验证数据展示
经过测试的应用
| Positive WB detected in | HEK-293 cells, HeLa cells, mouse brain tissue, HepG2 cells, K-562 cells, MCF-7 cells, NIH/3T3 cells, rat brain tissue |
| Positive IP detected in | mouse brain tissue |
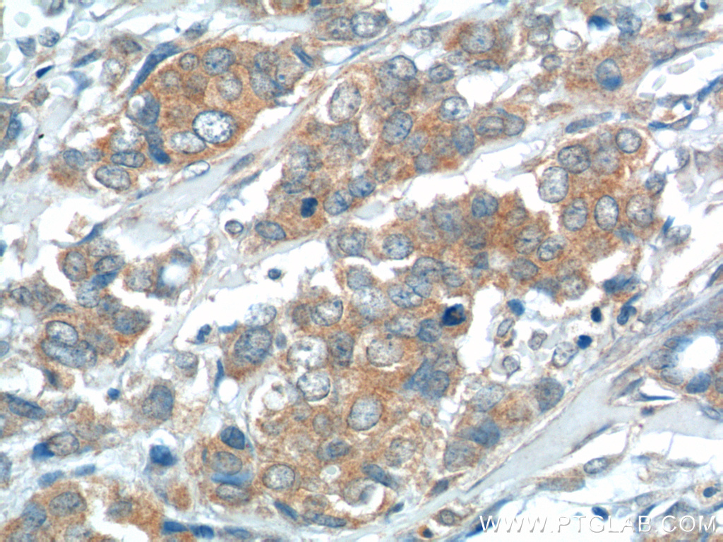
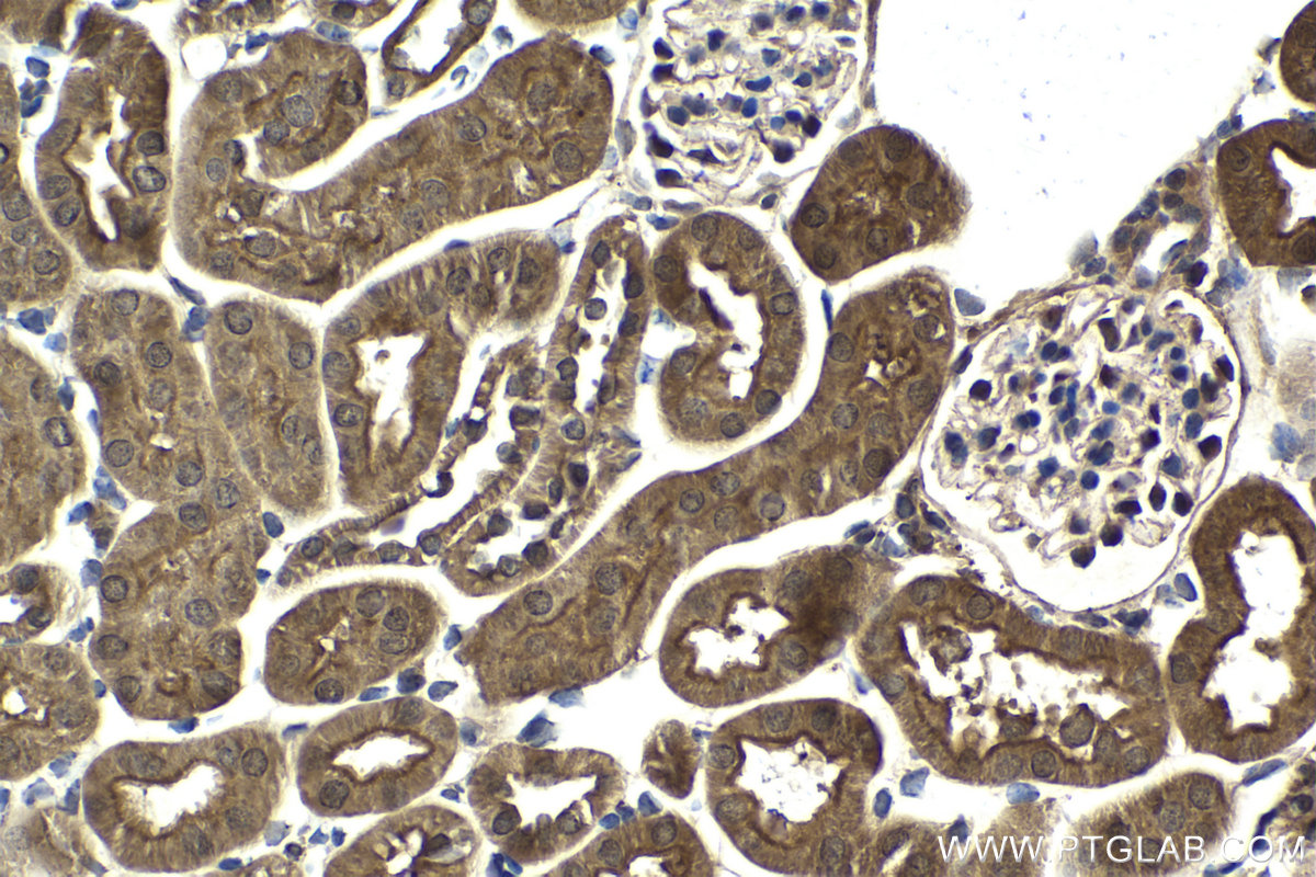
| Positive IHC detected in | human placenta tissue, human breast cancer tissue, human lung tissue, human ovary tumor tissue, mouse kidney tissue, rat small intestine tissue Note: suggested antigen retrieval with TE buffer pH 9.0; (*) Alternatively, antigen retrieval may be performed with citrate buffer pH 6.0 |
推荐稀释比
| 应用 | 推荐稀释比 |
|---|---|
| Western Blot (WB) | WB : 1:2000-1:12000 |
| Immunoprecipitation (IP) | IP : 0.5-4.0 ug for 1.0-3.0 mg of total protein lysate |
| Immunohistochemistry (IHC) | IHC : 1:250-1:1000 |
| It is recommended that this reagent should be titrated in each testing system to obtain optimal results. | |
| Sample-dependent, Check data in validation data gallery. | |
产品信息
14354-1-AP targets USP15 in WB, IHC, IF, IP, CoIP, ELISA applications and shows reactivity with human, mouse, rat samples.
| 经测试应用 | WB, IHC, IP, ELISA Application Description |
| 文献引用应用 | WB, IHC, IF, IP, CoIP |
| 经测试反应性 | human, mouse, rat |
| 文献引用反应性 | human, mouse, rat, bovine |
| 免疫原 |
CatNo: Ag5703 Product name: Recombinant human USP15 protein Source: e coli.-derived, PGEX-4T Tag: GST Domain: 1-235 aa of BC020688 Sequence: MAEGGAADLDTQRSDIATLLKTSLRKGDTWYLVDSRWFKQWKKYVGFDSWDKYQMGDQNVYPGPIDNSGLLKDGDAQSLKEHLIDELDYILLPTEGWNKLVSWYTLMEGQEPIARKVVEQGMFVKHCKVEVYLTELKLCENGNMNNVVTRRFSKADTIDTIEKEIRKIFSIPDEKETRLWNKYMSNTFEPLNKPDSTIQDAGLYQGQVLVIEQKNEDGTWPRGPSTPKKPLEQSC 种属同源性预测 |
| 宿主/亚型 | Rabbit / IgG |
| 抗体类别 | Polyclonal |
| 产品类型 | Antibody |
| 全称 | ubiquitin specific peptidase 15 |
| 别名 | Deubiquitinating enzyme 15, EC:3.4.19.12, KIAA0529, Ubiquitin carboxyl-terminal hydrolase 15, Ubiquitin thioesterase 15 |
| 计算分子量 | 112 kDa |
| 观测分子量 | 112 kDa |
| GenBank蛋白编号 | BC020688 |
| 基因名称 | USP15 |
| Gene ID (NCBI) | 9958 |
| RRID | AB_2257148 |
| 偶联类型 | Unconjugated |
| 形式 | Liquid |
| 纯化方式 | Antigen affinity purification |
| UNIPROT ID | Q9Y4E8 |
| 储存缓冲液 | PBS with 0.02% sodium azide and 50% glycerol, pH 7.3. |
| 储存条件 | Store at -20°C. Stable for one year after shipment. Aliquoting is unnecessary for -20oC storage. |
背景介绍
Ubiquitin is a highly conserved eukaryotic protein that is synthesized as a fusion protein precursor, either to itself or to one of two ribosomal proteins. USP15, is also named as KIAA0529,Unph-2, Unph4, encoding a human ubiquitin-specific protease (USP). The USP15 protein contains the highly conserved Cys and His boxes present in all members of he UBP family of deubiquitinating enzymes(PMID:10444327).It has 3 isoforms produced by alternative splicing.
实验方案
| Product Specific Protocols | |
|---|---|
| IHC protocol for USP15 antibody 14354-1-AP | Download protocol |
| IP protocol for USP15 antibody 14354-1-AP | Download protocol |
| WB protocol for USP15 antibody 14354-1-AP | Download protocol |
| Standard Protocols | |
|---|---|
| Click here to view our Standard Protocols |
发表文章
| Species | Application | Title |
|---|---|---|
Nat Immunol USP15 stabilizes MDM2 to mediate cancer-cell survival and inhibit antitumor T cell responses.
| ||
Nat Commun ERK and USP5 govern PD-1 homeostasis via deubiquitination to modulate tumor immunotherapy
| ||
Mol Cell RAPIDASH: Tag-free enrichment of ribosome-associated proteins reveals composition dynamics in embryonic tissue, cancer cells, and macrophages | ||
Autophagy USP33 deubiquitinates PRKN/parkin and antagonizes its role in mitophagy.
| ||
Autophagy LncRNA 2810403D21Rik/Mirf promotes ischemic myocardial injury by regulating autophagy through targeting Mir26a. | ||
Leukemia The deubiquitinase USP15 modulates cellular redox and is a therapeutic target in acute myeloid leukemia |














