验证数据展示
经过测试的应用
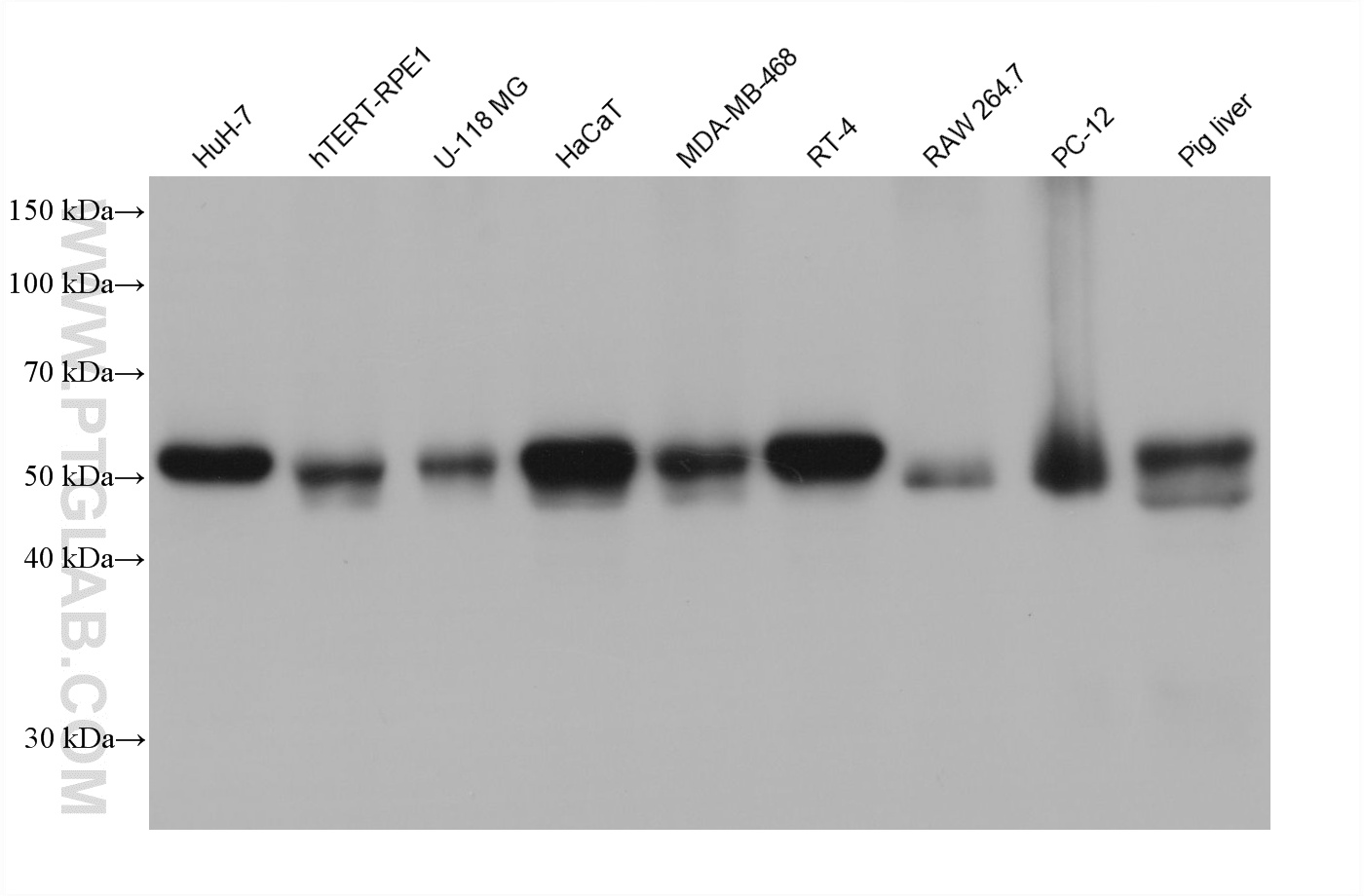
| Positive WB detected in | HuH-7 cells, hTERT-RPE1 cells, U-118 MG cells, HaCaT cells, MDA-MB-468 cells, RT-4 cells, RAW 264.7 cells, PC-12 cells, pig liver tissue |
| Positive IP detected in | HeLa cells |
| Positive IF/ICC detected in | HeLa cells |
推荐稀释比
| 应用 | 推荐稀释比 |
|---|---|
| Western Blot (WB) | WB : 1:5000-1:50000 |
| Immunoprecipitation (IP) | IP : 0.5-4.0 ug for 1.0-3.0 mg of total protein lysate |
| Immunofluorescence (IF)/ICC | IF/ICC : 1:500-1:2000 |
| It is recommended that this reagent should be titrated in each testing system to obtain optimal results. | |
| Sample-dependent, Check data in validation data gallery. | |
发表文章中的应用
| WB | See 1 publications below |
产品信息
68443-1-Ig targets VPS4B in WB, IF/ICC, IP, ELISA applications and shows reactivity with human, mouse, rat, pig samples.
| 经测试应用 | WB, IF/ICC, IP, ELISA Application Description |
| 文献引用应用 | WB |
| 经测试反应性 | human, mouse, rat, pig |
| 文献引用反应性 | human, mouse |
| 免疫原 |
CatNo: Ag11610 Product name: Recombinant human VPS4B protein Source: e coli.-derived, PET28a Tag: 6*His Domain: 1-444 aa of BC039574 Sequence: MSSTSPNLQKAIDLASKAAQEDKAGNYEEALQLYQHAVQYFLHVVKYEAQGDKAKQSIRAKCTEYLDRAEKLKEYLKNKEKKAQKPVKEGQPSPADEKGNDSDGEGESDDPEKKKLQNQLQGAIVIERPNVKWSDVAGLEGAKEALKEAVILPIKFPHLFTGKRTPWRGILLFGPPGTGKSYLAKAVATEANNSTFFSISSSDLVSKWLGESEKLVKNLFQLARENKPSIIFIDEIDSLCGSRSENESEAARRIKTEFLVQMQGVGVDNDGILVLGATNIPWVLDSAIRRRFEKRIYIPLPEPHARAAMFKLHLGTTQNSLTEADFRELGRKTDGYSGADISIIVRDALMQPVRKVQSATHFKKVRGPSRADPNHLVDDLLTPCSPGDPGAIEMTWMDVPGDKLLEPVVSMSDMLRSLSNTKPTVNEHDLLKLKKFTEDFGQEG 种属同源性预测 |
| 宿主/亚型 | Mouse / IgG1 |
| 抗体类别 | Monoclonal |
| 产品类型 | Antibody |
| 全称 | vacuolar protein sorting 4 homolog B (S. cerevisiae) |
| 别名 | VPS4A/B, 2H3G7, Cell migration-inducing gene 1 protein, EC:3.6.4.6, MIG1 |
| 计算分子量 | 444 aa, 49 kDa |
| 观测分子量 | ~50 kDa |
| GenBank蛋白编号 | BC039574 |
| 基因名称 | VPS4B |
| Gene ID (NCBI) | 9525 |
| RRID | AB_3085156 |
| 偶联类型 | Unconjugated |
| 形式 | Liquid |
| 纯化方式 | Protein G purification |
| UNIPROT ID | O75351 |
| 储存缓冲液 | PBS with 0.02% sodium azide and 50% glycerol, pH 7.3. |
| 储存条件 | Store at -20°C. Stable for one year after shipment. Aliquoting is unnecessary for -20oC storage. |
背景介绍
VPS4 (Vacuolar protein sorting-associated protein 4) is involved in intracellular protein trafficking, presumably at a late endosomal protein transport step. VPS4B is a ubiquitously expressed type I AAA+ (ATPases Associated with diverse cellular Activities) ATPase. It cooperates with its highly homologous paralog VPS4A (encoded by the VPS4A gene) to disassemble and release the Endosomal Sorting Complex Required for Transport (ESCRT) machinery. (PMID:31930723)
实验方案
| Product Specific Protocols | |
|---|---|
| IF protocol for VPS4B antibody 68443-1-Ig | Download protocol |
| IP protocol for VPS4B antibody 68443-1-Ig | Download protocol |
| WB protocol for VPS4B antibody 68443-1-Ig | Download protocol |
| Standard Protocols | |
|---|---|
| Click here to view our Standard Protocols |


