验证数据展示
经过测试的应用
| Positive WB detected in | HeLa cells, HEK-293 cells, HuH-7 cells, L02 cells, mouse brain tissue, mouse heart tissue, rat brain tissue |
| Positive IP detected in | HEK-293 cells |
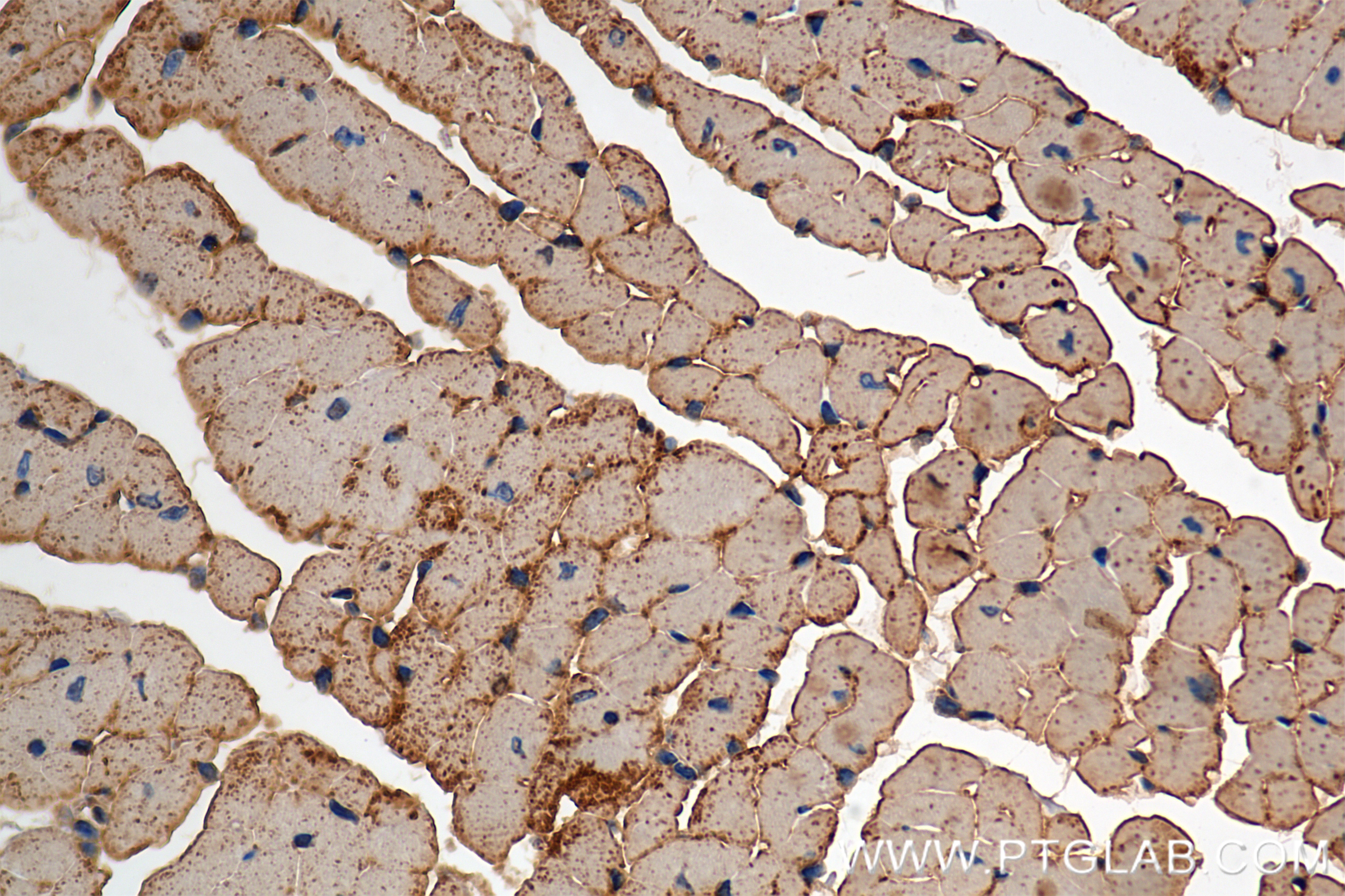
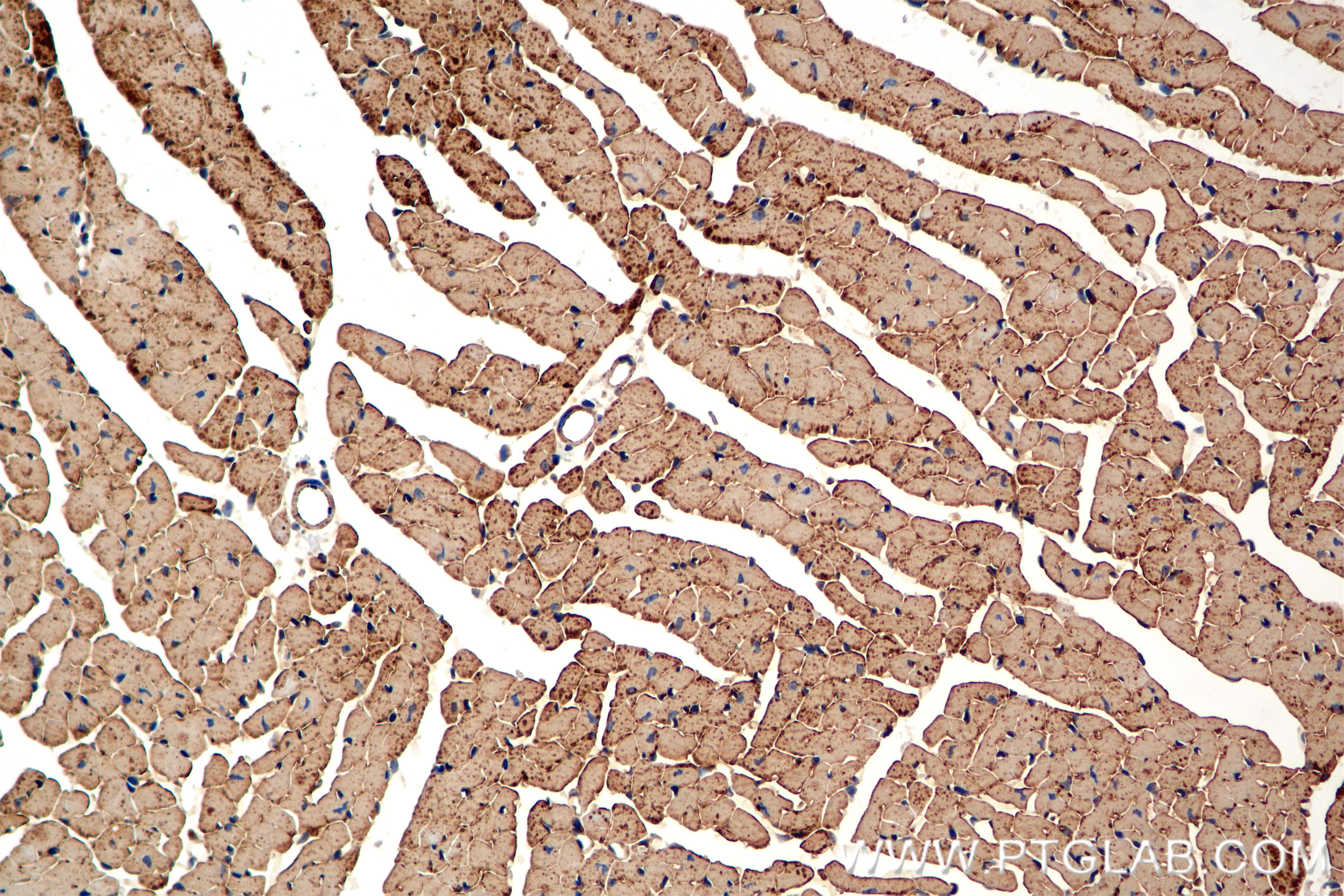
| Positive IHC detected in | mouse heart tissue Note: suggested antigen retrieval with TE buffer pH 9.0; (*) Alternatively, antigen retrieval may be performed with citrate buffer pH 6.0 |
| Positive IF/ICC detected in | HepG2 cells |
| Positive FC (Intra) detected in | HepG2 cells |
推荐稀释比
| 应用 | 推荐稀释比 |
|---|---|
| Western Blot (WB) | WB : 1:2000-1:16000 |
| Immunoprecipitation (IP) | IP : 0.5-4.0 ug for 1.0-3.0 mg of total protein lysate |
| Immunohistochemistry (IHC) | IHC : 1:500-1:2000 |
| Immunofluorescence (IF)/ICC | IF/ICC : 1:200-1:800 |
| Flow Cytometry (FC) (INTRA) | FC (INTRA) : 0.25 ug per 10^6 cells in a 100 µl suspension |
| It is recommended that this reagent should be titrated in each testing system to obtain optimal results. | |
| Sample-dependent, Check data in validation data gallery. | |
产品信息
84225-2-RR targets VDAC2 in WB, IHC, IF/ICC, FC (Intra), IP, ELISA applications and shows reactivity with human, mouse, rat samples.
| 经测试应用 | WB, IHC, IF/ICC, FC (Intra), IP, ELISA Application Description |
| 经测试反应性 | human, mouse, rat |
| 免疫原 |
CatNo: Ag2266 Product name: Recombinant human VDAC2 protein Source: e coli.-derived, PGEX-4T Tag: GST Domain: 1-294 aa of BC000165 Sequence: MATHGQTCARPMCIPPSYADLGKAARDIFNKGFGFGLVKLDVKTKSCSGVEFSTSGSSNTDTGKVTGTLETKYKWCEYGLTFTEKWNTDNTLGTEIAIEDQICQGLKLTFDTTFSPNTGKKSGKIKSSYKRECINLGCDVDFDFAGPAIHGSAVFGYEGWLAGYQMTFDSAKSKLTRNNFAVGYRTGDFQLHTNVNDGTEFGGSIYQKVCEDLDTSVNLAWTSGTNCTRFGIAAKYQLDPTASISAKVNNSSLIGVGYTQTLRPGVKLTLSALVDGKSINAGGHKVGLALELEA 种属同源性预测 |
| 宿主/亚型 | Rabbit / IgG |
| 抗体类别 | Recombinant |
| 产品类型 | Antibody |
| 全称 | voltage-dependent anion channel 2 |
| 别名 | 241569G11, FLJ23841, hVDAC2, VDAC 2, VDAC-2 |
| 计算分子量 | 294 aa, 32 kDa |
| 观测分子量 | 31-33 kDa |
| GenBank蛋白编号 | BC000165 |
| 基因名称 | VDAC2 |
| Gene ID (NCBI) | 7417 |
| RRID | AB_3671778 |
| 偶联类型 | Unconjugated |
| 形式 | Liquid |
| 纯化方式 | Protein A purification |
| UNIPROT ID | P45880 |
| 储存缓冲液 | PBS with 0.02% sodium azide and 50% glycerol, pH 7.3. |
| 储存条件 | Store at -20°C. Stable for one year after shipment. Aliquoting is unnecessary for -20oC storage. |
背景介绍
VDACs (Voltage Dependent Anion selective Channels), also known as mitochondrial porins, are a family of pore-forming proteins discovered in the mitochondrial outer membrane. Mammals show a conserved genetic organization of the VDAC genes. It's reported that the amount of VDAC transcripts in liver is usually lower than in the other tissues. VDAC2 and especially VDAC3 are highly expressed in testis, while mouse VDAC1 is poorly expressed in this tissue. (PMID: 22020053)
实验方案
| Product Specific Protocols | |
|---|---|
| FC protocol for VDAC2 antibody 84225-2-RR | Download protocol |
| IF protocol for VDAC2 antibody 84225-2-RR | Download protocol |
| IHC protocol for VDAC2 antibody 84225-2-RR | Download protocol |
| IP protocol for VDAC2 antibody 84225-2-RR | Download protocol |
| WB protocol for VDAC2 antibody 84225-2-RR | Download protocol |
| Standard Protocols | |
|---|---|
| Click here to view our Standard Protocols |






