验证数据展示
经过测试的应用
| Positive WB detected in | A431 cells, HepG2 cells, NIH/3T3 cells, PC-12 cells, mouse heart tissue, rat heart tissue |
| Positive IP detected in | HeLa cells |
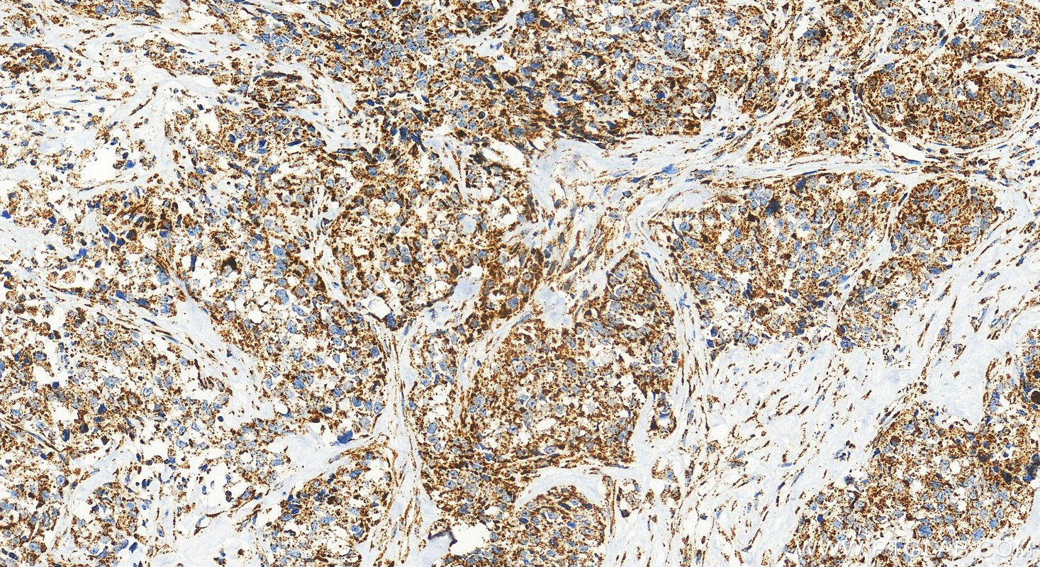
| Positive IHC detected in | human ovary cancer tissue Note: suggested antigen retrieval with TE buffer pH 9.0; (*) Alternatively, antigen retrieval may be performed with citrate buffer pH 6.0 |
推荐稀释比
| 应用 | 推荐稀释比 |
|---|---|
| Western Blot (WB) | WB : 1:2000-1:10000 |
| Immunoprecipitation (IP) | IP : 0.5-4.0 ug for 1.0-3.0 mg of total protein lysate |
| Immunohistochemistry (IHC) | IHC : 1:500-1:2000 |
| It is recommended that this reagent should be titrated in each testing system to obtain optimal results. | |
| Sample-dependent, Check data in validation data gallery. | |
产品信息
RMX00001 targets VDAC3 in WB, IHC, IP, ELISA applications and shows reactivity with human, mouse, rat samples.
| 经测试应用 | WB, IHC, IP, ELISA Application Description |
| 经测试反应性 | human, mouse, rat |
| 免疫原 |
Peptide 种属同源性预测 |
| 宿主/亚型 | Rabbit / IgG |
| 抗体类别 | Multi-Recombinant |
| 产品类型 | Antibody |
| 全称 | voltage-dependent anion channel 3 |
| 别名 | HD VDAC3, hVDAC3, VDAC 3, VDAC-3 |
| 计算分子量 | 31 kDa |
| 观测分子量 | 31 kDa |
| GenBank蛋白编号 | NM_005662 |
| 基因名称 | VDAC3 |
| Gene ID (NCBI) | 7419 |
| 偶联类型 | Unconjugated |
| 形式 | Liquid |
| 纯化方式 | N/A |
| UNIPROT ID | Q9Y277 |
| 储存缓冲液 | PBS with 0.02% sodium azide and 50% glycerol, pH 7.3. |
| 储存条件 | Store at -20°C. Stable for one year after shipment. Aliquoting is unnecessary for -20oC storage. |
背景介绍
VDAC3 belongs to the eukaryotic mitochondrial porin family. It forms a channel through the mitochondrial outer membrane that allows diffusion of small hydrophilic molecules. This antibody is specific to VDAC3.
实验方案
| Product Specific Protocols | |
|---|---|
| IHC protocol for VDAC3 antibody RMX00001 | Download protocol |
| IP protocol for VDAC3 antibody RMX00001 | Download protocol |
| WB protocol for VDAC3 antibody RMX00001 | Download protocol |
| Standard Protocols | |
|---|---|
| Click here to view our Standard Protocols |


