验证数据展示
经过测试的应用
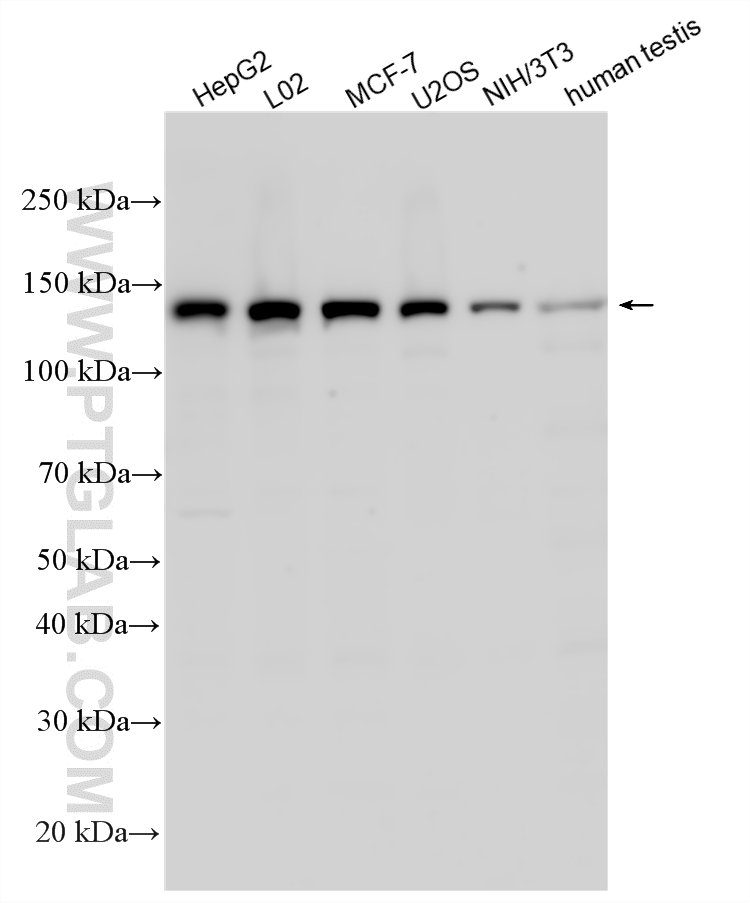
| Positive WB detected in | HepG2 cells, L02 cells, MCF-7 cells, U2OS cells, NIH/3T3 cells, human testis tissue |
| Positive IHC detected in | human ovary tumor tissue, human breast cancer tissue Note: suggested antigen retrieval with TE buffer pH 9.0; (*) Alternatively, antigen retrieval may be performed with citrate buffer pH 6.0 |
推荐稀释比
| 应用 | 推荐稀释比 |
|---|---|
| Western Blot (WB) | WB : 1:500-1:2000 |
| Immunohistochemistry (IHC) | IHC : 1:50-1:500 |
| It is recommended that this reagent should be titrated in each testing system to obtain optimal results. | |
| Sample-dependent, Check data in validation data gallery. | |
发表文章中的应用
| WB | See 1 publications below |
| RIP | See 1 publications below |
产品信息
17802-1-AP targets VCPIP1 in WB, IHC, RIP, ELISA applications and shows reactivity with human, mouse samples.
| 经测试应用 | WB, IHC, ELISA Application Description |
| 文献引用应用 | WB, RIP |
| 经测试反应性 | human, mouse |
| 文献引用反应性 | human |
| 免疫原 |
CatNo: Ag12035 Product name: Recombinant human VCPIP1 protein Source: e coli.-derived, PGEX-4T Tag: GST Domain: 1-352 aa of BC094799 Sequence: MSQPPPPPPPLPPPPPPPEAPQTPSSLASAAASGGLLKRRDRRILSGSCPDPKCQARLFFPASGSVSIECTECGQRHEQQQLLGVEEVTDPDVVLHNLLRNALLGVTGAPKKNTELVKVMGLSNYHCKLLSPILARYGMDKQTGRAKLLRDMNQGELFDCALLGDRAFLIEPEHVNTVGYGKDRSGSLLYLHDTLEDIKRANKSQECLIPVHVDGDGHCLVHAVSRALVGRELFWHALRENLKQHFQQHLARYQALFHDFIDAAEWEDIINECDPLFVPPEGVPLGLRNIHIFGLANVLHRPIILLDSLSGMRSSGDYSATFLPGLIPAEKCTGKDGHLNKPICIAWSSSGR 种属同源性预测 |
| 宿主/亚型 | Rabbit / IgG |
| 抗体类别 | Polyclonal |
| 产品类型 | Antibody |
| 全称 | valosin containing protein (p97)/p47 complex interacting protein 1 |
| 别名 | Deubiquitinating protein VCPIP1, DUBA3, EC:3.4.19.12, KIAA1850, Valosin-containing protein p97/p47 complex-interacting protein 1 |
| 计算分子量 | 1222 aa, 134 kDa |
| 观测分子量 | 135 kDa |
| GenBank蛋白编号 | BC094799 |
| 基因名称 | VCPIP1 |
| Gene ID (NCBI) | 80124 |
| RRID | AB_10699873 |
| 偶联类型 | Unconjugated |
| 形式 | Liquid |
| 纯化方式 | Antigen affinity purification |
| UNIPROT ID | Q96JH7 |
| 储存缓冲液 | PBS with 0.02% sodium azide and 50% glycerol, pH 7.3. |
| 储存条件 | Store at -20°C. Stable for one year after shipment. Aliquoting is unnecessary for -20oC storage. |
实验方案
| Product Specific Protocols | |
|---|---|
| IHC protocol for VCPIP1 antibody 17802-1-AP | Download protocol |
| WB protocol for VCPIP1 antibody 17802-1-AP | Download protocol |
| Standard Protocols | |
|---|---|
| Click here to view our Standard Protocols |
发表文章
| Species | Application | Title |
|---|---|---|
Genes Dis Downregulation of nc886 contributes to prostate cancer cell invasion and TGFβ1-induced EMT. |




