验证数据展示
产品信息
87374-3-PBS targets VHL as part of a matched antibody pair:
MP02982-1: 87374-3-PBS capture and 87374-2-PBS detection (validated in Cytometric bead array)
Unconjugated rabbit recombinant monoclonal antibody in PBS only (BSA and azide free) storage buffer at a concentration of 1 mg/mL, ready for conjugation. Created using Proteintech’s proprietary in-house recombinant technology. Recombinant production enables unrivalled batch-to-batch consistency, easy scale-up, and future security of supply.
This conjugation ready format makes antibodies ideal for use in many applications including: ELISAs, multiplex assays requiring matched pairs, mass cytometry, and multiplex imaging applications.Antibody use should be optimized by the end user for each application and assay.
| 经测试应用 | WB, IHC, Cytometric bead array, Indirect ELISA Application Description |
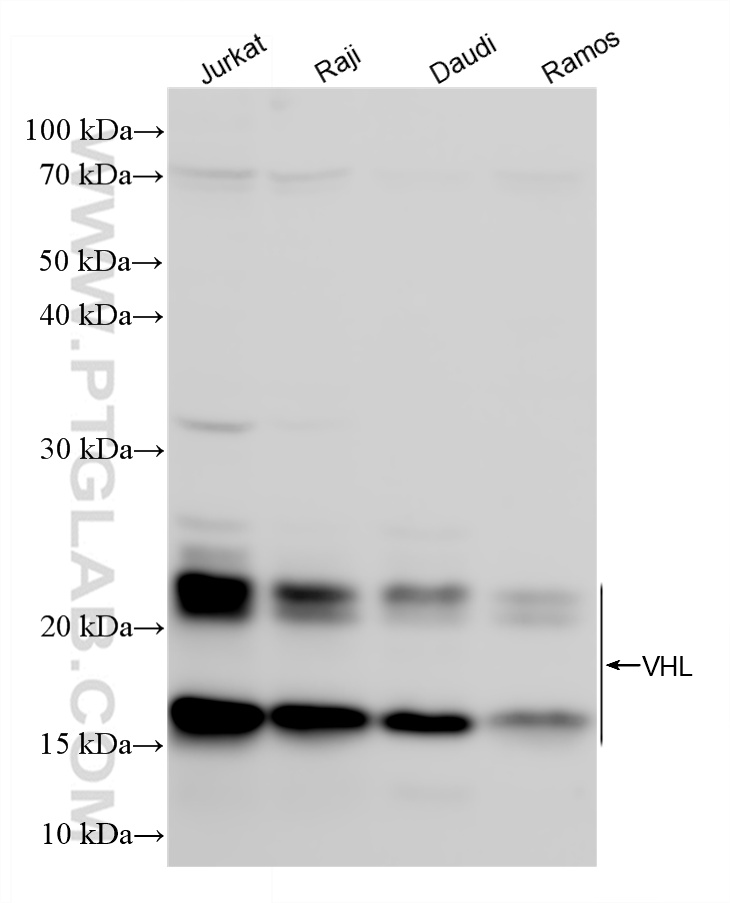
| 经测试反应性 | human |
| 免疫原 |
CatNo: Eg6405 Product name: Recombinant human VHL protein Source: mammalian cells-derived, V37 Tag: C-rFc Domain: 1-213 aa of NM_000551.4 Sequence: MPRRAENWDEAEVGAEEAGVEEYGPEEDGGEESGAEESGPEESGPEELGAEEEMEAGRPRPVLRSVNSREPSQVIFCNRSPRVVLPVWLNFDGEPQPYPTLPPGTGRRIHSYRGHLWLFRDAGTHDGLLVNQTELFVPSLNVDGQPIFANITLPVYTLKERCLQVVRSLVKPENYRRLDIVRSLYEDLEDHPNVQKDLERLTQERIAHQRMGD 种属同源性预测 |
| 宿主/亚型 | Rabbit / IgG |
| 抗体类别 | Recombinant |
| 产品类型 | Antibody |
| 全称 | von Hippel-Lindau tumor suppressor |
| 别名 | Protein G7, pVHL, RCA1, VHL 1, VHL1 |
| 计算分子量 | 24 kDa |
| 观测分子量 | 18-24 kDa |
| GenBank蛋白编号 | NM_000551.4 |
| 基因名称 | VHL |
| Gene ID (NCBI) | 7428 |
| RRID | AB_3745493 |
| 偶联类型 | Unconjugated |
| 形式 | Liquid |
| 纯化方式 | Protein A purification |
| UNIPROT ID | P40337 |
| 储存缓冲液 | PBS only, pH 7.3. |
| 储存条件 | Store at -80°C. The product is shipped with ice packs. Upon receipt, store it immediately at -80°C |
背景介绍
VHL (von Hippel-Lindau tumor suppressor) gene was identified as the tumor suppressor gene whose germ line mutations are associated with the inherited von Hippel-Lindau cancer syndrome (PMID: 8603073, 10722748). VHL patients develop a wide variety of tumors including retinal angioma, central nervous system hemangioblastoma, pheochromocytoma, and renal clear cell carcinoma (PMID: 10722748). VHL localizes predominantly to the cytoplasmic compartment but engages in a dynamic nuclear-cytoplasmic shuttle (PMID: 8700833, 9891082, 12101228). VHL has isoforms with the molecular mass of 18-24 kDa.





