验证数据展示
经过测试的应用
| Positive WB detected in | bEnd.3 cells, mouse spleen tissue |
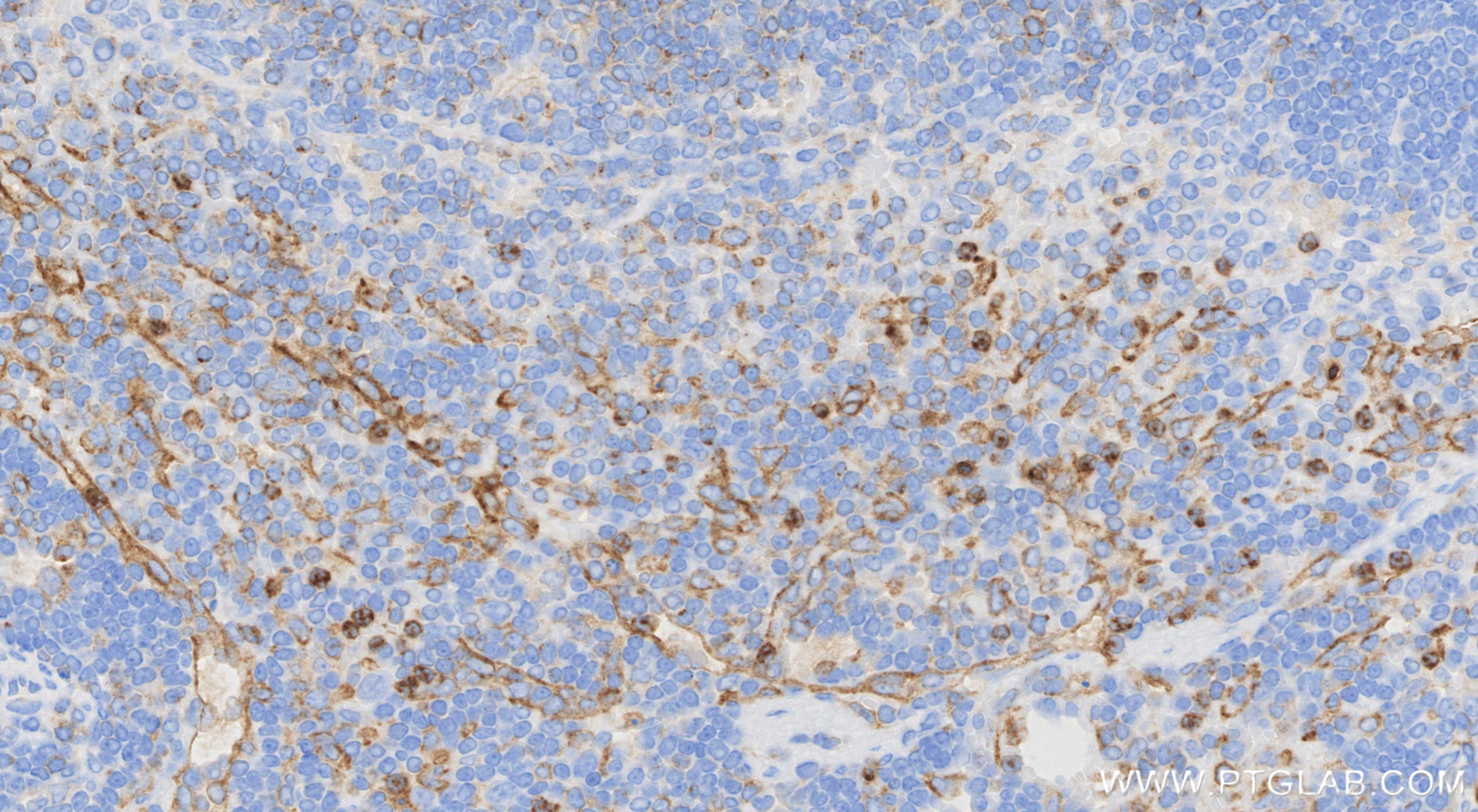
| Positive IHC detected in | mouse spleen tissue Note: suggested antigen retrieval with TE buffer pH 9.0; (*) Alternatively, antigen retrieval may be performed with citrate buffer pH 6.0 |
推荐稀释比
| 应用 | 推荐稀释比 |
|---|---|
| Western Blot (WB) | WB : 1:2000-1:10000 |
| Immunohistochemistry (IHC) | IHC : 1:500-1:2000 |
| It is recommended that this reagent should be titrated in each testing system to obtain optimal results. | |
| Sample-dependent, Check data in validation data gallery. | |
产品信息
86114-3-RR targets VISTA in WB, IHC, ELISA applications and shows reactivity with mouse samples.
| 经测试应用 | WB, IHC, ELISA Application Description |
| 经测试反应性 | mouse |
| 免疫原 |
CatNo: Eg2809 Product name: Recombinant Mouse VISTA protein (rFc Tag) Source: mammalian cells-derived, V37 Tag: C-rFc Domain: 33-191 aa of NM_001159572.1 Sequence: FKVTTPYSLYVCPEGQNATLTCRILGPVSKGHDVTIYKTWYLSSRGEVQMCKEHRPIRNFTLQHLQHHGSHLKANASHDQPQKHGLELASDHHGNFSITLRNVTPRDSGLYCCLVIELKNHHPEQRFYGSMELQVQAGKGSGSTCMASNEQDSDSITAA 种属同源性预测 |
| 宿主/亚型 | Rabbit / IgG |
| 抗体类别 | Recombinant |
| 产品类型 | Antibody |
| 全称 | RIKEN cDNA 4632428N05 gene |
| 别名 | Dies1, PD-1H, Platelet receptor Gi24, V-set domain-containing immunoregulatory receptor, V-set immunoregulatory receptor |
| 计算分子量 | 34 kDa |
| 观测分子量 | 40-55 kDa |
| GenBank蛋白编号 | NM_001159572.1 |
| 基因名称 | 4632428N05Rik |
| Gene ID (NCBI) | 74048 |
| RRID | AB_3744632 |
| 偶联类型 | Unconjugated |
| 形式 | Liquid |
| 纯化方式 | Protein A purification |
| UNIPROT ID | Q9D659 |
| 储存缓冲液 | PBS with 0.02% sodium azide and 50% glycerol, pH 7.3. |
| 储存条件 | Store at -20°C. Stable for one year after shipment. Aliquoting is unnecessary for -20oC storage. |
背景介绍
VISTA, also known as PD-1H, Dies1, and Gi24, is encoded by the Vsir gene in mice. VISTA is a type I transmembrane protein that acts as an immune-regulatory checkpoint on hematopoietic cells and shares homology with both the B7 family ligand PD-L1 and the CD28 family receptor PD-1. In mice, VISTA is expressed predominantly in hematopoietic tissues, such as the spleen, thymus, lymph node, and bone marrow (BM). VISTA plays a key role in regulating immune system responses and maintaining homeostasis.
实验方案
| Product Specific Protocols | |
|---|---|
| IHC protocol for VISTA antibody 86114-3-RR | Download protocol |
| WB protocol for VISTA antibody 86114-3-RR | Download protocol |
| Standard Protocols | |
|---|---|
| Click here to view our Standard Protocols |

