验证数据展示
经过测试的应用
| Positive WB detected in | mouse brain tissue, human heart tissue, mouse heart tissue, rat brain tissue, rat heart tissue |
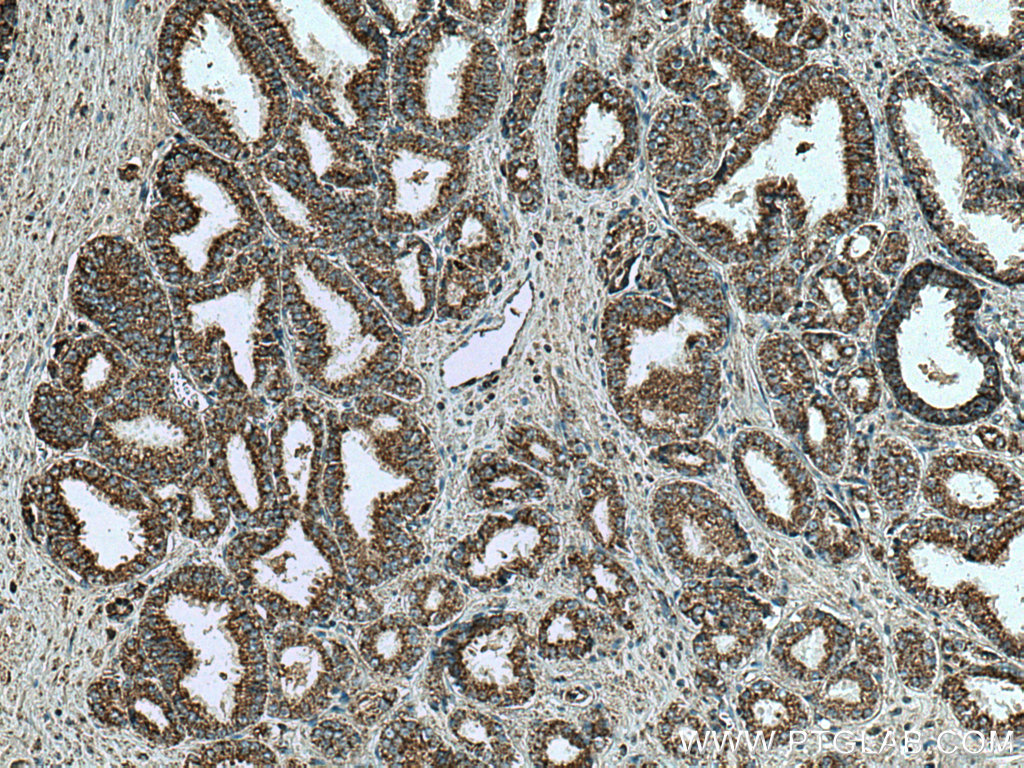
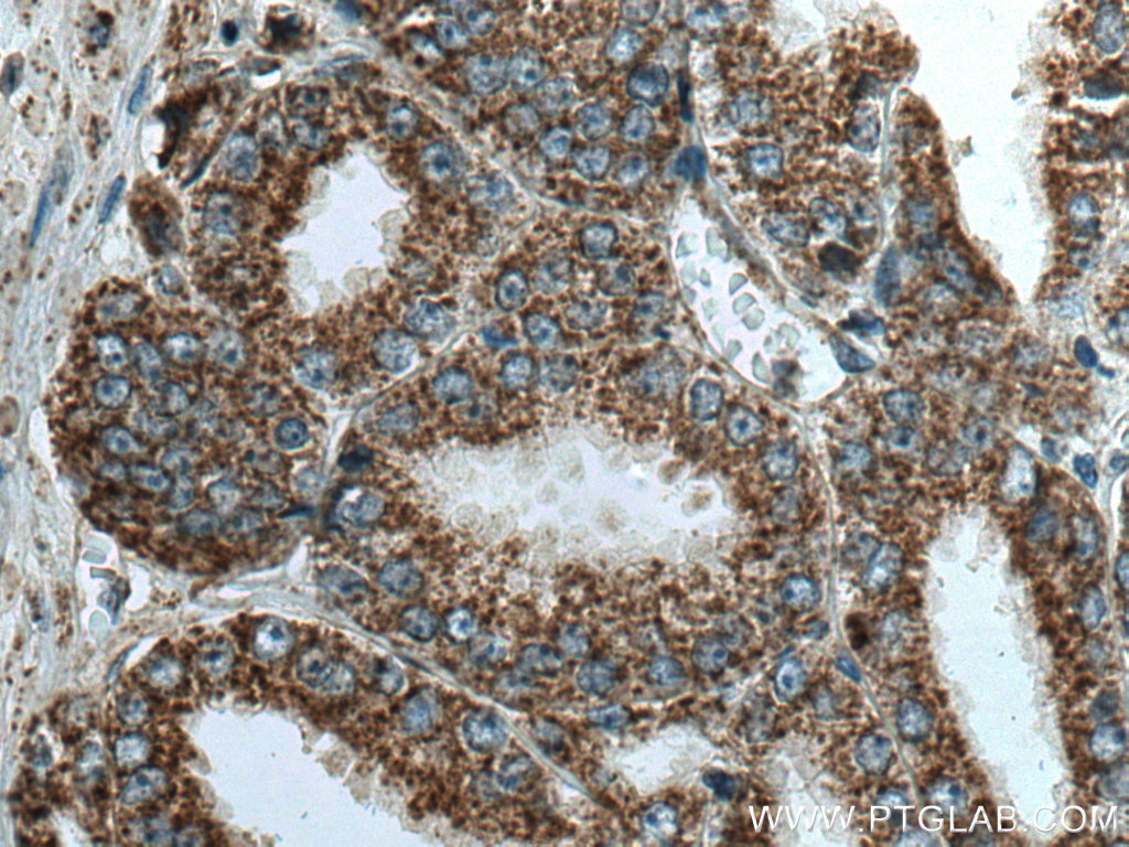
| Positive IHC detected in | human prostate cancer tissue, human normal colon, human prostate tissue Note: suggested antigen retrieval with TE buffer pH 9.0; (*) Alternatively, antigen retrieval may be performed with citrate buffer pH 6.0 |
推荐稀释比
| 应用 | 推荐稀释比 |
|---|---|
| Western Blot (WB) | WB : 1:1000-1:6000 |
| Immunohistochemistry (IHC) | IHC : 1:200-1:1200 |
| It is recommended that this reagent should be titrated in each testing system to obtain optimal results. | |
| Sample-dependent, Check data in validation data gallery. | |
产品信息
11663-1-AP targets VDAC1/2/3 in WB, IHC, IF, CoIP, ELISA applications and shows reactivity with human, mouse, rat samples.
| 经测试应用 | WB, IHC, ELISA Application Description |
| 文献引用应用 | WB, IHC, IF, CoIP |
| 经测试反应性 | human, mouse, rat |
| 文献引用反应性 | human, mouse, rat, duck |
| 免疫原 |
CatNo: Ag2266 Product name: Recombinant human VDAC2 protein Source: e coli.-derived, PGEX-4T Tag: GST Domain: 1-294 aa of BC000165 Sequence: MATHGQTCARPMCIPPSYADLGKAARDIFNKGFGFGLVKLDVKTKSCSGVEFSTSGSSNTDTGKVTGTLETKYKWCEYGLTFTEKWNTDNTLGTEIAIEDQICQGLKLTFDTTFSPNTGKKSGKIKSSYKRECINLGCDVDFDFAGPAIHGSAVFGYEGWLAGYQMTFDSAKSKLTRNNFAVGYRTGDFQLHTNVNDGTEFGGSIYQKVCEDLDTSVNLAWTSGTNCTRFGIAAKYQLDPTASISAKVNNSSLIGVGYTQTLRPGVKLTLSALVDGKSINAGGHKVGLALELEA 种属同源性预测 |
| 宿主/亚型 | Rabbit / IgG |
| 抗体类别 | Polyclonal |
| 产品类型 | Antibody |
| 全称 | voltage-dependent anion channel 2 |
| 别名 | VDAC2, VDAC-2, VDAC 2, hVDAC2, FLJ23841 |
| 计算分子量 | 294 aa, 32 kDa |
| 观测分子量 | 32 kDa |
| GenBank蛋白编号 | BC000165 |
| 基因名称 | VDAC2 |
| Gene ID (NCBI) | 7417 |
| RRID | AB_2304144 |
| 偶联类型 | Unconjugated |
| 形式 | Liquid |
| 纯化方式 | Antigen affinity purification |
| UNIPROT ID | P45880 |
| 储存缓冲液 | PBS with 0.02% sodium azide and 50% glycerol, pH 7.3. |
| 储存条件 | Store at -20°C. Stable for one year after shipment. Aliquoting is unnecessary for -20oC storage. |
背景介绍
VDACs (Voltage Dependent Anion selective Channels), also known as mitochondrial porins, are a family of pore-forming proteins discovered in the mitochondrial outer membrane. Mammals show a conserved genetic organization of the VDAC genes. It's reported that the amount of VDAC transcripts in liver is usually lower than in the other tissues. VDAC2 and expecially VDAC3 are highly expressed in testis, while mouse VDAC1 is poorly expressed in this tissue.(PMID: 22020053)
实验方案
| Product Specific Protocols | |
|---|---|
| IHC protocol for VDAC1/2/3 antibody 11663-1-AP | Download protocol |
| WB protocol for VDAC1/2/3 antibody 11663-1-AP | Download protocol |
| Standard Protocols | |
|---|---|
| Click here to view our Standard Protocols |
发表文章
| Species | Application | Title |
|---|---|---|
Mol Cell MLKL activity requires a splicing-regulated, druggable intramolecular interaction | ||
Nat Commun Kastor and Polluks polypeptides encoded by a single gene locus cooperatively regulate VDAC and spermatogenesis. | ||
Autophagy MYBL2 guides autophagy suppressor VDAC2 in the developing ovary to inhibit autophagy through a complex of VDAC2-BECN1-BCL2L1 in mammals. | ||
Cell Death Differ SPATA33 is an autophagy mediator for cargo selectivity in germline mitophagy. | ||
Proc Natl Acad Sci U S A SPATA33 localizes calcineurin to the mitochondria and regulates sperm motility in mice. | ||
Cell Death Dis Pathological convergence of APP and SNCA deficiency in hippocampal degeneration of young rats |







