicles to the trans-Golgi network. It may particpate in retrograde transport from early and late endosomes to the late Golgi. The GARP complex is required for the maintenance of the cycling of mannose 6-phosphate receptors between the TGN and endosomes, this cycling is necessary for proper lysosomal sorting of acid hydrolases such as CTSD.
实验方案
| Product Specific Protocols | |
|---|---|
| IP protocol for VPS54 antibody 13327-1-AP | Download protocol |
| WB protocol for VPS54 antibody 13327-1-AP | Download protocol |
| Standard Protocols | |
|---|---|
| Click here to view our Standard Protocols |
发表文章
| Species | Application | Title |
|---|---|---|
Cell Rep The GARP Complex Is Involved in Intracellular Cholesterol Transport via Targeting NPC2 to Lysosomes. | ||
J Biol Chem TDP-43 and FUS RNA-binding proteins bind distinct sets of cytoplasmic messenger RNAs and differently regulate their post-transcriptional fate in motoneuron-like cells. | ||
Cancer Res Commun Repurposing Itraconazole and Hydroxychloroquine to Target Lysosomal Homeostasis in Epithelial Ovarian Cancer
|




