验证数据展示
经过测试的应用
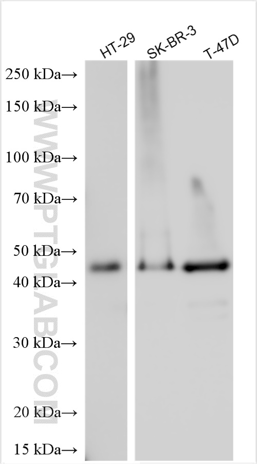
| Positive WB detected in | HT-29 cells, SK-BR-3 cells, T-47D cells |
| Positive IHC detected in | mouse colon tissue, mouse lung tissue Note: suggested antigen retrieval with TE buffer pH 9.0; (*) Alternatively, antigen retrieval may be performed with citrate buffer pH 6.0 |
| Positive IF/ICC detected in | Raji cells |
推荐稀释比
| 应用 | 推荐稀释比 |
|---|---|
| Western Blot (WB) | WB : 1:500-1:2000 |
| Immunohistochemistry (IHC) | IHC : 1:50-1:500 |
| Immunofluorescence (IF)/ICC | IF/ICC : 1:200-1:800 |
| It is recommended that this reagent should be titrated in each testing system to obtain optimal results. | |
| Sample-dependent, Check data in validation data gallery. | |
产品信息
27128-1-AP targets VPS37C in WB, IHC, IF/ICC, ELISA applications and shows reactivity with human samples.
| 经测试应用 | WB, IHC, IF/ICC, ELISA Application Description |
| 经测试反应性 | human |
| 免疫原 |
CatNo: Ag26024 Product name: Recombinant human VPS37C protein Source: e coli.-derived, PGEX-4T Tag: GST Domain: 1-117 aa of BC141827 Sequence: METLKDKTLQELEELQNDSEAIDQLALESPEVQDLQLEREMALATNRSLAERNLEFQGPLEISRSNLSDRYQELRKLVERCQEQKAKLEKFSSALQPGTLLDLLQVEGMKIEEESEA 种属同源性预测 |
| 宿主/亚型 | Rabbit / IgG |
| 抗体类别 | Polyclonal |
| 产品类型 | Antibody |
| 全称 | vacuolar protein sorting 37 homolog C (S. cerevisiae) |
| 别名 | ESCRT I complex subunit VPS37C, ESCRT-I complex subunit VPS37C, hVps37C, PML39, Vacuolar protein sorting-associated protein 37C |
| 观测分子量 | 39-45 kDa |
| GenBank蛋白编号 | BC141827 |
| 基因名称 | VPS37C |
| Gene ID (NCBI) | 55048 |
| RRID | AB_3085928 |
| 偶联类型 | Unconjugated |
| 形式 | Liquid |
| 纯化方式 | Antigen affinity purification |
| UNIPROT ID | A5D8V6 |
| 储存缓冲液 | PBS with 0.02% sodium azide and 50% glycerol, pH 7.3. |
| 储存条件 | Store at -20°C. Stable for one year after shipment. Aliquoting is unnecessary for -20oC storage. |
背景介绍
VPS37C (Vacuolar protein sorting-associated protein 37C) is also named as hVps37C, PML39 and ESCRT-I complex subunit VPS37C. VPS37C is a core subunit of the Endosomal sorting complex required for transport-I (ESCRT-I) complex (PMID: 37307706). VPS37C interacts with EKLF and prevents K48-linked polyubiquitination of EKLF and proteasome-mediated EKLF degradation, thus enhancing EKLF protein stability and transcriptional activity (PMID: 37307706).
实验方案
| Product Specific Protocols | |
|---|---|
| IF protocol for VPS37C antibody 27128-1-AP | Download protocol |
| IHC protocol for VPS37C antibody 27128-1-AP | Download protocol |
| WB protocol for VPS37C antibody 27128-1-AP | Download protocol |
| Standard Protocols | |
|---|---|
| Click here to view our Standard Protocols |



