验证数据展示
经过测试的应用
| Positive WB detected in | HEK-293T cells, HeLa cells, HEK-293 cells, HepG2 cells, MCF-7 cells |
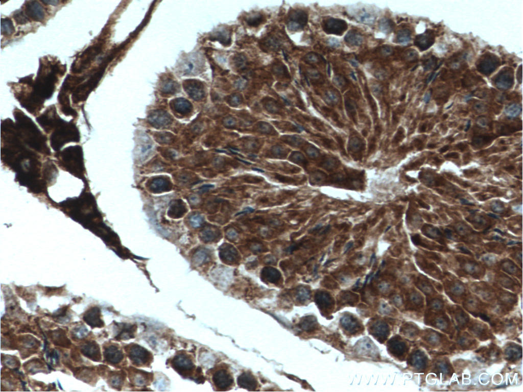
| Positive IHC detected in | mouse testis tissue Note: suggested antigen retrieval with TE buffer pH 9.0; (*) Alternatively, antigen retrieval may be performed with citrate buffer pH 6.0 |
| Positive IF/ICC detected in | A431 cells |
推荐稀释比
| 应用 | 推荐稀释比 |
|---|---|
| Western Blot (WB) | WB : 1:2000-1:10000 |
| Immunohistochemistry (IHC) | IHC : 1:50-1:500 |
| Immunofluorescence (IF)/ICC | IF/ICC : 1:50-1:500 |
| It is recommended that this reagent should be titrated in each testing system to obtain optimal results. | |
| Sample-dependent, Check data in validation data gallery. | |
产品信息
27791-1-AP targets USP8 in WB, IHC, IF/ICC, ELISA applications and shows reactivity with human, mouse samples.
| 经测试应用 | WB, IHC, IF/ICC, ELISA Application Description |
| 文献引用应用 | WB, IHC, IF |
| 经测试反应性 | human, mouse |
| 文献引用反应性 | human, mouse, rat, monkey |
| 免疫原 |
CatNo: Ag27143 Product name: Recombinant human USP8 protein Source: e coli.-derived, PGEX-4T Tag: GST Domain: 15-253 aa of BC110590 Sequence: SSLKDLNKKTEVKPEKISTKSYVHSALKIFKTAEECRLDRDEERAYVLYMKYVTVYNLIKKRPDFKQQQDYFHSILGPGNIKKAVEEAERLSESLKLRYEEAEVRKKLEEKDRQEEAQRLQQKRQETGREDGGTLAKGSLENVLDSKDKTQKSNGEKNEKCETKEKGAITAKELYTMMTDKNISLIIMDARRMQDYQDSCILHSLSVPEEAISPGVTASWIEAHLPDDSKDTWKKRGNV 种属同源性预测 |
| 宿主/亚型 | Rabbit / IgG |
| 抗体类别 | Polyclonal |
| 产品类型 | Antibody |
| 全称 | ubiquitin specific peptidase 8 |
| 别名 | EC:3.4.19.12, hUBPy, HumORF8, KIAA0055, Ubiquitin carboxyl-terminal hydrolase 8 |
| 计算分子量 | 1118 aa, 128 kDa |
| 观测分子量 | 128 kDa |
| GenBank蛋白编号 | BC110590 |
| 基因名称 | USP8 |
| Gene ID (NCBI) | 9101 |
| RRID | AB_2880973 |
| 偶联类型 | Unconjugated |
| 形式 | Liquid |
| 纯化方式 | Antigen affinity purification |
| UNIPROT ID | P40818 |
| 储存缓冲液 | PBS with 0.02% sodium azide and 50% glycerol, pH 7.3. |
| 储存条件 | Store at -20°C. Stable for one year after shipment. Aliquoting is unnecessary for -20oC storage. |
背景介绍
USP8 is thought to regulate the morphology of the endosome by ubiquitination of proteins on this organelle and is involved in cargo sorting and membrane trafficking at the early endosome stage.
实验方案
| Product Specific Protocols | |
|---|---|
| IF protocol for USP8 antibody 27791-1-AP | Download protocol |
| IHC protocol for USP8 antibody 27791-1-AP | Download protocol |
| WB protocol for USP8 antibody 27791-1-AP | Download protocol |
| Standard Protocols | |
|---|---|
| Click here to view our Standard Protocols |
发表文章
| Species | Application | Title |
|---|---|---|
Cell Death Differ Targeting ubiquitin-specific protease 8 sensitizes anti-programmed death-ligand 1 immunotherapy of pancreatic cancer | ||
Sci Total Environ USP15 participates in DBP-induced testicular oxidative stress injury through regulating the Keap1/Nrf2 signaling pathway. | ||
Aging Dis Exogenous H2S Promoted USP8 Sulfhydration to Regulate Mitophagy in the Hearts of db/db Mice. | ||
Arch Biochem Biophys Mitochondria-targeted Catalase induced cell malignant transformation by the downregulation of p53 protein stability via USP28/miR-200b/PP2A-Cα axis | ||
Cancer Manag Res Down-regulation of USP8 Inhibits Cholangiocarcinoma Cell Proliferation and Invasion.
| ||
Vet Microbiol USP8 suppresses porcine reproductive and respiratory syndrome virus replication by positively regulating MAVS mediated Ⅰ-IFN signaling |





