验证数据展示
经过测试的应用
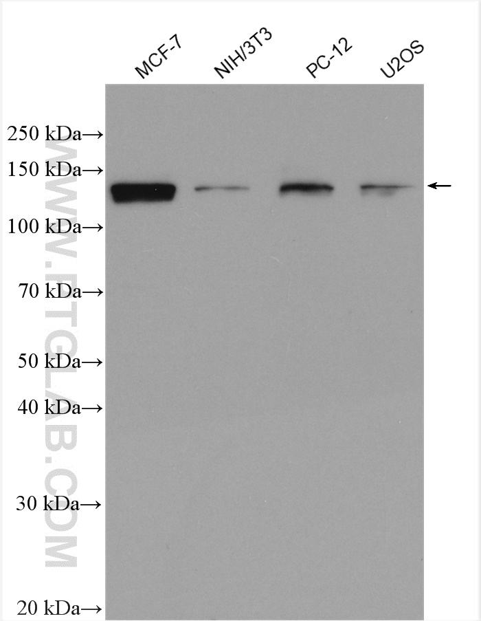
| Positive WB detected in | MCF-7 cells, U2OS cells, K-562 cells, mouse spleen tissue, NIH/3T3 cells, PC-12 cells |
| Positive IHC detected in | human prostate cancer tissue Note: suggested antigen retrieval with TE buffer pH 9.0; (*) Alternatively, antigen retrieval may be performed with citrate buffer pH 6.0 |
推荐稀释比
| 应用 | 推荐稀释比 |
|---|---|
| Western Blot (WB) | WB : 1:500-1:3000 |
| Immunohistochemistry (IHC) | IHC : 1:50-1:500 |
| It is recommended that this reagent should be titrated in each testing system to obtain optimal results. | |
| Sample-dependent, Check data in validation data gallery. | |
产品信息
26948-1-AP targets USP7 in WB, IHC, IF, RIP, ELISA applications and shows reactivity with human, mouse, rat samples.
| 经测试应用 | WB, IHC, ELISA Application Description |
| 文献引用应用 | WB, IHC, IF, RIP |
| 经测试反应性 | human, mouse, rat |
| 文献引用反应性 | human, mouse, rat |
| 免疫原 |
CatNo: Ag25634 Product name: Recombinant human USP7 protein Source: e coli.-derived, PGEX-4T Tag: GST Sequence: MLLDNVENKMKGTCVEGTIPKLFRGKMVSYIQCKEVDYRSDRREDYYDIQLSIKGKKNIFESFVDYVAVEQLDGDNKYDAGEHGLQEAEKGVK 种属同源性预测 |
| 宿主/亚型 | Rabbit / IgG |
| 抗体类别 | Polyclonal |
| 产品类型 | Antibody |
| 全称 | ubiquitin specific peptidase 7 (herpes virus-associated) |
| 别名 | Deubiquitinating enzyme 7, HAUSP, TEF1, Ubiquitin thioesterase 7, USP7 |
| 观测分子量 | 126-128 kDa |
| 基因名称 | USP7 |
| Gene ID (NCBI) | 7874 |
| RRID | AB_2880696 |
| 偶联类型 | Unconjugated |
| 形式 | Liquid |
| 纯化方式 | Antigen affinity purification |
| UNIPROT ID | Q93009 |
| 储存缓冲液 | PBS with 0.02% sodium azide and 50% glycerol, pH 7.3. |
| 储存条件 | Store at -20°C. Stable for one year after shipment. Aliquoting is unnecessary for -20oC storage. |
实验方案
| Product Specific Protocols | |
|---|---|
| IHC protocol for USP7 antibody 26948-1-AP | Download protocol |
| WB protocol for USP7 antibody 26948-1-AP | Download protocol |
| Standard Protocols | |
|---|---|
| Click here to view our Standard Protocols |
发表文章
| Species | Application | Title |
|---|---|---|
Cancer Res Targeting USP7 identifies a metastasis-competent state within bone marrow-resident melanoma CTCs. | ||
Front Immunol Specific Deubiquitinating Enzymes Promote Host Restriction Factors Against HIV/SIV Viruses.
| ||
Int J Biol Sci Flap endonuclease 1 Facilitated Hepatocellular Carcinoma Progression by Enhancing USP7/MDM2-mediated P53 Inactivation. | ||
Discov Oncol High dose isoleucine stabilizes nuclear PTEN to suppress the proliferation of lung cancer | ||
Front Pharmacol Administration of USP7 inhibitor P22077 inhibited cardiac hypertrophy and remodeling in Ang II-induced hypertensive mice | ||
ACS Pharmacol Transl Sci Bruceine B Displays Potent Antimyeloma Activity by Inducing the Degradation of the Transcription Factor c-Maf |







