验证数据展示
经过测试的应用
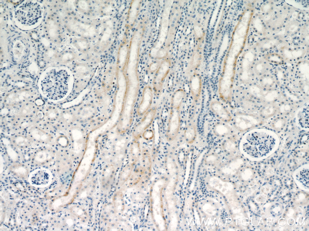
| Positive IHC detected in | human liver cancer tissue, human kidney tissue Note: suggested antigen retrieval with TE buffer pH 9.0; (*) Alternatively, antigen retrieval may be performed with citrate buffer pH 6.0 |
| Positive IF/ICC detected in | HepG2 cells |
推荐稀释比
| 应用 | 推荐稀释比 |
|---|---|
| Immunohistochemistry (IHC) | IHC : 1:50-1:500 |
| Immunofluorescence (IF)/ICC | IF/ICC : 1:10-1:100 |
| It is recommended that this reagent should be titrated in each testing system to obtain optimal results. | |
| Sample-dependent, Check data in validation data gallery. | |
发表文章中的应用
| KD/KO | See 1 publications below |
| IHC | See 4 publications below |
| IF | See 1 publications below |
产品信息
16538-1-AP targets VHL in IF, IHC, ELISA applications and shows reactivity with human samples.
| 经测试应用 | IF, IHC, ELISA Application Description |
| 文献引用应用 | IF, IHC |
| 经测试反应性 | human |
| 文献引用反应性 | human, mouse |
| 免疫原 |
CatNo: Ag9843 Product name: Recombinant human VHL protein Source: e coli.-derived, PGEX-4T Tag: GST Domain: 1-172 aa of BC058831 Sequence: MPRRAENWDEAEVGAEEAGVEEYGPEEDGGEESGAEESGPEESGPEELGAEEEMEAGRPRPVLRSVNSREPSQVIFCNRSPRVVLPVWLNFDGEPQPYPTLPPGTGRRIYSYRVYTLKERCLQVVRSLVKPENYRRLDIVRSLYEDLEDHPNVQKDLERLTQERIAHQRMGD 种属同源性预测 |
| 宿主/亚型 | Rabbit / IgG |
| 抗体类别 | Polyclonal |
| 产品类型 | Antibody |
| 全称 | von Hippel-Lindau tumor suppressor |
| 别名 | HRCA1, Protein G7, pVHL, RCA1, VHL, VHL1, Von Hippe-Lindau |
| 计算分子量 | 172 aa, 20 kDa |
| GenBank蛋白编号 | BC058831 |
| 基因名称 | VHL |
| Gene ID (NCBI) | 7428 |
| RRID | AB_2878273 |
| 偶联类型 | Unconjugated |
| 形式 | Liquid |
| 纯化方式 | Antigen affinity purification |
| UNIPROT ID | P40337 |
| 储存缓冲液 | PBS with 0.02% sodium azide and 50% glycerol, pH 7.3. |
| 储存条件 | Store at -20°C. Stable for one year after shipment. Aliquoting is unnecessary for -20oC storage. |
背景介绍
VHL (von Hippel-Lindau tumor suppressor) gene was identified as the tumor suppressor gene whose germ line mutations are associated with the inherited von Hippel-Lindau cancer syndrome (PMID: 8603073, 10722748). VHL patients develop a wide variety of tumors including retinal angioma, central nervous system hemangioblastoma, pheochromocytoma, and renal clear cell carcinoma (PMID: 10722748). VHL localizes predominantly to the cytoplasmic compartment but engages in a dynamic nuclear-cytoplasmic shuttle (PMID: 8700833, 9891082, 12101228). VHL has 3 isoforms with the molecular mass of 24, 20 and 18 kDa.
实验方案
| Product Specific Protocols | |
|---|---|
| IF protocol for VHL antibody 16538-1-AP | Download protocol |
| IHC protocol for VHL antibody 16538-1-AP | Download protocol |
| Standard Protocols | |
|---|---|
| Click here to view our Standard Protocols |
发表文章
| Species | Application | Title |
|---|---|---|
Respir Res Short isoform thymic stromal lymphopoietin reduces inflammation and aerobic glycolysis of asthmatic airway epithelium by antagonizing long isoform thymic stromal lymphopoietin. | ||
Oncotarget The oncoprotein HBXIP promotes glucose metabolism reprogramming via downregulating SCO2 and PDHA1 in breast cancer. | ||
Front Oncol Risk Scores Based on Six Survival-Related RNAs in a Competing Endogenous Network Composed of Differentially Expressed RNAs Between Clear Cell Renal Cell Carcinoma Patients Carrying Wild-Type or Mutant Von Hippel-Lindau Serve Well to Predict Malignancy and Prognosis. | ||
Front Mol Biosci Network-Based Expression Analyses and Experimental Verifications Reveal the Involvement of STUB1 in Acute Kidney Injury. | ||
Cancer Med UBE2S promotes malignant properties via VHL/HIF-1α and VHL/JAK2/STAT3 signaling pathways and decreases sensitivity to sorafenib in hepatocellular carcinoma | ||
World J Gastroenterol Thymoquinone affects hypoxia-inducible factor-1α expression in pancreatic cancer cells via HSP90 and PI3K/AKT/mTOR pathways
|





