验证数据展示
经过测试的应用
| Positive WB detected in | HEK-293 cells, HeLa cells, mouse heart tissue, A549 cells |
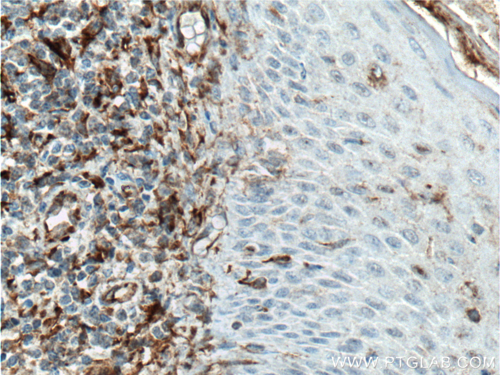
| Positive IHC detected in | human ovary tumor tissue, human tonsillitis tissue, human normal colon Note: suggested antigen retrieval with TE buffer pH 9.0; (*) Alternatively, antigen retrieval may be performed with citrate buffer pH 6.0 |
| Positive IF-P detected in | human kidney tissue |
推荐稀释比
| 应用 | 推荐稀释比 |
|---|---|
| Western Blot (WB) | WB : 1:500-1:2000 |
| Immunohistochemistry (IHC) | IHC : 1:50-1:500 |
| Immunofluorescence (IF)-P | IF-P : 1:50-1:500 |
| It is recommended that this reagent should be titrated in each testing system to obtain optimal results. | |
| Sample-dependent, Check data in validation data gallery. | |
产品信息
22031-1-AP targets Vimentin in WB, IHC, IF-P, ELISA applications and shows reactivity with human, mouse, rat samples.
| 经测试应用 | WB, IHC, IF-P, ELISA Application Description |
| 文献引用应用 | WB, IHC, IF |
| 经测试反应性 | human, mouse, rat |
| 文献引用反应性 | human, mouse, rat |
| 免疫原 | Vimentin fusion protein Ag16898 种属同源性预测 |
| 宿主/亚型 | Rabbit / IgG |
| 抗体类别 | Polyclonal |
| 产品类型 | Antibody |
| 全称 | vimentin |
| 别名 | VIM |
| 计算分子量 | 466 aa, 54 kDa |
| 观测分子量 | 57 kDa |
| GenBank蛋白编号 | BC000163 |
| 基因名称 | VIM |
| Gene ID (NCBI) | 7431 |
| ENSEMBL Gene ID | ENSG00000026025 |
| RRID | AB_11182825 |
| 偶联类型 | Unconjugated |
| 形式 | Liquid |
| 纯化方式 | Antigen affinity purification |
| UNIPROT ID | P08670 |
| 储存缓冲液 | PBS with 0.02% sodium azide and 50% glycerol, pH 7.3. |
| 储存条件 | Store at -20°C. Stable for one year after shipment. Aliquoting is unnecessary for -20oC storage. |
背景介绍
Vimentin, also named as VIM, belongs to the intermediate filament family. Vimentin is class-III intermediate filaments found in various non-epithelial cells, especially mesenchymal cells. Vimentin is important for stabilizing the architecture of the cytoplasm. Monocyte-derived macrophages secrete vimentin into the extracellular space in vitro. Secretion of vimentin was enhanced by the proinflammatory cytokine tumor necrosis factor-alpha (TNFA; 191160) and inhibited by the antiinflammatory cytokine IL10 (124092), suggesting that vimentin is involved in the immune response. Vimentin has specialized functions that contribute to specific dynamic cellular processes. As a phosphoprotein, 55-60 kDa of vimentin proteins can be observed due to the different phosphorylation level. Isoforms of vimentin (49 kDa and 60 kDa) had also been reported. (PMID: 8640945, 22728585).
实验方案
| Product Specific Protocols | |
|---|---|
| WB protocol for Vimentin antibody 22031-1-AP | Download protocol |
| IHC protocol for Vimentin antibody 22031-1-AP | Download protocol |
| IF protocol for Vimentin antibody 22031-1-AP | Download protocol |
| Standard Protocols | |
|---|---|
| Click here to view our Standard Protocols |
发表文章
| Species | Application | Title |
|---|---|---|
Cell Death Dis ZNF652 exerts a tumor suppressor role in lung cancer by transcriptionally downregulating cyclin D3 | ||
J Transl Med Single-cell and spatial transcriptome profiling reveal CTHRC1+ fibroblasts promote EMT through WNT5A signaling in colorectal cancer | ||
Tissue Eng Part C Methods Pretreatment with Inflammatory Factors Altered the Secretome of Human Amniotic Epithelial Cells | ||
Clin Respir J SIRT3 Inhibits Cell Proliferation of Nonsmall Cell Lung Carcinoma by Inducing ROS Production | ||
Biochim Biophys Acta Mol Basis Dis A novel Cdc42-YAP-fibronectin signaling axis regulates ameloblast differentiation during early enamel formation | ||
Breast Cancer Res SMYD4 promotes MYH9 ubiquitination through lysine monomethylation modification to inhibit breast cancer progression |









