验证数据展示
经过测试的应用
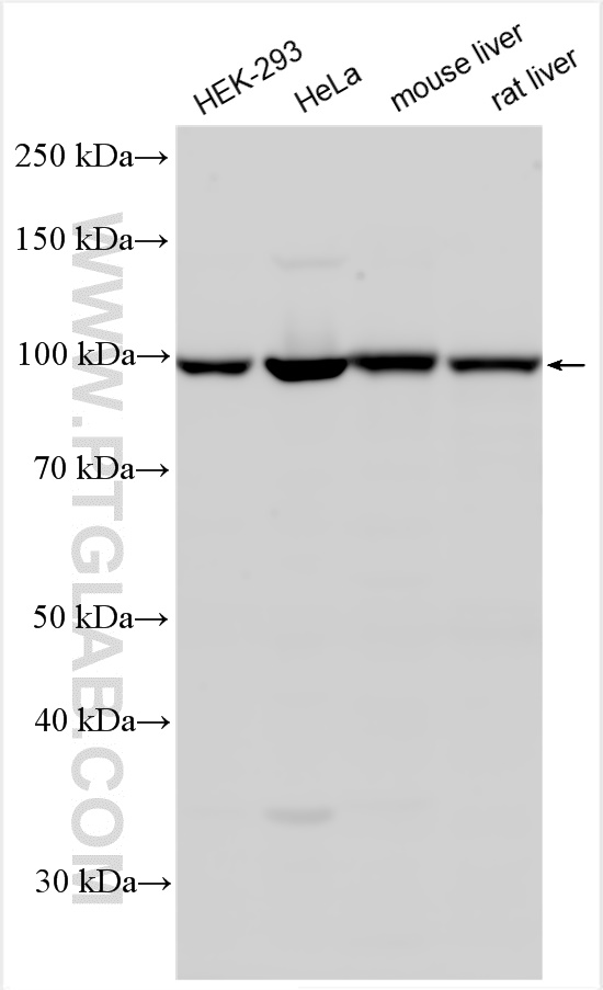
| Positive WB detected in | HEK-293 cells, mouse brain tissue, A431 cells, NIH/3T3 cells, HeLa cells, mouse liver tissue, rat liver tissue, SH-SY5Y cells | 
| Positive IP detected in | HeLa cells | 
| Positive IHC detected in | human kidney tissue, human pancreas tissue Note: suggested antigen retrieval with TE buffer pH 9.0; (*) Alternatively, antigen retrieval may be performed with citrate buffer pH 6.0 | 
| Positive IF/ICC detected in | HeLa cells | 
推荐稀释比
| 应用 | 推荐稀释比 | 
|---|---|
| Western Blot (WB) | WB : 1:1000-1:5000 | 
| Immunoprecipitation (IP) | IP : 0.5-4.0 ug for 1.0-3.0 mg of total protein lysate | 
| Immunohistochemistry (IHC) | IHC : 1:50-1:500 | 
| Immunofluorescence (IF)/ICC | IF/ICC : 1:50-1:500 | 
| It is recommended that this reagent should be titrated in each testing system to obtain optimal results. | |
| Sample-dependent, Check data in validation data gallery. | |
产品信息
21924-1-AP targets VAV2 in WB, IHC, IF/ICC, IP, ELISA applications and shows reactivity with human, mouse, rat samples.
| 经测试应用 | WB, IHC, IF/ICC, IP, ELISA Application Description | 
| 文献引用应用 | WB, IF, IP | 
| 经测试反应性 | human, mouse, rat | 
| 文献引用反应性 | human | 
| 免疫原 | CatNo: Ag16458 Product name: Recombinant human VAV2 protein Source: e coli.-derived, PGEX-4T Tag: GST Domain: 98-326 aa of BC132967 Sequence: DLFDVRDFGKVISAVSRLSLHSIAQNKGIRPFPSEETTENDDDVYRSLEELADEHDLGEDIYDCVPCEDGGDDIYEDIIKVEVQQPMKMGMTEDDKRNCCLLEIQETEAKYYRTLEDIEKNYMSPLRLVLSPADMAAVFINLEDLIKVHHSFLRAIDVSVMVGGSTLAKVFLDFKERLLIYGEYCSHMEHAQNTLNQLLASREDFRQKVEECTLKVQDGKFKLQDLLVV种属同源性预测 | 
| 宿主/亚型 | Rabbit / IgG | 
| 抗体类别 | Polyclonal | 
| 产品类型 | Antibody | 
| 全称 | vav 2 guanine nucleotide exchange factor | 
| 别名 | VAV-2, VAV 2 | 
| 计算分子量 | 839 aa, 97 kDa | 
| 观测分子量 | 101 kDa | 
| GenBank蛋白编号 | BC132967 | 
| 基因名称 | VAV2 | 
| Gene ID (NCBI) | 7410 | 
| RRID | AB_11182283 | 
| 偶联类型 | Unconjugated | 
| 形式 | Liquid | 
| 纯化方式 | Antigen affinity purification | 
| UNIPROT ID | P52735 | 
| 储存缓冲液 | PBS with 0.02% sodium azide and 50% glycerol, pH 7.3. | 
| 储存条件 | Store at -20°C. Stable for one year after shipment. Aliquoting is unnecessary for -20oC storage. | 
实验方案
| Product Specific Protocols | |
|---|---|
| IF protocol for VAV2 antibody 21924-1-AP | Download protocol | 
| IHC protocol for VAV2 antibody 21924-1-AP | Download protocol | 
| IP protocol for VAV2 antibody 21924-1-AP | Download protocol | 
| WB protocol for VAV2 antibody 21924-1-AP | Download protocol | 
| Standard Protocols | |
|---|---|
| Click here to view our Standard Protocols | 
发表文章
| Species | Application | Title | 
|---|---|---|
| FASEB J Mesenchymal stem cells promote endothelial progenitor cell migration, vascularization, and bone repair in tissue-engineered constructs via activating CXCR2-Src-PKL/Vav2-Rac1. | ||
| J Nanobiotechnology Proangiogenic effect and underlying mechanism of holmium oxide nanoparticles: a new biomaterial for tissue engineering
 | ||
| Nat Commun Neutrophil extracellular traps-inspired DNA hydrogel for wound hemostatic adjuvant | 












