验证数据展示
经过测试的应用
| Positive WB detected in | A549 cells, HEK-293 cells, HeLa cells |
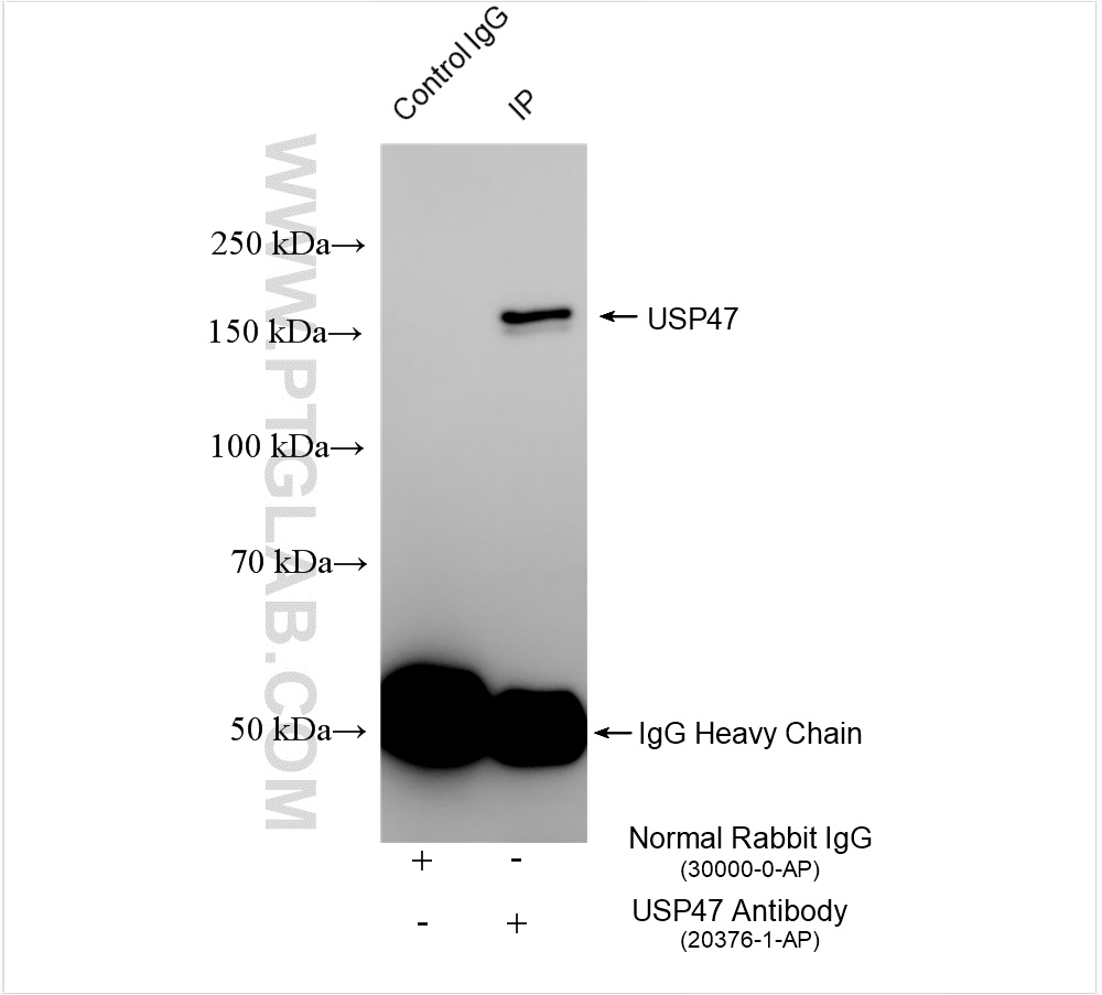
| Positive IP detected in | HeLa cells |
推荐稀释比
| 应用 | 推荐稀释比 |
|---|---|
| Western Blot (WB) | WB : 1:500-1:2000 |
| Immunoprecipitation (IP) | IP : 0.5-4.0 ug for 1.0-3.0 mg of total protein lysate |
| It is recommended that this reagent should be titrated in each testing system to obtain optimal results. | |
| Sample-dependent, Check data in validation data gallery. | |
产品信息
20376-1-AP targets USP47 in WB, IP, ELISA applications and shows reactivity with human samples.
| 经测试应用 | WB, IP, ELISA Application Description |
| 经测试反应性 | human |
| 免疫原 |
CatNo: Ag13990 Product name: Recombinant human USP47 protein Source: e coli.-derived, PGEX-4T Tag: GST Domain: 1219-1375 aa of BC000226 Sequence: MKSMSQLAVLSRRWKPSEMKLDPFQEVVLESSSVDELREKLSEISGIPLDDIEFAKGRGTFPCDISVLDIHQDLDWNPKVSTLNVWPLYICDDGAVIFYRDKTEELMELTDEQRNELMKKESSRLQKTGHRVTYSPRKEKALKIYLDGAPNKDLTQD 种属同源性预测 |
| 宿主/亚型 | Rabbit / IgG |
| 抗体类别 | Polyclonal |
| 产品类型 | Antibody |
| 全称 | ubiquitin specific peptidase 47 |
| 别名 | EC:3.4.19.12, TRFP, Ubiquitin carboxyl-terminal hydrolase 47, Ubiquitin-specific-processing protease 47, USP 47 |
| 计算分子量 | 1375 aa, 157 kDa |
| 观测分子量 | 151 kDa |
| GenBank蛋白编号 | BC000226 |
| 基因名称 | USP47 |
| Gene ID (NCBI) | 55031 |
| 偶联类型 | Unconjugated |
| 形式 | Liquid |
| 纯化方式 | Antigen affinity purification |
| UNIPROT ID | Q96K76 |
| 储存缓冲液 | PBS with 0.02% sodium azide and 50% glycerol, pH 7.3. |
| 储存条件 | Store at -20°C. Stable for one year after shipment. Aliquoting is unnecessary for -20oC storage. |
背景介绍
USP47 (Ubiquitin-Specific Peptidase 47) is a deubiquitinating enzyme that regulates protein stability and function by specifically removing ubiquitin chains from target proteins. USP47 is involved in various fundamental biological processes, including DNA damage repair, cell cycle progression, Wnt signaling, and epithelial-mesenchymal transition. By deubiquitinating and stabilizing β-catenin and TLE3, this enzyme positively regulates the Wnt/β-catenin signaling pathway, thereby promoting cell proliferation and tumorigenesis. Studies have shown that USP47 is significantly overexpressed in various cancers, such as colorectal cancer, gastric cancer, and breast cancer, where it participates in epithelial-mesenchymal transition (EMT), DNA damage repair, and cell cycle regulation.
实验方案
| Product Specific Protocols | |
|---|---|
| IP protocol for USP47 antibody 20376-1-AP | Download protocol |
| WB protocol for USP47 antibody 20376-1-AP | Download protocol |
| Standard Protocols | |
|---|---|
| Click here to view our Standard Protocols |

