验证数据展示
经过测试的应用
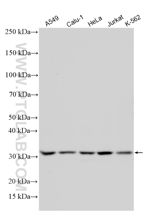
| Positive WB detected in | A549 cells, Calu-1 cells, HeLa cells, Jurkat cells, K-562 cells |
推荐稀释比
| 应用 | 推荐稀释比 |
|---|---|
| Western Blot (WB) | WB : 1:1000-1:4000 |
| It is recommended that this reagent should be titrated in each testing system to obtain optimal results. | |
| Sample-dependent, Check data in validation data gallery. | |
产品信息
21229-1-AP targets USB1 in WB, ELISA applications and shows reactivity with human samples.
| 经测试应用 | WB, ELISA Application Description |
| 经测试反应性 | human |
| 免疫原 |
CatNo: Ag15689 Product name: Recombinant human C16orf57 protein Source: e coli.-derived, PKG Tag: GST Domain: 1-265 aa of BC004415 Sequence: MSAAPLVGYSSSGSEDESEDGMRTRPGDGSHRRGQSPLPRQRFPVPDSVLNMFPGTEEGPEDDSTKHGGRVRTFPHERGNWATHVYVPYEAKEEFLDLLDVLLPHAQTYVPRLVRMKVFHLSLSQSVVLRHHWILPFVQALKARMTSFHRFFFTANQVKIYTNQEKTRTFIGLEVTSGHAQFLDLVSEVDRVMEEFNLTTFYQDPSFHLSLAWCVGDARLQLEGQCLQELQAIVDGFEDAEVLLRVHTEQVRCKSGNKFFSMPLK 种属同源性预测 |
| 宿主/亚型 | Rabbit / IgG |
| 抗体类别 | Polyclonal |
| 产品类型 | Antibody |
| 全称 | chromosome 16 open reading frame 57 |
| 别名 | C16orf57, 3'-5' RNA exonuclease USB1, EC:4.6.1.-, hMpn1, hUsb1 |
| 计算分子量 | 265 aa, 30 kDa |
| 观测分子量 | 31 kDa |
| GenBank蛋白编号 | BC004415 |
| 基因名称 | C16orf57 |
| Gene ID (NCBI) | 79650 |
| 偶联类型 | Unconjugated |
| 形式 | Liquid |
| 纯化方式 | Antigen affinity purification |
| UNIPROT ID | Q9BQ65 |
| 储存缓冲液 | PBS with 0.02% sodium azide and 50% glycerol, pH 7.3. |
| 储存条件 | Store at -20°C. Stable for one year after shipment. Aliquoting is unnecessary for -20oC storage. |
背景介绍
USB1 (U6 snRNA biogenesis phosphodiesterase 1) is a key nuclease primarily located within the nucleus and responsible for RNA processing. Its most well-defined function is to catalyze the hydrolysis of the 2',3'-cyclic phosphate at the 3' end of the U6 small nuclear RNA (snRNA), generating an essential 3'-hydroxyl group. This process is crucial for spliceosome assembly and pre-mRNA splicing. Mutations in the USB1 gene directly cause cartilaginous-hair hypoplasia, a rare autosomal recessive genetic disorder. Affected individuals present with short-limbed dwarfism, sparse hair, immunodeficiency, and bone marrow failure, revealing the critical roles of USB1 in skeletal development, cell cycle regulation, and immune system function. Therefore, USB1 is not only a core factor in RNA metabolism but also an important disease-associated protein.
实验方案
| Product Specific Protocols | |
|---|---|
| WB protocol for USB1 antibody 21229-1-AP | Download protocol |
| Standard Protocols | |
|---|---|
| Click here to view our Standard Protocols |
