验证数据展示
产品信息
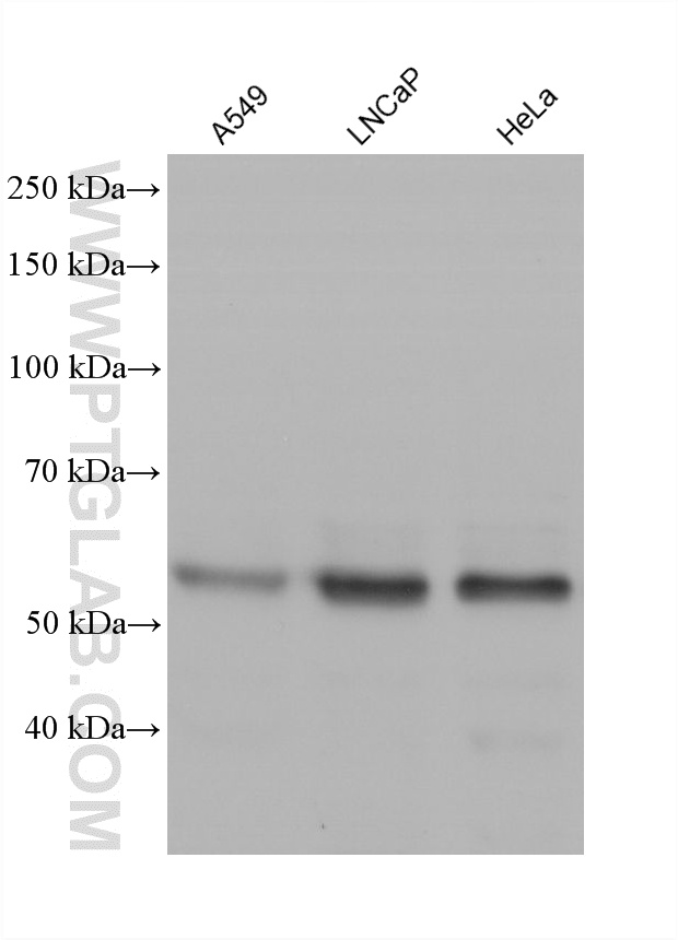
60905-1-PBS targets USP22 in WB, Indirect ELISA applications and shows reactivity with human samples.
| 经测试应用 | WB, Indirect ELISA Application Description |
| 经测试反应性 | human |
| 免疫原 |
CatNo: Ag34933 Product name: Recombinant human USP22 protein Source: e coli.-derived, PET28a Tag: 6*His Domain: 130-176 aa of NM_015276 Sequence: MEEQRKAWKMQGVGEKFSTWEPTKRELELLKHNPKRRKITSNCTIGLR 种属同源性预测 |
| 宿主/亚型 | Mouse / IgG1 |
| 抗体类别 | Monoclonal |
| 产品类型 | Antibody |
| 全称 | ubiquitin specific peptidase 22 |
| 别名 | Deubiquitinating enzyme 22, EC:3.4.19.12, KIAA1063, Ubiquitin carboxyl-terminal hydrolase 22, Ubiquitin thioesterase 22 |
| 计算分子量 | 60 kDa |
| 观测分子量 | 58 kDa |
| GenBank蛋白编号 | NM_015276 |
| 基因名称 | USP22 |
| Gene ID (NCBI) | 23326 |
| RRID | AB_3743239 |
| 偶联类型 | Unconjugated |
| 形式 | Liquid |
| 纯化方式 | Protein G purification |
| UNIPROT ID | Q9UPT9 |
| 储存缓冲液 | PBS only, pH 7.3. |
| 储存条件 | Store at -80°C. The product is shipped with ice packs. Upon receipt, store it immediately at -80°C |
背景介绍
USP22, also named as KIAA1063 and USP3L, belongs to the peptidase C19 family and UBP8 subfamily. It is histone deubiquitinating component of the transcription regulatory histone acetylation (HAT) complex SAGA. USP22 catalyzes the deubiquitination of both histones H2A and H2B, thereby acting as a coactivator. It is recruited to specific gene promoters by activators such as MYC, where it is required for transcription. USP22 is required for nuclear receptor-mediated transactivation and cell cycle progression. USP22 has 2 isoforms with molecular mass of 58kDa and 60 kDa. The antibody is specific to USP22.
