验证数据展示
经过测试的应用
| Positive WB detected in | mouse kidney tissue, mouse colon tissue, mouse liver tissue |
| Positive IP detected in | mouse kidney tissue |
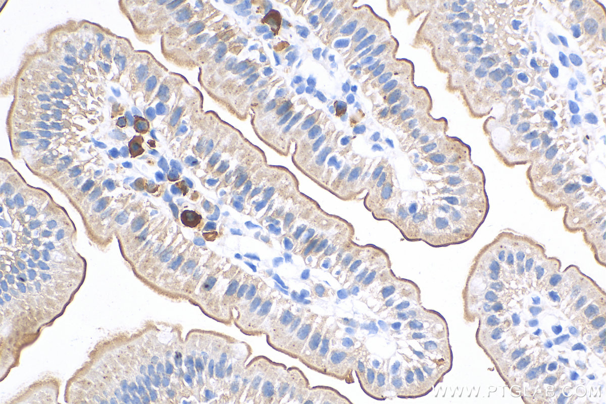
| Positive IHC detected in | mouse small intestine tissue, human colon cancer tissue Note: suggested antigen retrieval with TE buffer pH 9.0; (*) Alternatively, antigen retrieval may be performed with citrate buffer pH 6.0 |
| Positive IF-P detected in | mouse small intestine tissue |
| Positive IF-Fro detected in | mouse small intestine tissue |
| Positive IF/ICC detected in | COLO 320 cells |
| Positive FC (Intra) detected in | HepG2 cells |
推荐稀释比
| 应用 | 推荐稀释比 |
|---|---|
| Western Blot (WB) | WB : 1:1000-1:4000 |
| Immunoprecipitation (IP) | IP : 0.5-4.0 ug for 1.0-3.0 mg of total protein lysate |
| Immunohistochemistry (IHC) | IHC : 1:2500-1:10000 |
| Immunofluorescence (IF)-P | IF-P : 1:50-1:500 |
| Immunofluorescence (IF)-FRO | IF-FRO : 1:200-1:800 |
| Immunofluorescence (IF)/ICC | IF/ICC : 1:50-1:500 |
| Flow Cytometry (FC) (INTRA) | FC (INTRA) : 0.20 ug per 10^6 cells in a 100 µl suspension |
| It is recommended that this reagent should be titrated in each testing system to obtain optimal results. | |
| Sample-dependent, Check data in validation data gallery. | |
产品信息
16488-1-AP targets Villin in WB, IHC, IF/ICC, IF-P, IF-Fro, FC (Intra), IP, ELISA applications and shows reactivity with human, mouse, rat samples.
| 经测试应用 | WB, IHC, IF/ICC, IF-P, IF-Fro, FC (Intra), IP, ELISA Application Description |
| 文献引用应用 | WB, IHC, IF |
| 经测试反应性 | human, mouse, rat |
| 文献引用反应性 | human, mouse, rat, pig, zebrafish |
| 免疫原 |
CatNo: Ag9610 Product name: Recombinant human VIL1 protein Source: e coli.-derived, PGEX-4T Tag: GST Domain: 1-350 aa of BC017303 Sequence: MTKLSAQVKGSLNITTPGLQIWRIEAMQMVPVPSSTFGSFFDGDCYIILAIHKTASSLSYDIHYWIGQDSSLDEQGAAAIYTTQMDDFLKGRAVQHREVQGNESEAFRGYFKQGLVIRKGGVASGMKHVETNSYDVQRLLHVKGKRNVVAGEVEMSWKSFNRGDVFLLDLGKLIIQWNGPESTRMERLRGMTLAKEIRDQERGGRTYVGVVDGENELASPKLMEVMNHVLGKRRELKAAVPDTVVEPALKAALKLYHVSDSEGNLVVREVATRPLTQDLLSHEDCYILDQGGLKIYVWKGKKANEQEKKGAMSHALNFIKAKQYPPSTQVEVQNDGAESAVFQQLFQKWT 种属同源性预测 |
| 宿主/亚型 | Rabbit / IgG |
| 抗体类别 | Polyclonal |
| 产品类型 | Antibody |
| 全称 | villin 1 |
| 别名 | VIL1, D2S1471, VIL, villin 1 |
| 计算分子量 | 827aa,93 kDa; 826aa,93 kDa |
| 观测分子量 | 93 kDa |
| GenBank蛋白编号 | BC017303 |
| 基因名称 | Villin |
| Gene ID (NCBI) | 7429 |
| RRID | AB_2215975 |
| 偶联类型 | Unconjugated |
| 形式 | Liquid |
| 纯化方式 | Antigen affinity purification |
| UNIPROT ID | P09327 |
| 储存缓冲液 | PBS with 0.02% sodium azide and 50% glycerol, pH 7.3. |
| 储存条件 | Store at -20°C. Stable for one year after shipment. Aliquoting is unnecessary for -20oC storage. |
背景介绍
Villin 1 (VIL1) is a 95-kd F-actin bundling and severing protein and its expression is restricted to epithelial cells with a brush border, like epithelial cells of the intestinal mucosa, gall bladder, renal proximal tubules and ductuli efferentes of the testis. VIL1 has been reported to be an epithelial cell-specific anti-apoptotic protein, and to have an important function in regulating actin dynamics, cell morphology, epithelial-to-mesenchymal transitions, cell migration and cell survival. In addition, VIL1 is a useful diagnostic marker for of various cancer, like cervical and endometrial adenocarcinomas, renal cell carcinoma. VIL1 was recently identified as a novel biomarker predictive for postoperative recurrence and poorer prognosis of high serum AFP associated HCC.
实验方案
| Product Specific Protocols | |
|---|---|
| FC protocol for Villin antibody 16488-1-AP | Download protocol |
| IF protocol for Villin antibody 16488-1-AP | Download protocol |
| IHC protocol for Villin antibody 16488-1-AP | Download protocol |
| IP protocol for Villin antibody 16488-1-AP | Download protocol |
| WB protocol for Villin antibody 16488-1-AP | Download protocol |
| Standard Protocols | |
|---|---|
| Click here to view our Standard Protocols |
发表文章
| Species | Application | Title |
|---|---|---|
Sci Transl Med Oral delivery of liquid mRNA therapeutics by an engineered capsule for treatment of preclinical intestinal disease | ||
Proc Natl Acad Sci U S A Organotypic models of type III interferon-mediated protection from Zika virus infections at the maternal-fetal interface. | ||
Clin Transl Med NLRP3 inflammasome of renal tubular epithelial cells induces kidney injury in acute hemolytic transfusion reactions. | ||
mBio ASB3 expression aggravates inflammatory bowel disease by targeting TRAF6 protein stability and affecting the intestinal microbiota | ||
PLoS Pathog Bile acids promote the caveolae-associated entry of swine acute diarrhea syndrome coronavirus in porcine intestinal enteroids. | ||
Front Cell Dev Biol Cathelicidin-WA Protects Against LPS-Induced Gut Damage Through Enhancing Survival and Function of Intestinal Stem Cells. |













