验证数据展示
经过测试的应用
| Positive WB detected in | HEK-293 cells, ROS1728 cells |
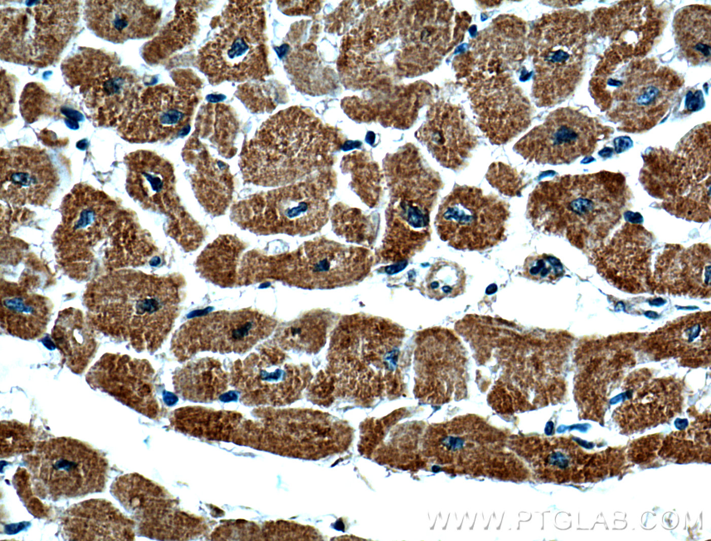
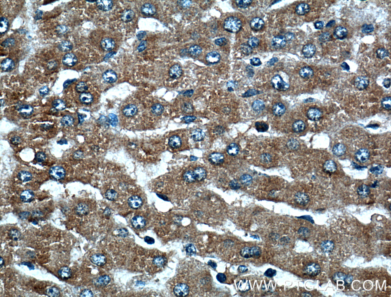
| Positive IHC detected in | human heart tissue, human kidney tissue, human liver tissue Note: suggested antigen retrieval with TE buffer pH 9.0; (*) Alternatively, antigen retrieval may be performed with citrate buffer pH 6.0 |
推荐稀释比
| 应用 | 推荐稀释比 |
|---|---|
| Western Blot (WB) | WB : 1:1000-1:4000 |
| Immunohistochemistry (IHC) | IHC : 1:50-1:500 |
| It is recommended that this reagent should be titrated in each testing system to obtain optimal results. | |
| Sample-dependent, Check data in validation data gallery. | |
发表文章中的应用
| WB | See 5 publications below |
| IHC | See 2 publications below |
产品信息
66388-1-Ig targets VDAC2 in WB, IHC, ELISA applications and shows reactivity with human samples.
| 经测试应用 | WB, IHC, ELISA Application Description |
| 文献引用应用 | WB, IHC |
| 经测试反应性 | human |
| 文献引用反应性 | human, rat |
| 免疫原 |
Peptide 种属同源性预测 |
| 宿主/亚型 | Mouse / IgG1 |
| 抗体类别 | Monoclonal |
| 产品类型 | Antibody |
| 全称 | voltage-dependent anion channel 2 |
| 别名 | 1D8C11, FLJ23841, hVDAC2, VDAC 2, VDAC-2 |
| 计算分子量 | 33 kDa |
| 观测分子量 | 30-33 kDa |
| GenBank蛋白编号 | NM_003375 |
| 基因名称 | VDAC2 |
| Gene ID (NCBI) | 7417 |
| RRID | AB_2881764 |
| 偶联类型 | Unconjugated |
| 形式 | Liquid |
| 纯化方式 | Protein G purification |
| UNIPROT ID | P45880 |
| 储存缓冲液 | PBS with 0.02% sodium azide and 50% glycerol, pH 7.3. |
| 储存条件 | Store at -20°C. Stable for one year after shipment. Aliquoting is unnecessary for -20oC storage. |
背景介绍
VDAC2 belongs to the eukaryotic mitochondrial porin family. It forms a channel through the mitochondrial outer membrane that allows diffusion of small hydrophilic molecules.
实验方案
| Product Specific Protocols | |
|---|---|
| IHC protocol for VDAC2 antibody 66388-1-Ig | Download protocol |
| WB protocol for VDAC2 antibody 66388-1-Ig | Download protocol |
| Standard Protocols | |
|---|---|
| Click here to view our Standard Protocols |
发表文章
| Species | Application | Title |
|---|---|---|
Cell Rep Cardiolipin oxidized by ROS from complex II acts as a target of gasdermin D to drive mitochondrial pore and heart dysfunction in endotoxemia | ||
J Ethnopharmacol Exploring the therapeutic effects and molecular mechanisms of total flavonoids of Abelmoschus manihot (L.) Medic in the treatment of IgA nephropathy based on WGCNA | ||
Phytomedicine Hedyotis diffusa injection induces ferroptosis via the Bax/Bcl2/VDAC2/3 axis in lung adenocarcinoma. | ||
Drug Dev Res Xanthatin inhibits non-small cell lung cancer proliferation by breaking the redox balance. | ||
Cancer Discov BRCA1-mediated dual regulation of ferroptosis exposes a vulnerability to GPX4 and PARP co-inhibition in BRCA1-deficient cancers | ||







