验证数据展示
经过测试的应用
| Positive WB detected in | rat brain tissue, mouse brain tissue, rat spleen tissue, mouse spleen tissue |
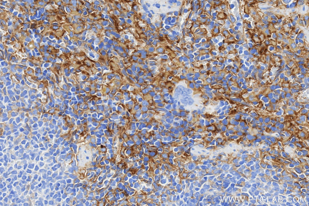
| Positive IHC detected in | rat spleen tissue Note: suggested antigen retrieval with TE buffer pH 9.0; (*) Alternatively, antigen retrieval may be performed with citrate buffer pH 6.0 |
推荐稀释比
| 应用 | 推荐稀释比 |
|---|---|
| Western Blot (WB) | WB : 1:5000-1:50000 |
| Immunohistochemistry (IHC) | IHC : 1:500-1:2000 |
| It is recommended that this reagent should be titrated in each testing system to obtain optimal results. | |
| Sample-dependent, Check data in validation data gallery. | |
产品信息
86797-1-RR targets VCAM-1/CD106 in WB, IHC, ELISA applications and shows reactivity with mouse, rat samples.
| 经测试应用 | WB, IHC, ELISA Application Description |
| 经测试反应性 | mouse, rat |
| 免疫原 |
CatNo: Eg3821 Product name: Recombinant Rat VCAM-1/CD106 protein (rFc Tag) Source: mammalian cells-derived, pHZ-KIsec-C-rFc Tag: C-rFc Domain: 25-698 aa of NM_012889.1 Sequence: FKIEISPEYKTLAQIGDSMLLTCSTTGCESPSFSWRTQIDSPLNGKVKTEGAKSVLTMDPVSFENEHSYLCTATCNSGKLERGIQVDIYSFPKDPEIQFSGPLEVGKPVMVKCLAPDVYPIDRLEIELFKGDRLMKKQDFVDEMAKKSLETKSLEVIFTPVIEDIEKALVCRAKLYIDQTDSIPKERETVRELQVYTSPKNTEISVHPSTRLHEGAAVTMTCASEGLPAPEIFWSKKLDNGVLQLLSGNATLTLIAMRMEDSGIYVCEGVNLVGRDKTEVELIVQEKPFTVDISPGSQVAAQVGDSVVLTCAAVGCDSPSFSWRTQTDSPLNGEVRDEGATSTLTLSPVGVEDEHSYLCTVTCQRRKLEKTIQVEVYSFPEDPEIEISGPLVHGRPVTVNCTVPNVYPFDHLEIELLKGETTLLNKFLREEIGTKSLETKSLEMTFIPTAEDTGKALVCLAKLHSSQMESEPKQRQSTQTLYVNVAPKEPTIWVSPSPVPEEGSPVNLTCSSDGFPTPKILWSRQLKNGELQPLSQNTTLSFMATKMEDSGIYVCEGINEAGISKKSVELIIQGSSKDIQLTVFPSKSVKEGDTVIISCTCGSVPEIWIILKKKAKTGDMVLKSVNGSYTIRKAQLQDAGVYECESKTEVGSQLRSLTLDVKGKENNKDYFSPE 种属同源性预测 |
| 宿主/亚型 | Rabbit / IgG |
| 抗体类别 | Recombinant |
| 产品类型 | Antibody |
| 全称 | vascular cell adhesion molecule 1 |
| 别名 | CD106, Soluble Vascular Cell Adhesion Molecule-1, Vascular cell adhesion protein 1, V-CAM 1, Vcam1 |
| 计算分子量 | 81 kDa |
| 观测分子量 | 100-110 kDa |
| GenBank蛋白编号 | NM_012889.1 |
| 基因名称 | Vcam1 |
| Gene ID (NCBI) | 25361 |
| 偶联类型 | Unconjugated |
| 形式 | Liquid |
| 纯化方式 | Protein A purification |
| UNIPROT ID | P29534 |
| 储存缓冲液 | PBS with 0.02% sodium azide and 50% glycerol, pH 7.3. |
| 储存条件 | Store at -20°C. Stable for one year after shipment. Aliquoting is unnecessary for -20oC storage. |
背景介绍
Vascular cell adhesion molecule 1 (VCAM1), also known as CD106, is a 110-kDa transmembrane glycoprotein belonging to the immunoglobulin gene superfamily. VCAM1 is expressed by cytokine-activated endothelium, interacts with integrin VLA4 (α4β1) present on the surface of leukocytes, and mediates both adhesion and signal transduction. It is also expressed either constitutively or inducibly in a variety of other cell types, including vascular smooth muscle cells, differentiating skeletal muscle cells, renal and neural epithelial cells, macrophages (Kupffer cells), dendritic cells, and bone marrow stromal cells (PMID: 7507076, 11359843).
实验方案
| Product Specific Protocols | |
|---|---|
| IHC protocol for VCAM-1/CD106 antibody 86797-1-RR | Download protocol |
| WB protocol for VCAM-1/CD106 antibody 86797-1-RR | Download protocol |
| Standard Protocols | |
|---|---|
| Click here to view our Standard Protocols |


